目頭切開+二重まぶたミニ切開法で幅広めの平行型二重を作った症例写真
- 年代 / 性別
- 20代 / 女性
- 診療科目
- 二重まぶた・ミニ切開法(部分切開) / 目頭切開
Before
After(目を開けた状態)
After(目を閉じた状態)
(6ヶ月後)
料金
| 目頭切開 | 片目 ¥148,500(税込) |
|
| 両目 ¥275,000(税込) |
|
|
| 高須幹弥医師の場合 片目 ¥192,500(税込) |
|
|
| 高須幹弥医師の場合 両目 ¥385,000(税込) |
全院 |
| 二重まぶた・ミニ切開法(部分切開) | 片目 ¥148,500(税込) |
|
| 両目 ¥275,000(税込) |
|
|
| 高須幹弥医師の場合 片目 ¥192,500(税込) |
|
|
| 高須幹弥医師の場合 両目 ¥385,000(税込) |
全院 |
脂肪切除をする場合や埋没法の糸を抜去する場合の費用も含まれております。
リスク・副作用・合併症
目頭切開
二重まぶた・ミニ切開法(部分切開)
術後の経過
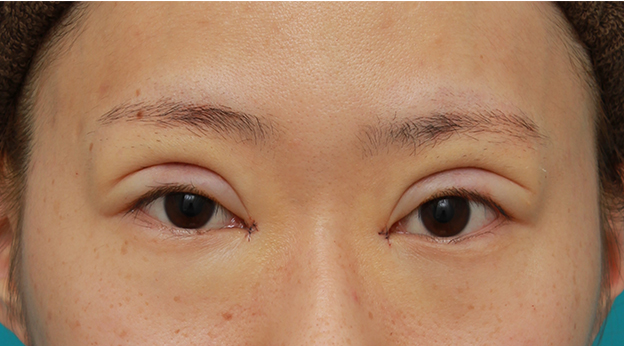
手術前
手術前です。
目頭切開+二重まぶたミニ切開法で幅広めの平行型二重を作ることになりました。
手術直後
手術直後(目を開けた状態)です。
強い腫れがあります。
手術直後(目を閉じた状態)です。
1週間後
1週間後(目を開けた状態)です。
抜糸をしました。
1週間後(目を閉じた状態)です。
翌日からアイメイクをすることができます。
3週間後
3週間後(目を開けた状態)です。
まだ腫れがあります。
3週間後(目を閉じた状態)です。
6ヶ月後
6ヶ月後(目を開けた状態)です。
ほぼ完全に腫れは引きました。
6ヶ月後(目を閉じた状態)です。
この症例と同じ診療科目の
症例写真はこちら
この症例の診療科目
ページはこちら
この施術を見た方は、以下の施術も見ています
※ 施術方法や施術の流れに関しましては、患者様ごとにあわせて執り行いますので、各院・各医師により異なります。予めご了承ください。
※ ホームページ上で掲載されている価格は税込表示となっております。
※ 当院で行う治療行為は保険診療適応外の自由診療になります。
施術方法は200種類以上
どんなお悩みでも
ご相談ください
当サイトは高須クリニック在籍医師の監修のもとで掲載しております。

担当医:高須幹弥 医師
診察させていただいたところ、過去に二重まぶた埋没をしていますが、糸が緩んで二重のラインがはっきりしておらず、左右非対称の目になっていました。
蒙古襞が張っており、目の横幅が小さく、目と目の間隔がやや広がっていました。
また、アイプチ、アイテープ、メザイクなどを繰り返していたため、まぶたの皮膚が被れて分厚くなっており、シワが何本もできていました。
手術は、目頭側に幅がある綺麗な平行型二重を作るために目頭切開を行い、二重まぶたミニ切開法で幅が広めの平行型二重を作ることになりました。
目頭切開は蒙古襞の形に合わせてZ法で行い、内側に約1.5mmずつ広げました。
二重まぶたミニ切開法は、蒙古襞を乗り越えるように幅が広めの二重を作り、平行型二重になるようにしました。
皮膚切除、眼窩内脂肪、ROOF切除はしていません。
術後は患者様の希望通りの幅が広めの平行型二重になりました。