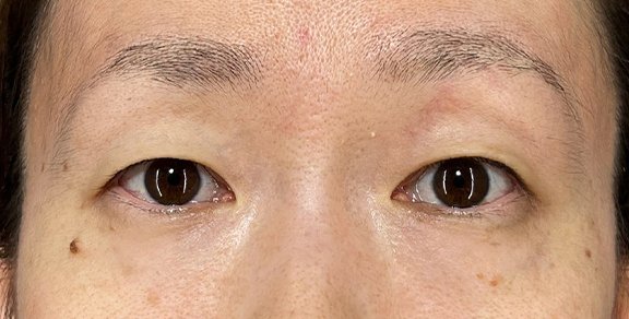
埋没法・二針固定で自然な二重を作った症例写真
- 診療科目
- 二重まぶた・埋没法
Before
After(3ヶ月後)
After(目を閉じた状態)
(3ヶ月後)
料金
| 二重まぶた・埋没法 | 片目 ¥55,000(税込) |
|
| 両目 ¥99,000(税込) |
全院 |
| 二重まぶた・埋没法(二針固定) | 片目 ¥99,000(税込) |
|
| 両目 ¥187,000(税込) |
全院 |
リスク・副作用・合併症
二重まぶた・埋没法
この症例と同じ診療科目の
症例写真はこちら
この症例の診療科目
ページはこちら
この施術を見た方は、以下の施術も見ています
※ 施術方法や施術の流れに関しましては、患者様ごとにあわせて執り行いますので、各院・各医師により異なります。予めご了承ください。
※ ホームページ上で掲載されている価格は税込表示となっております。
※ 当院で行う治療行為は保険診療適応外の自由診療になります。
施術方法は200種類以上
どんなお悩みでも
ご相談ください
当サイトは高須クリニック在籍医師の監修のもとで掲載しております。

二針固定は、まぶたの内側と外側の両方で留めるので通常の一針固定よりも倍の強度があります。
こちらの方も一重の目から自然な奥二重へ目に光が入るようになり、優しく可愛らしい印象になりました。
おひとりおひとりの目元の状態やご希望に応じて適切な施術をご提案させていただきますので、二重施術でお悩みの方、気になる方は高須クリニックにいらしてください。