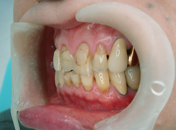
義歯・入れ歯の症例写真 オールセラミッククラウン(e-max)も施行
- 診療科目
- オールセラミッククラウン(e-max) / 義歯・入れ歯
Before
After
Before
After
Before
After(義歯なし)
After(義歯あり)
料金
| 義歯・入れ歯 | 1床 ¥165,000~330,000(税込) |
大阪 |
| オールセラミッククラウン(e-max) | オールセラミッククラウン(e-max)(仮歯代込) 1本 ¥110,000(税込) |
大阪 |
| ジルコニアセラミッククラウン(仮歯代込) 1本 ¥132,000(税込) |
大阪 |
リスク・副作用・合併症
義歯・入れ歯
オールセラミッククラウン(e-max)
この症例と同じ診療科目の
症例写真はこちら
この症例の診療科目
ページはこちら
この施術を見た方は、以下の施術も見ています
※ 施術方法や施術の流れに関しましては、患者様ごとにあわせて執り行いますので、各院・各医師により異なります。予めご了承ください。
※ ホームページ上で掲載されている価格は税込表示となっております。
※ 当院で行う治療行為は保険診療適応外の自由診療になります。
施術方法は200種類以上
どんなお悩みでも
ご相談ください
当サイトは高須クリニック在籍医師の監修のもとで掲載しております。

担当医:高須久弥 医師
義歯
義歯
義歯