対象クリニックアイコンの凡例

:銀座高須クリニック
:横浜院
:名古屋院
:栄院
:大阪院
全院
:全院
性別
女性
診療科目
眼瞼下垂(がんけんかすい)
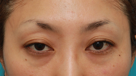
症例写真,眼瞼下垂(がんけんかすい) 老人性眼瞼下垂で頭痛や肩こりに悩んでいた症例,Before,ba_ganken25_b.jpg

Before

症例写真,眼瞼下垂(がんけんかすい) 老人性眼瞼下垂で頭痛や肩こりに悩んでいた症例,After(メイクなし),ba_ganken25_b.jpg

After(メイクなし)

症例写真,眼瞼下垂(がんけんかすい) 老人性眼瞼下垂で頭痛や肩こりに悩んでいた症例,After(メイクあり)<br/>
(1ヶ月後),

After(メイクあり)
(1ヶ月後)

典型的な老人性の眼瞼下垂で、年齢とともに頭痛や肩こりに悩まされていた方です。半分しか開かなかった目が、黒目も引き立つパッチリとした目もとに。まぶたのくぼみも解消されました。
ひどかった頭痛や肩こりともサヨナラ。見た目と体調が良くなると、気分まで晴れ晴れとしてきますよ。
※施術後(After)のメイクあり写真について

女性の目もとの施術はメイクをすることを前提に行うことが多くなっております。
そのため、当院ではこれから施術を受けていただく方への参考として、メイクをしていない施術前後(Before/After)の写真のほか、 施術後(After)のメイクをしている写真も掲載しております。

料金

眼瞼下垂(がんけんかすい) 片目(通常の手術の場合)
¥385,000(税込)
両目(通常の手術の場合)
¥770,000(税込)
片目(筋膜移植の場合)
¥605,000(税込)
両目(筋膜移植の場合)
¥990,000(税込)

全院

リスク・副作用・合併症

術後の経過

施術前

症例写真,眼瞼下垂(がんけんかすい) 老人性眼瞼下垂で頭痛や肩こりに悩んでいた症例,施術前,mainpic_ganken03a.jpg
高須幹弥医師からのコメント

施術前です。
加齢とともに進行していく老人性の眼瞼下垂で、まぶたが半分しか開かなかった方。年齢より老けて見られるのはもちろん、目のくぼみ、頭痛や肩こりにも悩まされていました。

施術直後

症例写真,眼瞼下垂(がんけんかすい) 老人性眼瞼下垂で頭痛や肩こりに悩んでいた症例,施術直後,mainpic_ganken03b.jpg
高須幹弥医師からのコメント

施術直後です。
麻酔と切開の影響でまぶたの上や二重の部分が少し腫れていますが、目がしっかり開くようになって黒目も引き立ちました。強い腫れは1~2週間程で引いてきます。

1ヶ月後

症例写真,眼瞼下垂(がんけんかすい) 老人性眼瞼下垂で頭痛や肩こりに悩んでいた症例,1ヶ月後,メイクなし,mainpic_ganken03d.jpg

メイクなし

高須幹弥医師からのコメント

1ヶ月後(メイクなし)です。
パッチリとした目もとが完成。目のくぼみも改善し、ひどかった頭痛や肩こりも改善しました。

症例写真,眼瞼下垂(がんけんかすい) 老人性眼瞼下垂で頭痛や肩こりに悩んでいた症例,1ヶ月後,メイクあり,mainpic_ganken03c.jpg

メイクあり

高須幹弥医師からのコメント

1ヶ月後(メイクあり)です。

※施術後(After)のメイクあり写真について

女性の目もとの施術はメイクをすることを前提に行うことが多くなっております。
そのため、当院ではこれから施術を受けていただく方への参考として、メイクをしていない施術前後(Before/After)の写真のほか、 施術後(After)のメイクをしている写真も掲載しております。

この症例と同じ診療科目の
症例写真はこちら

眼瞼下垂(がんけんかすい)

少し大きめの二重幅を希望された男性の方です。眼瞼下垂の手術をしたので眉毛を使わなくても目が開きやすくなり、額のシワがなくなっています。その他目頭切開、目尻切開、垂れ目形成により少し目を大きく見せています。

続きを見る

料金

片目(通常の手術の場合)
¥385,000(税込)
両目(通常の手術の場合)
¥770,000(税込)
片目(筋膜移植の場合)
¥605,000(税込)
両目(筋膜移植の場合)
¥990,000(税込)

全院

片目
¥148,500(税込)
両目
¥275,000(税込)
高須幹弥医師の場合 片目
¥192,500(税込)
高須幹弥医師の場合 両目
¥385,000(税込)

全院

片目
¥148,500(税込)
両目
¥275,000(税込)
高須幹弥医師の場合 片目
¥192,500(税込)
高須幹弥医師の場合 両目
¥385,000(税込)

全院

片目
¥148,500(税込)
両目
¥275,000(税込)
高須幹弥医師の場合 片目
¥192,500(税込)
高須幹弥医師の場合 両目
¥385,000(税込)

銀座

横浜

名古屋

大阪

リスク・副作用・合併症

眼瞼下垂(がんけんかすい)

目頭切開

目尻切開

垂れ目(タレ目,パンダ目)形成(グラマラスライン/下眼瞼下制術)

他院で眼瞼下垂の手術を受けたのですが、目の開き具合が不十分なうえに、二重の形や幅も左右差があり、当院にて修正手術を行いました。手術は二重の形の左右差を整えるよう皮膚を全切開し、目の開きを良くするために再び眼瞼挙筋を前転、短縮しました。術後は二重の幅や形もほぼそろい、目の開きも良くなり、黒目が大きく見えるようになりました。

続きを見る

料金

片目(通常の手術の場合)
¥385,000(税込)
両目(通常の手術の場合)
¥770,000(税込)
片目(筋膜移植の場合)
¥605,000(税込)
両目(筋膜移植の場合)
¥990,000(税込)

全院

他院にて二重切開と目頭切開手術を行った患者様に眼瞼下垂手術+蒙古ひだ形成術を行い修正しました。
元々目の開きが悪かった方ですが、最初に広めの二重を作ったためさらに眠そうな目元になってしまったそうです。
眼瞼下垂手術で黒目を大きくして、二重の幅を狭くすることで自然な目元になったと思います。
それと同時に目頭の赤い部分(涙丘)の見え方が気になっていましたので、少し小さくし調節しました。

続きを見る

料金

片目(通常の手術の場合)
¥385,000(税込)
両目(通常の手術の場合)
¥770,000(税込)
片目(筋膜移植の場合)
¥605,000(税込)
両目(筋膜移植の場合)
¥990,000(税込)

全院

片目
¥148,500(税込)
両目
¥275,000(税込)
高須幹弥医師の場合 片目
¥192,500(税込)
高須幹弥医師の場合 両目
¥385,000(税込)

全院

20代女性の患者様で、二重まぶた手術を希望されていました。
診察させていただいたところ、目尻側にわずかに幅が見える程度の奥二重でした。
また、目の横幅が小さく、適度に蒙古襞があり、目と目の間隔も広めでした。
患者様は、「アイラインを引いても奥二重のようにならず、ちゃんと二重の幅が見えるくらいの平行型二重にしたい」というご要望でした。
この患者様のまぶたの開きで、アイラインを引いても奥二重のようにならないくらいの幅で二重を作ると、二重のラインの下の皮膚が睫毛の生え際に被さり、その分、黒目の出る割合が少なくなってしまいます。
そのため、二重まぶた全切開法に準じて幅広の平行型二重を作り、同時に眼瞼下垂手術を行い、上眼瞼挙筋の挙筋腱膜の前転をすることになりました。
また、目を内側に広げ、目の横幅を広げるためと、綺麗な平行型二重を作る目的で、目頭切開もすることになりました。
眼瞼下垂手術をする際、適度に眼窩内脂肪を切除しました。
皮膚切除、ROOF切除は行っていません。
目頭切開はZ法に準じて行い、約1.5mmずつ内側に広げ、内田法(W法)のようにパンチでくりぬいたような丸い目頭ではなく、綺麗に斜め下気味に尖った感じの目頭になるようにしました。
術後は、患者様のご希望通りの、アイラインを引いても奥二重のようにならず、ちゃんと二重の幅が見えて、二重だとわかる目になりました。

続きを見る

料金

片目
¥148,500(税込)
両目
¥275,000(税込)
高須幹弥医師の場合 片目
¥192,500(税込)
高須幹弥医師の場合 両目
¥385,000(税込)

全院

片目(通常の手術の場合)
¥385,000(税込)
両目(通常の手術の場合)
¥770,000(税込)
片目(筋膜移植の場合)
¥605,000(税込)
両目(筋膜移植の場合)
¥990,000(税込)

全院

60代女性の患者様で、眼瞼下垂を主訴に来院されました。
診察させていただいたところ、明らかに右目が眼瞼下垂であり、腱膜性眼瞼下垂、老人性眼瞼下垂であると思われました。
患者様とお話ししたところ、右目の眼瞼下垂手術を行い、左目に合わせることになりました。
手術は局所麻酔下に行い、挙筋腱膜を瞼板に縫合固定し、左目と同じくらい目が開くようにしました。
手術後はほぼ左右対称の目になり、バランスがとれました。

続きを見る

料金

片目(通常の手術の場合)
¥385,000(税込)
両目(通常の手術の場合)
¥770,000(税込)
片目(筋膜移植の場合)
¥605,000(税込)
両目(筋膜移植の場合)
¥990,000(税込)

全院

この症例の診療科目
ページはこちら

性別
年代
施術カテゴリ
診療科目
上記の施術科目と同時に行った診療科目
ドクター
 

※ 施術方法や施術の流れに関しましては、患者様ごとにあわせて執り行いますので、各院・各医師により異なります。予めご了承ください。
※ ホームページ上で掲載されている価格は税込表示となっております。
※ 当院で行う治療行為は保険診療適応外の自由診療になります。

施術方法は200種類以上

どんなお悩みでも
ご相談ください

当サイトは高須クリニック在籍医師の監修のもとで掲載しております。

お問い合わせ

高須クリニックお客様コールセンター

フリーダイヤル

0120-5587-10 0120-5587-35

電話受付時間:9:00〜21:00
※毎月1日の電話予約受付は9:30~21:00です
診療時間:10:00〜19:00

SNS
オフィシャルアカウント

  • 【高須クリニック】LINE公式アカウント
  • Youtube
  • Instagram
  • X(旧Twitter)
  • ブログ

全国の高須クリニックの
医院一覧