埋没法の症例写真
- 年代 / 性別
- 10代 / 女性
- 診療科目
- 二重まぶた・埋没法
Before
After(1ヶ月後)
Before
After(1ヶ月後)
Before
After(1ヶ月後)
料金
| 二重まぶた・埋没法 | 片目 ¥55,000(税込) |
|
| 両目 ¥99,000(税込) |
全院 |
| 二重まぶた・埋没法(二針固定) | 片目 ¥99,000(税込) |
|
| 両目 ¥187,000(税込) |
全院 |
リスク・副作用・合併症
二重まぶた・埋没法
術後の経過
手術前
手術前です。
手術前の目を閉じた状態です。
手術直後
手術直後です。
腫れもあり目を閉じると糸をとめている部分のくいこみが見られます。
手術直後の目を閉じた状態です。
3日後
3日後です。
腫れも糸のくいこみも許容範囲に落ち着いてきました。
つまりダウンタイムは3日以内ということです。
3日後の目を閉じた状態です。
1週間後
1週間後です。
さらに腫れはひきました。
1週間後の目を閉じた状態です。
1ヶ月後
1ヶ月後です。
ほぼ完成し自然な平行二重になりました。
1ヶ月後の目を閉じた状態です。
この症例と同じ診療科目の
症例写真はこちら
この症例の診療科目
ページはこちら
この施術を見た方は、以下の施術も見ています
※ 施術方法や施術の流れに関しましては、患者様ごとにあわせて執り行いますので、各院・各医師により異なります。予めご了承ください。
※ ホームページ上で掲載されている価格は税込表示となっております。
※ 当院で行う治療行為は保険診療適応外の自由診療になります。
施術方法は200種類以上
どんなお悩みでも
ご相談ください
当サイトは高須クリニック在籍医師の監修のもとで掲載しております。



担当医:日下志厳 医師
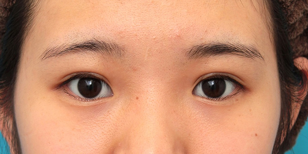
一重まぶたで、まつ毛の生え際に皮膚が被さっている状態でした。
幅の狭い平行二重にしたいという希望で、まつ毛の生え際より約7mmの位置で埋没法(1針固定)を行いました。
1針固定というのは他院で行っている1点留めという方法と違い、2点の間を結ぶ1本のラインで固定する方法で2点留めの改良法ともいえる方法です。
もともとまつ毛の生え際に皮膚が被さっている方は、実は末広二重の方がまつ毛の生え際が出やすく、平行二重にする方が出にくいことが多いです。
それどころか、幅広平行二重にすると手術前よりもまつ毛の生え際に皮膚がかぶってしますこともあり得ます。
しかしながら末広二重ではやや華やかさにかけます。
そういったこともあり、この方はこのような幅の狭い平行二重がベストな選択であったと思います。
1ヶ月でほぼ完成し自然な平行二重になりました。