対象クリニックアイコンの凡例

:銀座高須クリニック
:横浜院
:名古屋院
:栄院
:大阪院
全院
:全院
診療科目
オールセラミッククラウン(e-max)
オールセラミッククラウン(e-max),オールセラミッククラウン(e-max)の症例写真 翼状捻転を治したい,Before,ba_ceramic11_b.jpg

Before

オールセラミッククラウン(e-max),オールセラミッククラウン(e-max)の症例写真 翼状捻転を治したい,After,ba_ceramic11_b.jpg

After

オールセラミッククラウン(e-max),オールセラミッククラウン(e-max)の症例写真 翼状捻転を治したい,Before,ba_ceramic12_b.jpg

Before

オールセラミッククラウン(e-max),オールセラミッククラウン(e-max)の症例写真 翼状捻転を治したい,After,ba_ceramic12_b.jpg

After

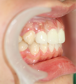
上顎左右1番が出ていてすき間があいている(いわゆる翼状捻転)を治したいとのご希望。

料金

オールセラミッククラウン(e-max) オールセラミッククラウン(e-max)(仮歯代込) 1本
¥110,000(税込)

大阪

ジルコニアセラミッククラウン(仮歯代込) 1本
¥132,000(税込)

大阪

リスク・副作用・合併症

この症例と同じ診療科目の
症例写真はこちら

オールセラミッククラウン(e-max)

上下前歯の保険治療による歯の色を主訴に来院。また、唇側・舌側ともにタバコのヤニや着色もキレイにしたいとのこと。
上顎前歯2本、下顎前歯2本の計4本のオールセラミック、および歯のエステによる徹底的なクリーニングをした結果キレイになりました。

続きを見る

料金

1口腔
¥11,000(税込)

大阪

オールセラミッククラウン(e-max)(仮歯代込) 1本
¥110,000(税込)

大阪

ジルコニアセラミッククラウン(仮歯代込) 1本
¥132,000(税込)

大阪

リスク・副作用・合併症

歯のエステ

オールセラミッククラウン(e-max)

続きを見る

上顎の前歯2本を引っ込めたいとの主訴にて来院。
2本だけで引っ込めるとバランスが悪くなるため左右の2番を含め4本のオールセラミッククラウン(e-max)にて治療した症例。

続きを見る

料金

オールセラミッククラウン(e-max)(仮歯代込) 1本
¥110,000(税込)

大阪

ジルコニアセラミッククラウン(仮歯代込) 1本
¥132,000(税込)

大阪

リスク・副作用・合併症

オールセラミッククラウン(e-max)

続きを見る

上顎前歯の中心の2本に大きく段差が有り、右の3本はやや中に入っており、右の3本はやや外にでているのできれいにしたいとのこと。
321123の6本のオールセラミッククラウン(e-max)にて治療した症例。

続きを見る

料金

オールセラミッククラウン(e-max)(仮歯代込) 1本
¥110,000(税込)

大阪

ジルコニアセラミッククラウン(仮歯代込) 1本
¥132,000(税込)

大阪

リスク・副作用・合併症

オールセラミッククラウン(e-max)

続きを見る

正中離開の修正。

続きを見る

料金

オールセラミッククラウン(e-max)(仮歯代込) 1本
¥110,000(税込)

大阪

ジルコニアセラミッククラウン(仮歯代込) 1本
¥132,000(税込)

大阪

リスク・副作用・合併症

オールセラミッククラウン(e-max)

続きを見る

左右の2番が先天的欠損のため前歯部全体的に大きくすき間が開いています。
右上3番から左上3番の6本のオールセラミッククラウン(e-max)にて治療した症例です。

続きを見る

料金

オールセラミッククラウン(e-max)(仮歯代込) 1本
¥110,000(税込)

大阪

ジルコニアセラミッククラウン(仮歯代込) 1本
¥132,000(税込)

大阪

リスク・副作用・合併症

オールセラミッククラウン(e-max)

続きを見る

この症例の診療科目
ページはこちら

性別
年代
施術カテゴリ
診療科目
上記の施術科目と同時に行った診療科目
ドクター
 

※ 施術方法や施術の流れに関しましては、患者様ごとにあわせて執り行いますので、各院・各医師により異なります。予めご了承ください。
※ ホームページ上で掲載されている価格は税込表示となっております。
※ 当院で行う治療行為は保険診療適応外の自由診療になります。

施術方法は200種類以上

どんなお悩みでも
ご相談ください

当サイトは高須クリニック在籍医師の監修のもとで掲載しております。

お問い合わせ

高須クリニックお客様コールセンター

フリーダイヤル

0120-5587-10 0120-5587-35

電話受付時間:9:00〜21:00
※毎月1日の電話予約受付は9:30~21:00です
診療時間:10:00〜19:00

SNS
オフィシャルアカウント

  • 【高須クリニック】LINE公式アカウント
  • Youtube
  • Instagram
  • X(旧Twitter)
  • ブログ

全国の高須クリニックの
医院一覧