対象クリニックアイコンの凡例

:銀座高須クリニック
:横浜院
:名古屋院
:栄院
:大阪院
全院
:全院
年代 / 性別
20代 / 女性
診療科目
二重まぶた・ミニ切開法(部分切開)
二重まぶた・ミニ切開法(部分切開),目頭切開せずに二重まぶたミニ切開法で幅の狭い平行型二重を作った症例写真,Before,ba_mini_sekkai37_b.jpg

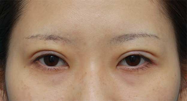
Before

二重まぶた・ミニ切開法(部分切開),目頭切開せずに二重まぶたミニ切開法で幅の狭い平行型二重を作った症例写真,After(6ヶ月後),ba_mini_sekkai37_b.jpg

After(6ヶ月後)

20代女性の患者様で、二重まぶた手術希望で来院されました。
診察させていただいたところ、ほぼ完全な一重まぶたで、まぶたの皮膚が被さり、細い目をしていました。
幅が広い二重や不自然な二重は嫌という御要望だったので、目を開けた状態でわずかに二重の幅が見えるようなデザインで手術することになりました。
元に戻ってしまう二重は嫌ということだったので、埋没法ではなく、ミニ切開法で手術することになりました。
皮膚切除はせず、眼窩内脂肪やROOFも切除しませんでした。
術後は目を開けた状態でわずかに二重の幅が見える狭い平行型二重になりました。
この方は、元々蒙古襞の張りが弱いため、目頭切開をして蒙古襞の張りを大きく解除しなくても、狭い二重を作るだけで平行型二重になりました。
この方のように、狭い二重を作るだけで平行型二重になる人は、どちらかというと珍しいです。
ほとんどの人は、平行型二重を作るには、蒙古襞を乗り越えて幅の広い二重を作るか、狭い二重を作ると同時に大きく目頭切開をして、蒙古襞の張りを解除する必要があります。

料金

二重まぶた・ミニ切開法(部分切開) 片目
¥148,500(税込)
両目
¥275,000(税込)
高須幹弥医師の場合 片目
¥192,500(税込)
高須幹弥医師の場合 両目
¥385,000(税込)

全院

脂肪切除をする場合や埋没法の糸を抜去する場合の費用も含まれております。

リスク・副作用・合併症

術後の経過

手術前

二重まぶた・ミニ切開法(部分切開),目頭切開せずに二重まぶたミニ切開法で幅の狭い平行型二重を作った症例写真,手術前,mainpic_mini_sekkai16a.jpg
高須幹弥医師からのコメント

手術前です。
目頭切開せずに、二重まぶたミニ切開法のみで幅の狭い平行型二重を作ることになりました。

手術直後

二重まぶた・ミニ切開法(部分切開),目頭切開せずに二重まぶたミニ切開法で幅の狭い平行型二重を作った症例写真,手術直後,mainpic_mini_sekkai16b.jpg
高須幹弥医師からのコメント

手術直後です。
強い腫れがあります。

1ヶ月後

二重まぶた・ミニ切開法(部分切開),目頭切開せずに二重まぶたミニ切開法で幅の狭い平行型二重を作った症例写真,1ヶ月後,mainpic_mini_sekkai16c.jpg
高須幹弥医師からのコメント

1ヶ月後です。
だいぶ腫れは引きましたが、まだ少し腫れが残っており、予定よりも幅が広いです。

6ヶ月後

二重まぶた・ミニ切開法(部分切開),目頭切開せずに二重まぶたミニ切開法で幅の狭い平行型二重を作った症例写真,6ヶ月後,mainpic_mini_sekkai16d.jpg
高須幹弥医師からのコメント

6ヶ月後です。
ほぼ完全に腫れは引いています。

この症例と同じ診療科目の
症例写真はこちら

二重まぶた・ミニ切開法(部分切開)

この方は、最初に埋没法で幅広平行型二重をつくったらしいです。
最初はほぼ希望通りの二重だったのですが、数か月でだんだんくっきりしていた二重のラインが浅く、狭くなってきたそうです。
少しまぶたの厚みのある方は、幅広平行二重を埋没法でつくると、元に戻ってきてしまいます。
元に戻らない幅広平行二重がご希望でしたので、私がミニ切開二重手術をしました。
少しだけ余分な脂肪を除去し、内部処理を行い、二重のラインをつくるので、埋没法と違ってもう元に戻ることはありません。
希望通りの二重になったと思います。

続きを見る

料金

(本症例適用料金)
¥275,000(税込)

銀座

横浜

名古屋

大阪

※診察にてご確認ください

20代女性の患者様で、二重まぶた手術希望で来院されました。
診察させていただいたところ、ほぼ完全な一重まぶたであり、皮膚が覆い被さっていることにより、黒目の見える面積が少なくなっていました。
また、それによってまぶたの開きが悪い分、普段から無意識に眉毛を上げて目を大きく開けようとしているため、目と眉の距離が広い状態になっていました。
患者様は平行型二重をミニ切開法で作ることを希望されていたため、重瞼棒で二重のシミュレーションをして、蒙古襞を乗り越えて平行型にしてみると、目頭側から目尻側にかけてほぼ同じ幅で少し幅の見える二重のラインになりました。
患者様に鏡で確認していただいたところ、そのラインを希望されたので、そのラインでミニ切開法をすることになりました。
作成する二重のラインに沿って約2cm皮膚を切開して、わずかに眼窩内脂肪を切除し、二重のラインを作りました。
ミニ切開法なので、皮膚の切除はせず、ROOFも切除しませんでした。
術後は綺麗な平行型二重になりました。
まぶたの皮膚が上に持ち上がって、黒目も大きく見えるようになりました。
また、目が開きやすくなった分、無意識に眉毛を上げることもなくなったため、目と眉の距離が近づいて、凛とした印象になりました。

続きを見る

料金

片目
¥148,500(税込)
両目
¥275,000(税込)
高須幹弥医師の場合 片目
¥192,500(税込)
高須幹弥医師の場合 両目
¥385,000(税込)

全院

脂肪切除をする場合や埋没法の糸を抜去する場合の費用も含まれております。

20代女性の患者様で、元々目を閉じた状態で約5mmの位置に二重のラインがあり、目を開けると狭い末広型の二重でした。
幅の広い平行型二重を希望されていたため、目を閉じた状態で約12mmの位置でミニ切開法で二重を作りました。
この方は元々蒙古襞があまり発達しておらず、まぶたの皮膚が薄くて目ヂカラが強いので、ミニ切開法だけで自然な幅広の平行型二重になりました。
目を開けた状態で二重の幅が約3mmあるので、アイラインを引いてもアイラインの上に肌色の二重の幅がはっきりとあるため、派手なアイメイクがとても映えます。

続きを見る

料金

片目
¥148,500(税込)
両目
¥275,000(税込)
高須幹弥医師の場合 片目
¥192,500(税込)
高須幹弥医師の場合 両目
¥385,000(税込)

全院

脂肪切除をする場合や埋没法の糸を抜去する場合の費用も含まれております。

20代女性の患者様で、他院で二重まぶた埋没法をしており、ミニ切開法で幅を広げたいというご要望でした。
診察させていただいたところ、蒙古襞があまり張っていないため、必然的に平行型二重になっていました。
患者様のご要望通り、二重まぶたミニ切開法で幅を広げ、幅広平行型二重にすることになりました。
手術は局所麻酔下に行い、他院で行った埋没法の糸を全て除去し、新たに幅広い二重のラインを作り直しました。
この方は元々目の上が窪んでいるため、脂肪の切除は行いませんでした。
手術後は患者様の希望通りの幅広平行型二重になりました。

続きを見る

料金

片目
¥148,500(税込)
両目
¥275,000(税込)
高須幹弥医師の場合 片目
¥192,500(税込)
高須幹弥医師の場合 両目
¥385,000(税込)

全院

脂肪切除をする場合や埋没法の糸を抜去する場合の費用も含まれております。

眼瞼下垂には、生まれつき目の開きが悪い先天性眼瞼下垂と、コンタクトレンズの長期装用や老化などに伴う後天性眼瞼下垂があります。
この方は左目のみが生まれつき開きが悪い先天性眼瞼下垂でした。
先天性眼瞼下垂は、まぶたを開ける筋肉である上眼瞼挙筋の機能が弱いために目の開きが悪いので、ある程度筋肉の機能がある方は挙筋前転術で筋肉を短縮させてまぶたが開くようにしますが、筋肉の機能がほとんどない方は、側頭部や大腿から筋膜を移植して眉毛を上げる力によってまぶたが開くように手術します。
この方はある程度、眼瞼挙筋の機能があったので、左目の挙筋前転術を行い、同時に末広型の二重をつくり、それに合わせて右目はミニ切開法で末広型二重をつくりました。
片目の先天性眼瞼下垂の場合は反対の目と全く同じように開けてあげることは不可能なので、左目を右目と同じように大きく開けてあげることはできなかったのですが、術前に比べてかなり左右対称になったと思います。

続きを見る

料金

片目
¥148,500(税込)
両目
¥275,000(税込)
高須幹弥医師の場合 片目
¥192,500(税込)
高須幹弥医師の場合 両目
¥385,000(税込)

全院

脂肪切除をする場合や埋没法の糸を抜去する場合の費用も含まれております。

片目(通常の手術の場合)
¥385,000(税込)
両目(通常の手術の場合)
¥770,000(税込)
片目(筋膜移植の場合)
¥605,000(税込)
両目(筋膜移植の場合)
¥990,000(税込)

全院

この症例の診療科目
ページはこちら

性別
年代
施術カテゴリ
診療科目
上記の施術科目と同時に行った診療科目
ドクター
 

※ 施術方法や施術の流れに関しましては、患者様ごとにあわせて執り行いますので、各院・各医師により異なります。予めご了承ください。
※ ホームページ上で掲載されている価格は税込表示となっております。
※ 当院で行う治療行為は保険診療適応外の自由診療になります。

施術方法は200種類以上

どんなお悩みでも
ご相談ください

当サイトは高須クリニック在籍医師の監修のもとで掲載しております。

お問い合わせ

高須クリニックお客様コールセンター

フリーダイヤル

0120-5587-10 0120-5587-35

電話受付時間:9:00〜21:00
※毎月1日の電話予約受付は9:30~21:00です
診療時間:10:00〜19:00

SNS
オフィシャルアカウント

  • 【高須クリニック】LINE公式アカウント
  • Youtube
  • Instagram
  • X(旧Twitter)
  • ブログ

全国の高須クリニックの
医院一覧