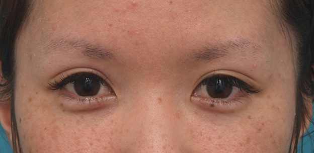
以前に埋没法で二重にしたが、糸が緩んで幅が狭くなったので、ミニ切開法でまた広げた症例写真
- 年代 / 性別
- 20代 / 女性
- 診療科目
- 二重まぶた・ミニ切開法(部分切開)
Before
After(メイクなし)
After(メイクあり)
(4ヶ月後)
※施術後(After)のメイクあり写真について
女性の目もとの施術はメイクをすることを前提に行うことが多くなっております。
そのため、当院ではこれから施術を受けていただく方への参考として、メイクをしていない施術前後(Before/After)の写真のほか、 施術後(After)のメイクをしている写真も掲載しております。
料金
| 二重まぶた・ミニ切開法(部分切開) | 片目 ¥148,500(税込) |
|
| 両目 ¥275,000(税込) |
|
|
| 高須幹弥医師の場合 片目 ¥192,500(税込) |
|
|
| 高須幹弥医師の場合 両目 ¥385,000(税込) |
全院 |
脂肪切除をする場合や埋没法の糸を抜去する場合の費用も含まれております。
リスク・副作用・合併症
二重まぶた・ミニ切開法(部分切開)
術後の経過
手術前
手術前です。
以前に埋没法で二重を作っていますが、糸が緩んで幅が狭くなってきたので、ミニ切開法で幅を広げることになりました。
ミニ切開法 手術直後
ミニ切開法手術直後です。
強い腫れがあります。
1週間後
1週間後です。
抜糸しました。
1ヶ月後
1ヶ月後です。
大きな腫れは引いています。
4ヶ月後
4ヶ月後(メイクなし)です。
だいぶ腫れは引きました。
4ヶ月後(メイクあり)です。
※施術後(After)のメイクあり写真について
女性の目もとの施術はメイクをすることを前提に行うことが多くなっております。
そのため、当院ではこれから施術を受けていただく方への参考として、メイクをしていない施術前後(Before/After)の写真のほか、 施術後(After)のメイクをしている写真も掲載しております。
この症例と同じ診療科目の
症例写真はこちら
この症例の診療科目
ページはこちら
この施術を見た方は、以下の施術も見ています
※ 施術方法や施術の流れに関しましては、患者様ごとにあわせて執り行いますので、各院・各医師により異なります。予めご了承ください。
※ ホームページ上で掲載されている価格は税込表示となっております。
※ 当院で行う治療行為は保険診療適応外の自由診療になります。
施術方法は200種類以上
どんなお悩みでも
ご相談ください
当サイトは高須クリニック在籍医師の監修のもとで掲載しております。

担当医:高須幹弥 医師
これ以上狭くなるのは嫌だし、いつか一重に戻ってしまうのも心配なので、元に戻らないように切開してほしいというご要望でした。
まぶたがそれほど厚くないのでミニ切開法をすることになりました。
目を閉じた状態でまつ毛の生え際から約9mmの位置で約15mm切開して二重を作りました。
入っていた埋没法の糸は全て除去しました。
眼窩内脂肪、ROOFは切除せず、皮膚切除もしていません。
術後は目を開けた状態で約2mmの幅が見え、目頭側の二重もわずかに見える微妙な平行型二重になりました。