対象クリニックアイコンの凡例

:銀座高須クリニック
:横浜院
:名古屋院
:栄院
:大阪院
全院
:全院
年代 / 性別
20代 / 女性
診療科目
目頭切開
症例写真,目頭切開Z法で、形を尖らせたまま2mm弱ずつ内側に広げた症例写真,Before,ba_megashira051_b01.jpg

Before

症例写真,目頭切開Z法で、形を尖らせたまま2mm弱ずつ内側に広げた症例写真,After(6ヶ月後),ba_megashira051_b01.jpg

After(6ヶ月後)

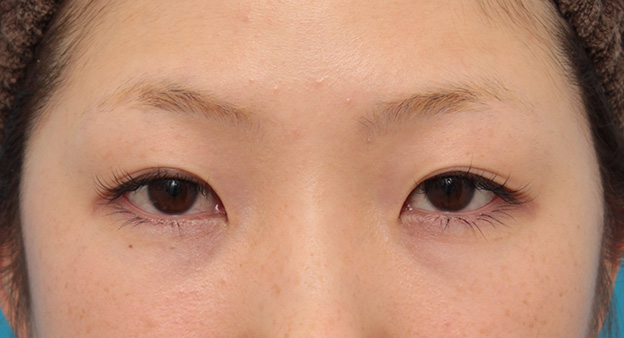
20代女性の患者様で、目頭切開を希望されて来院されました。
診察させていただいたところ、眼球自体がやや小さめであり、眼球がついている眼窩(眼球を入れている骨の枠組みの部分)がやや外側気味にあるタイプの骨格でした。
そのため、目の横幅が小さく、目と目の間隔も広めでした。
目頭切開Z法で、目頭を軽く尖らせたまま、2mm弱程度ずつ内側に広げました。
手術後は程よく自然な範囲内で目が内側に大きくなり、手術前に比べて華やかでバランスの良い目元になりました。
この患者様のように、眼球のついている位置自体が外側気味の場合、目頭切開で、目の横幅と、目と目の間隔の比率を1:1:1にしてしまうと、涙丘丸見えで外斜視気味の異様な顔貌になってしまうことがあります。
この患者様はこのデザインで手術するのがベストだと思われました。

料金

目頭切開 片目
¥148,500(税込)
両目
¥275,000(税込)
高須幹弥医師の場合 片目
¥192,500(税込)
高須幹弥医師の場合 両目
¥385,000(税込)

全院

リスク・副作用・合併症

術後の経過

手術前

症例写真,目頭切開Z法で、形を尖らせたまま2mm弱ずつ内側に広げた症例写真,手術前,mainpic_megashira051a.jpg
高須幹弥医師からのコメント

手術前です。
やや目と目の間隔が広いです。
目頭切開Z法で目を内側に2mm弱ずつ広げることになりました。

手術直後

症例写真,目頭切開Z法で、形を尖らせたまま2mm弱ずつ内側に広げた症例写真,手術直後,mainpic_megashira051b.jpg
高須幹弥医師からのコメント

手術直後です。
皮膚が白くなっているのは局所麻酔注射液に含まれる血管収縮剤によるものなので、2~3時間で元に戻ります。

6日後

症例写真,目頭切開Z法で、形を尖らせたまま2mm弱ずつ内側に広げた症例写真,6日後,mainpic_megashira051c.jpg
高須幹弥医師からのコメント

6日後です。
抜糸をしました。
抜糸した翌日からアイメイクしていただいて大丈夫です。

3週間後

症例写真,目頭切開Z法で、形を尖らせたまま2mm弱ずつ内側に広げた症例写真,3週間後,mainpic_megashira051d.jpg
高須幹弥医師からのコメント

3週間後です。
まだ傷跡の赤みがわずかにあります。

6ヶ月後

症例写真,目頭切開Z法で、形を尖らせたまま2mm弱ずつ内側に広げた症例写真,6ヶ月後,mainpic_megashira051e.jpg
高須幹弥医師からのコメント

6ヶ月後です。
傷跡の赤みはほぼ消えています。

この症例と同じ診療科目の
症例写真はこちら

目頭切開

20代男性の患者様で、目頭切開を希望されていました。
診察させていただいたところ、目の横幅はそれほど大きくなく、目と目の間隔もやや広めでした。
蒙古襞は適度に発達して張っていましたが、蒙古襞を乗り越えてやや幅広めの二重を切開法で作っていたため、平行型と末広型の中間のような微妙な平行型二重になっていました。
患者様は、ガッツリ目頭を切って、しっかりと目を内側に大きく広げてほしいというご要望でした。
そのため、手術は目頭切開Z法に準じて行い、大きめのZをデザインして、極端な不自然な目にならない範囲内で、できる限り目を内側に広げることになりました。
手術の結果、約3.0mmずつ目が内側に広がり、蒙古襞の突っ張りも目立たなくなりました。
また、目頭側の二重の幅が広がり、平行型の二重が強調されるようにもなりました。
この患者様のように、元々目と目の間隔が広い人は、ある程度しっかりめに目頭切開することもあります。
ただし、目と目の間隔がそこまで広くない人がこれくらい目頭を切ってしまうと、寄り目になったり、キツい印象の目になってしまうこともあります。

続きを見る

料金

片目
¥148,500(税込)
両目
¥275,000(税込)
高須幹弥医師の場合 片目
¥192,500(税込)
高須幹弥医師の場合 両目
¥385,000(税込)

全院

目が細く見えてしまうつり目の女性。もともと二重でしたが、左右差がありました。バランスを見ながら平行型の二重、また目頭切開で目を内側に開き、少し目尻を下げ垂れ目にすることで、目を大きく見せることができました。さらにボツリヌストキシン注射(エラ、プチ小顔術)も行い、小顔効果でさらに目が強調されるようになりました。

続きを見る

料金

片目
¥148,500(税込)
両目
¥275,000(税込)
高須幹弥医師の場合 片目
¥192,500(税込)
高須幹弥医師の場合 両目
¥385,000(税込)

全院

脂肪切除をする場合や埋没法の糸を抜去する場合の費用も含まれております。

片目
¥148,500(税込)
両目
¥275,000(税込)
高須幹弥医師の場合 片目
¥192,500(税込)
高須幹弥医師の場合 両目
¥385,000(税込)

全院

片目
¥148,500(税込)
両目
¥275,000(税込)
高須幹弥医師の場合 片目
¥192,500(税込)
高須幹弥医師の場合 両目
¥385,000(税込)

銀座

横浜

名古屋

大阪

1回
¥165,000(税込)

全院

リスク・副作用・合併症

二重まぶた・ミニ切開法(部分切開)

目頭切開

垂れ目(タレ目,パンダ目)形成(グラマラスライン/下眼瞼下制術)

ボツリヌストキシン注射(エラ、プチ小顔術)

20代女性の患者様で、やや幅の広い平行型二重を希望されてました。
アイプチのやりすぎで、まぶたの皮膚が被れて硬くなっていたうえに厚ぼったくなっていました。
このように腫れている状態の方に埋没法をしてもすぐに戻ってしまうことが多いので、全切開法で二重を作りました。
目を閉じた状態で10mmの位置で二重を作り、目を開けた状態で二重の幅が約2.5mm見えるようになりました。
まぶたの脂肪はそれほど多くはないので、眼窩内脂肪やROOFは切除していません。
また、蒙古襞が発達してやや目と目が離れぎみだったので、目頭切開をZ法で行い、約2mmずつ内側に広げました。
蒙古襞が発達している人が平行型二重を作る場合は、二重の手術と一緒に目頭切開もしたほうがより自然で綺麗な二重になることが多いです。

続きを見る

料金

片目
¥148,500(税込)
両目
¥275,000(税込)
高須幹弥医師の場合 片目
¥192,500(税込)
高須幹弥医師の場合 両目
¥385,000(税込)

全院

脂肪切除をする場合や埋没法の糸を抜去する場合の費用も含まれております。

片目
¥148,500(税込)
両目
¥275,000(税込)
高須幹弥医師の場合 片目
¥192,500(税込)
高須幹弥医師の場合 両目
¥385,000(税込)

全院

20代女性の患者様で、目頭切開を希望されていました。
診察させていただいたところ、蒙古襞が適度に発達して張っており、丸い形の目頭をしていました。
また、蒙古襞が発達していることにより、目頭の涙丘(ピンク色の粘膜が盛り上がっている部分)が隠れ、目と目の間隔が広くなり、目の横幅が小さくなっていました。
目頭切開を行い、蒙古襞を切開し、目を内側に広げることになりました。
手術はZ法に準じて行い、蒙古襞を三角弁にし、皮弁の位置を移動、回転させました。
その結果、目頭の形が自然に尖った感じになり、目が内側に1.5mm強ずつ広がりました。
キツすぎず、寄り目っぽくもならず、バランスの良い目の横幅になりました。

続きを見る

料金

片目
¥148,500(税込)
両目
¥275,000(税込)
高須幹弥医師の場合 片目
¥192,500(税込)
高須幹弥医師の場合 両目
¥385,000(税込)

全院

20代女性の患者様で、目を一回り大きくして、つり目気味なのを治したいというご要望でした。
目頭切開とタレ目形成をすることになりました。
目頭切開はZ法で内側に約1.5mmずつ尖るように広げました。
タレ目形成は下まぶたの外側を約2mm下がるようにしました。
術後は完全なタレ目にはなっていませんが、つり目気味だったのが少し和らぎ、目が一回り大きくなりました。

続きを見る

料金

片目
¥148,500(税込)
両目
¥275,000(税込)
高須幹弥医師の場合 片目
¥192,500(税込)
高須幹弥医師の場合 両目
¥385,000(税込)

銀座

横浜

名古屋

大阪

片目
¥148,500(税込)
両目
¥275,000(税込)
高須幹弥医師の場合 片目
¥192,500(税込)
高須幹弥医師の場合 両目
¥385,000(税込)

全院

この症例の診療科目
ページはこちら

性別
年代
施術カテゴリ
診療科目
上記の施術科目と同時に行った診療科目
ドクター
 

※ 施術方法や施術の流れに関しましては、患者様ごとにあわせて執り行いますので、各院・各医師により異なります。予めご了承ください。
※ ホームページ上で掲載されている価格は税込表示となっております。
※ 当院で行う治療行為は保険診療適応外の自由診療になります。

施術方法は200種類以上

どんなお悩みでも
ご相談ください

当サイトは高須クリニック在籍医師の監修のもとで掲載しております。

お問い合わせ

高須クリニックお客様コールセンター

フリーダイヤル

0120-5587-10 0120-5587-35

電話受付時間:9:00〜21:00
※毎月1日の電話予約受付は9:30~21:00です
診療時間:10:00〜19:00

SNS
オフィシャルアカウント

  • 【高須クリニック】LINE公式アカウント
  • Youtube
  • Instagram
  • X(旧Twitter)
  • ブログ

全国の高須クリニックの
医院一覧