対象クリニックアイコンの凡例

:銀座高須クリニック
:横浜院
:名古屋院
:栄院
:大阪院
全院
:全院
性別
女性
診療科目
二重まぶた・埋没法
症例写真,まぶたの皮膚が余って覆い被さっている年配女性に二重まぶた埋没法を行った症例写真,Before,ba_maibotsu47_b.jpg

Before

症例写真,まぶたの皮膚が余って覆い被さっている年配女性に二重まぶた埋没法を行った症例写真,After(3ヶ月後),ba_maibotsu47_b.jpg

After(3ヶ月後)

症例写真,まぶたの皮膚が余って覆い被さっている年配女性に二重まぶた埋没法を行った症例写真,Before,ba_maibotsu48_b.jpg

Before

症例写真,まぶたの皮膚が余って覆い被さっている年配女性に二重まぶた埋没法を行った症例写真,After(3ヶ月後),ba_maibotsu48_b.jpg

After(3ヶ月後)

症例写真,まぶたの皮膚が余って覆い被さっている年配女性に二重まぶた埋没法を行った症例写真,Before,ba_maibotsu49_b.jpg

Before

症例写真,まぶたの皮膚が余って覆い被さっている年配女性に二重まぶた埋没法を行った症例写真,After(3ヶ月後),ba_maibotsu49_b.jpg

After(3ヶ月後)

まぶたのたるみが気になって来院された年配の女性患者様です。
診察させていただいたところ、年齢相応にまぶたの皮膚が余って、目の上に覆い被さり、視野を妨げていました。
特に、外側のたるみが酷かったため、三角形の目になり、余計に老けた印象をしていました。
まぶたの皮膚は余っていましたが、脂肪はそれほどついておらず、むしろまぶたの上のほうは窪んでおり、それによってさらに老けた印象になっていました。
私は患者様に、上まぶたたるみ取り手術で、まぶたの余分な皮膚を切除し、自然ですっきりした二重まぶたを作ることを提案しました。
しかし、患者様はあまり腫れると困るし、ダウンタイムがとれないということだったので、やむを得ず、二重まぶた埋没法をすることになりました。
手術は、上まぶたに2ヶ所ずつ針穴を開け、内側(目頭側)から外側(目尻側)まで均等にたるみが上がるように、埋没法で固定しました。
術後は、綺麗にたるみが上がり、三角形の老けた目が、目もとがはっきりした丸い目になりました。
この方のように、まぶたの皮膚が余っている人に対して、切開せずに、埋没法でたるみを上げる場合は、埋没法二針固定が向いています。
また、一旦、埋没法をしておいて、いつかダウンタイムがとれるときに、切開してたるみを取ることも可能です(そのときに埋没法の糸を取ることも可能です)。

術後の経過

■術後の経過:正面(目を開けた状態)

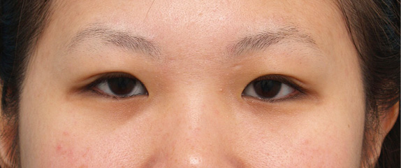
手術前

症例写真,まぶたの皮膚が余って覆い被さっている年配女性に二重まぶた埋没法を行った症例写真,手術前,mainpic_maibotsu23a.jpg
高須幹弥医師からのコメント

手術前です。
皮膚が余っていて、たるんで三角形の老けた目になっています。
二重まぶた埋没法でたるみを持ち上げて二重を作ることになりました。

手術直後

症例写真,まぶたの皮膚が余って覆い被さっている年配女性に二重まぶた埋没法を行った症例写真,手術直後,mainpic_maibotsu23b.jpg
高須幹弥医師からのコメント

手術直後です。
強い腫れがあるため、二重の幅が広くなっています。

1週間後

症例写真,まぶたの皮膚が余って覆い被さっている年配女性に二重まぶた埋没法を行った症例写真,1週間後,mainpic_maibotsu23c.jpg
高須幹弥医師からのコメント

術後1週間です。
まだわずかに腫れていますが、大きな腫れは引いています。

1ヶ月後

症例写真,まぶたの皮膚が余って覆い被さっている年配女性に二重まぶた埋没法を行った症例写真,1ヶ月後,mainpic_maibotsu23d.jpg
高須幹弥医師からのコメント

術後1ヶ月です。
かなり腫れは引いています。

3ヶ月後

症例写真,まぶたの皮膚が余って覆い被さっている年配女性に二重まぶた埋没法を行った症例写真,3ヶ月後,mainpic_maibotsu23e.jpg
高須幹弥医師からのコメント

術後3ヶ月です。
ほぼ完全に腫れは引きました。
三角形の老けた目が、自然で目もとがはっきりした丸い目になりました。

■術後の経過:正面(目を閉じた状態)

手術前

症例写真,まぶたの皮膚が余って覆い被さっている年配女性に二重まぶた埋没法を行った症例写真,手術前,mainpic_maibotsu23f.jpg
高須幹弥医師からのコメント

手術前です。

手術直後

症例写真,まぶたの皮膚が余って覆い被さっている年配女性に二重まぶた埋没法を行った症例写真,手術直後,mainpic_maibotsu23g.jpg
高須幹弥医師からのコメント

手術直後です。

1週間後

症例写真,まぶたの皮膚が余って覆い被さっている年配女性に二重まぶた埋没法を行った症例写真,1週間後,mainpic_maibotsu23h.jpg
高須幹弥医師からのコメント

1週間後です。

1ヶ月後

症例写真,まぶたの皮膚が余って覆い被さっている年配女性に二重まぶた埋没法を行った症例写真,1ヶ月後,mainpic_maibotsu23i.jpg
高須幹弥医師からのコメント

1ヶ月後です。

3ヶ月後

症例写真,まぶたの皮膚が余って覆い被さっている年配女性に二重まぶた埋没法を行った症例写真,3ヶ月後,mainpic_maibotsu23j.jpg
高須幹弥医師からのコメント

3ヶ月後です。

■術後の経過:斜め

手術前

症例写真,まぶたの皮膚が余って覆い被さっている年配女性に二重まぶた埋没法を行った症例写真,手術前,mainpic_maibotsu23k.jpg
高須幹弥医師からのコメント

手術前です。

手術直後

症例写真,まぶたの皮膚が余って覆い被さっている年配女性に二重まぶた埋没法を行った症例写真,手術直後,mainpic_maibotsu23l.jpg
高須幹弥医師からのコメント

手術直後です。

1週間後

症例写真,まぶたの皮膚が余って覆い被さっている年配女性に二重まぶた埋没法を行った症例写真,1週間後,mainpic_maibotsu23m.jpg
高須幹弥医師からのコメント

1週間後です。

1ヶ月後

症例写真,まぶたの皮膚が余って覆い被さっている年配女性に二重まぶた埋没法を行った症例写真,1ヶ月後,mainpic_maibotsu23n.jpg
高須幹弥医師からのコメント

1ヶ月後です。

3ヶ月後

症例写真,まぶたの皮膚が余って覆い被さっている年配女性に二重まぶた埋没法を行った症例写真,3ヶ月後,mainpic_maibotsu23o.jpg
高須幹弥医師からのコメント

3ヶ月後です。

この症例と同じ診療科目の
症例写真はこちら

二重まぶた・埋没法

埋没二針法の施術をされた患者様です。
術後1ヶ月なので閉眼時にはまだ傷跡がありますが、
ここから徐々に馴染んでいきます。

続きを見る

料金

片目
¥55,000(税込)
両目
¥99,000(税込)

全院

片目
¥99,000(税込)
両目
¥187,000(税込)

全院

20代女性の患者様で、二重まぶた手術希望で来院されました。
やや幅の広い二重を希望されていたので、ミニ切開法で元に戻ることのない二重を作ることをご提案しましたが、まずは埋没法でやってみたいということだったので、埋没法を行うことになりました。
目を閉じた状態で約8mmの位置で固定したところ、目を開けた状態で約2mm幅が見える二重になりました。
この方は蒙古襞がそれほど発達していないため、やや幅の広い二重を作ることで、必然的に平行型二重になりました。
綺麗な二重になりましたが、埋没法で広めの二重を作ると、時間と共にだんだん幅が狭くなっていくことが多いので、いつかミニ切開法を行い、元に戻らない二重を作るのが良いです。

続きを見る

料金

片目
¥55,000(税込)
両目
¥99,000(税込)

全院

片目
¥99,000(税込)
両目
¥187,000(税込)

全院

メスを使わず短時間で二重を実現出来る施術、二重まぶた・埋没法(二針固定)の症例です。
二針固定は、まぶたの内側と外側の両方で留めるので通常の一針固定よりも倍の強度があります。

こちらの方は元々奥二重でしたが、少し幅を広げた末広二重を作ってあげることで白眼の露出が増え、明るく華やかな印象になりました。
整形した、と周りの人に気づかれにくい自然な仕上がりですね。

おひとりおひとりの目元の状態やご希望に応じて適切な施術をご提案させていただきますので、二重施術でお悩みの方、気になる方は高須クリニックにいらしてください。

続きを見る

料金

片目
¥55,000(税込)
両目
¥99,000(税込)

全院

片目
¥99,000(税込)
両目
¥187,000(税込)

全院

元々奥二重の患者様が、平行二重を希望されて来院されました。
このような患者様に極端な幅広の平行二重を作ると、厚ぼったくて眠そうなわざとらしい二重になってしまうので、ある程度幅のある自然な平行二重を提案しました。
術式は全切開、もしくは埋没2針固定を提案いたしましたところ、まずは埋没での治療を希望されました。
右目の蒙古ひだのほうが張りが強い患者様でしたので、右目の内側は左目側とは固定位置を少し変えています(左右同じように固定をすると、右目は末広に戻ってしまうことがあります) 。
右目も末広になることなく、いい感じの自然な平行二重になりました。

続きを見る

料金

片目
¥55,000(税込)
両目
¥99,000(税込)

全院

片目
¥99,000(税込)
両目
¥187,000(税込)

全院

この症例の診療科目
ページはこちら

性別
年代
施術カテゴリ
診療科目
上記の施術科目と同時に行った診療科目
ドクター
 

※ 施術方法や施術の流れに関しましては、患者様ごとにあわせて執り行いますので、各院・各医師により異なります。予めご了承ください。
※ ホームページ上で掲載されている価格は税込表示となっております。
※ 当院で行う治療行為は保険診療適応外の自由診療になります。

施術方法は200種類以上

どんなお悩みでも
ご相談ください

当サイトは高須クリニック在籍医師の監修のもとで掲載しております。

お問い合わせ

高須クリニックお客様コールセンター

フリーダイヤル

0120-5587-10 0120-5587-35

電話受付時間:9:00〜21:00
※毎月1日の電話予約受付は9:30~21:00です
診療時間:10:00〜19:00

SNS
オフィシャルアカウント

  • 【高須クリニック】LINE公式アカウント
  • Youtube
  • Instagram
  • X(旧Twitter)
  • ブログ

全国の高須クリニックの
医院一覧