対象クリニックアイコンの凡例

:銀座高須クリニック
:横浜院
:名古屋院
:栄院
:大阪院
全院
:全院
年代 / 性別
30代 / 男性
診療科目
目頭切開
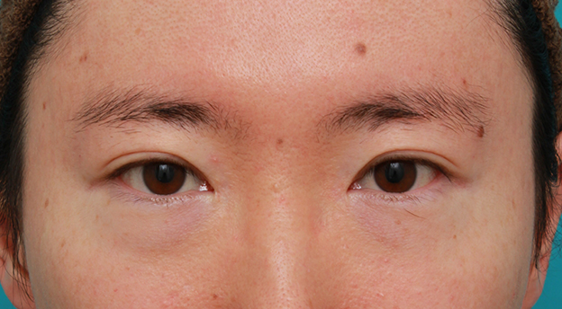
症例写真,男性患者様に行った目頭切開Z法の症例写真,Before,ba_megashira24_b.jpg

Before

症例写真,男性患者様に行った目頭切開Z法の症例写真,After(6ヶ月後),ba_megashira24_b.jpg

After(6ヶ月後)

30代男性の患者様で、目の横幅が小さいのが悩みで来院されました。
診察させていただいたところ、やや蒙古襞が発達しており、目の横幅が小さく、目と目の間隔も広い状態でした。
切れ長の目になりたいという御要望だったので、目頭切開を行い、目を内側に広げることになりました。
手術はZ法のデザインで行い、目頭が内側に2mm弱ずつ広がるようにしました。
術後は程よく目の横幅が広がったことによって、涼しい感じの切れ長の目になり、寄り目になってキツくなることはありませんでした。
また、Z法で行ったため、程よく内側に尖った綺麗な目頭の形になり、傷跡もほとんど目立たなくなりました。

料金

目頭切開 片目
¥148,500(税込)
両目
¥275,000(税込)
高須幹弥医師の場合 片目
¥192,500(税込)
高須幹弥医師の場合 両目
¥385,000(税込)

全院

リスク・副作用・合併症

術後の経過

手術前

症例写真,男性患者様に行った目頭切開Z法の症例写真,手術前,mainpic_megashira07a.jpg
高須幹弥医師からのコメント

手術前です。
目頭切開Z法をすることになりました。

手術直後

症例写真,男性患者様に行った目頭切開Z法の症例写真,手術直後,mainpic_megashira07b.jpg
高須幹弥医師からのコメント

手術直後です。
目頭の部分は腫れています。

1週間後

症例写真,男性患者様に行った目頭切開Z法の症例写真,1週間後,mainpic_megashira07c.jpg
高須幹弥医師からのコメント

1週間後です。
抜糸をしました。
少し傷跡の赤みがあります。

1ヶ月後

症例写真,男性患者様に行った目頭切開Z法の症例写真,1ヶ月後,mainpic_megashira07d.jpg
高須幹弥医師からのコメント

1ヶ月後です。
傷跡の赤みは引いています。

6ヶ月後

症例写真,男性患者様に行った目頭切開Z法の症例写真,6ヶ月後,mainpic_megashira07e.jpg
高須幹弥医師からのコメント

6ヶ月後です。
赤みや腫れは引き、ほぼ完成の状態です。

この症例と同じ診療科目の
症例写真はこちら

目頭切開

20代女性の患者様で、目頭切開を希望されていました。
診察させていただいたところ、蒙古襞が適度に発達して張っており、丸い形の目頭をしていました。
また、蒙古襞が発達していることにより、目頭の涙丘(ピンク色の粘膜が盛り上がっている部分)が隠れ、目と目の間隔が広くなり、目の横幅が小さくなっていました。
目頭切開を行い、蒙古襞を切開し、目を内側に広げることになりました。
手術はZ法に準じて行い、蒙古襞を三角弁にし、皮弁の位置を移動、回転させました。
その結果、目頭の形が自然に尖った感じになり、目が内側に1.5mm強ずつ広がりました。
キツすぎず、寄り目っぽくもならず、バランスの良い目の横幅になりました。

続きを見る

料金

片目
¥148,500(税込)
両目
¥275,000(税込)
高須幹弥医師の場合 片目
¥192,500(税込)
高須幹弥医師の場合 両目
¥385,000(税込)

全院

目頭切開を行った20代女性です。目と目の間が離れた印象がありましたが、手術を行うことで、目の幅が広がり、一回り大きな切れ長の目になりました。目が内側に大きくなることで、顔全体のバランスも落ち着きました。

続きを見る

料金

片目
¥148,500(税込)
両目
¥275,000(税込)
高須幹弥医師の場合 片目
¥192,500(税込)
高須幹弥医師の場合 両目
¥385,000(税込)

全院

20代女性の患者様で、他院で二重まぶた切開法を受けていました。
幅広いラインで切開されていたのですが、内部処理が甘いため、二重のくい込みが弱く、はっきりしない二重になっていました。
患者様のご希望は、もう少し幅を広げて、はっきりとした二重にし、一緒に目頭切開もしたいということでした。
手術は、前回の手術の切開線の約2mm上で切開し(目を閉じた状態で約10mmの位置になります)、しっかりと内部処理をして二重を作りました。
皮膚切除は行っておりません。
眼窩内脂肪はわずかに切除しましたが、ROOFは切除しておりません。
目頭切開はZ法で約1.5mmずつ内側に広げました。
術後は程よい強さのくい込みの幅広平行型二重になって、目の横幅も広がりました。

続きを見る

料金

片目
¥148,500(税込)
両目
¥275,000(税込)
高須幹弥医師の場合 片目
¥192,500(税込)
高須幹弥医師の場合 両目
¥385,000(税込)

全院

脂肪切除をする場合や埋没法の糸を抜去する場合の費用も含まれております。

片目
¥148,500(税込)
両目
¥275,000(税込)
高須幹弥医師の場合 片目
¥192,500(税込)
高須幹弥医師の場合 両目
¥385,000(税込)

全院

20代女性の患者様で、目頭切開を希望されていました。
診察させていただいたところ、二重は平行型のラインがあるのですが、目と目の間隔がやや広めでした。
適度に蒙古襞が張っていますが、特別強く張っているほうでもありませんでした。
そのため、寄り目になってキツい印象になったり、異様な顔貌ならないように、Z法に準じて目頭切開を行い、内側に約1.5mmずつ目を広げることになりました。
手術後は、程よく目が大きくなって、華やかな印象になり、目のバランスも良くなりました。
また、平行型二重のまま目が大きくなりました。

続きを見る

料金

片目
¥148,500(税込)
両目
¥275,000(税込)
高須幹弥医師の場合 片目
¥192,500(税込)
高須幹弥医師の場合 両目
¥385,000(税込)

全院

40代女性の患者様で、目が小さいうえに、加齢によって、上まぶたの皮膚が被さっていることを気にされていました。
診察させていただいたところ、眼球自体がやや小さく、目の横幅、縦幅がともに小さめでした。
眼球がついている位置自体が外側気味な上に、蒙古襞が発達しており、目と目の間隔がかなり広く離れていました。
また、元々一重まぶたの上に、加齢によって上まぶたの皮膚が被さり、三角形の目になっていました。
患者様は、「自然で若々しい目にして、尚且つ、目を大きくしてほしい」というご要望だったので、目頭切開と二重まぶたミニ切開法をすることになりました。
目頭切開はZ法に準じて、目が内側に2mmずつ広がるようにしました。
二重まぶたミニ切開法は、目を開けた状態で、二重の幅がわずかに見える程度の自然な二重を作りました。
術後は自然でハツラツとした末広型二重になりました。
元々、かなり目と目の間隔が広いため、目頭切開をしても、まだ目と目が離れている印象がありますが、これ以上目頭を切ってしまうと、涙丘(目頭の赤色の粘膜の部分)が丸見えになって、キツい印象になってしまう上に、ロンパリ(外斜視)気味の目になってしまうので、目頭切開はこの程度で良かったと思います。

続きを見る

料金

片目
¥148,500(税込)
両目
¥275,000(税込)
高須幹弥医師の場合 片目
¥192,500(税込)
高須幹弥医師の場合 両目
¥385,000(税込)

全院

片目
¥148,500(税込)
両目
¥275,000(税込)
高須幹弥医師の場合 片目
¥192,500(税込)
高須幹弥医師の場合 両目
¥385,000(税込)

全院

脂肪切除をする場合や埋没法の糸を抜去する場合の費用も含まれております。

この症例の診療科目
ページはこちら

性別
年代
施術カテゴリ
診療科目
上記の施術科目と同時に行った診療科目
ドクター
 

※ 施術方法や施術の流れに関しましては、患者様ごとにあわせて執り行いますので、各院・各医師により異なります。予めご了承ください。
※ ホームページ上で掲載されている価格は税込表示となっております。
※ 当院で行う治療行為は保険診療適応外の自由診療になります。

施術方法は200種類以上

どんなお悩みでも
ご相談ください

当サイトは高須クリニック在籍医師の監修のもとで掲載しております。

お問い合わせ

高須クリニックお客様コールセンター

フリーダイヤル

0120-5587-10 0120-5587-35

電話受付時間:9:00〜21:00
※毎月1日の電話予約受付は9:30~21:00です
診療時間:10:00〜19:00

SNS
オフィシャルアカウント

  • 【高須クリニック】LINE公式アカウント
  • Youtube
  • Instagram
  • X(旧Twitter)
  • ブログ

全国の高須クリニックの
医院一覧