対象クリニックアイコンの凡例

:銀座高須クリニック
:横浜院
:名古屋院
:栄院
:大阪院
全院
:全院
年代 / 性別
20代 / 女性
診療科目
二重まぶた・ミニ切開法(部分切開)
症例写真,二重まぶた埋没法をして取れて元に戻ったため、ミニ切開法で永久的に取れない二重を作った症例写真,Before,ba_mini_sekkai38_b.jpg

Before

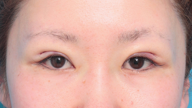
症例写真,二重まぶた埋没法をして取れて元に戻ったため、ミニ切開法で永久的に取れない二重を作った症例写真,After(目を開けた状態),ba_mini_sekkai38_b.jpg

After(目を開けた状態)

症例写真,二重まぶた埋没法をして取れて元に戻ったため、ミニ切開法で永久的に取れない二重を作った症例写真,After(目を閉じた状態)<br/>
(6ヶ月後),

After(目を閉じた状態)
(6ヶ月後)

20代女性の患者様で、以前に当院で埋没法で二重まぶたを作ったのですが、数年経過して糸が緩んで、二重の幅が狭くなってしまい、ほぼ元の目に戻ってしまいました。
もう元に戻ってしまって何度も手術をやり直すのは嫌ということでしたので、ミニ切開法で元に戻らない二重を作ることになりました。
自然ですっぴんでも整形っぽくない二重を希望されていたので、不自然に蒙古襞を乗り越えないように二重幅が広すぎない末広型の二重を作りました。
手術時に前回の埋没法の糸は除去し、適度に眼窩内脂肪を除去しました。
皮膚切除、ROOF切除はしませんでした。
この方は元のまぶたの皮膚が厚いのですが、無理して二重の幅を広げず、下のほうの皮膚の薄いところで二重のラインを作ったため、目を閉じたときの切開線の傷跡が食い込んだり窪んだりすることなく、ほぼ平らになり、ほとんど目立たない傷跡になりました。

料金

二重まぶた・ミニ切開法(部分切開) 片目
¥148,500(税込)
両目
¥275,000(税込)
高須幹弥医師の場合 片目
¥192,500(税込)
高須幹弥医師の場合 両目
¥385,000(税込)

全院

脂肪切除をする場合や埋没法の糸を抜去する場合の費用も含まれております。

リスク・副作用・合併症

術後の経過

手術前

症例写真,二重まぶた埋没法をして取れて元に戻ったため、ミニ切開法で永久的に取れない二重を作った症例写真,手術前,mainpic_mini_sekkai17a.jpg
高須幹弥医師からのコメント

手術前です。
過去に埋没法で二重まぶたを作ったのですが、糸が緩んで元に戻ってしまったため、ミニ切開法で永久に取れない二重まぶたを作ることになりました。

手術直後

症例写真,二重まぶた埋没法をして取れて元に戻ったため、ミニ切開法で永久的に取れない二重を作った症例写真,手術直後,目を開けた状態,mainpic_mini_sekkai17b.jpg

目を開けた状態

高須幹弥医師からのコメント

手術直後です。
強い腫れがあります。

症例写真,二重まぶた埋没法をして取れて元に戻ったため、ミニ切開法で永久的に取れない二重を作った症例写真,手術直後,目を閉じた状態,mainpic_mini_sekkai17c.jpg

目を閉じた状態

高須幹弥医師からのコメント

手術直後の目を閉じた状態です。
細かく糸で縫合してあります。

1週間後

症例写真,二重まぶた埋没法をして取れて元に戻ったため、ミニ切開法で永久的に取れない二重を作った症例写真,1週間後,mainpic_mini_sekkai17d.jpg
高須幹弥医師からのコメント

1週間後です。
抜糸をしました。

1ヶ月後

症例写真,二重まぶた埋没法をして取れて元に戻ったため、ミニ切開法で永久的に取れない二重を作った症例写真,1ヶ月後,目を開けた状態,mainpic_mini_sekkai17e.jpg

目を開けた状態

高須幹弥医師からのコメント

1ヶ月後です。
だいぶ腫れは引きましたが、まだ少し腫れています。

症例写真,二重まぶた埋没法をして取れて元に戻ったため、ミニ切開法で永久的に取れない二重を作った症例写真,1ヶ月後,目を閉じた状態,mainpic_mini_sekkai17f.jpg

目を閉じた状態

高須幹弥医師からのコメント

1ヶ月後の目を閉じた状態です。
まだ少し傷跡の食い込みがありますが、時間の経過と共に目立たなくなります。

6ヶ月後

症例写真,二重まぶた埋没法をして取れて元に戻ったため、ミニ切開法で永久的に取れない二重を作った症例写真,6ヶ月後,目を開けた状態 ,mainpic_mini_sekkai17g.jpg

目を開けた状態

高須幹弥医師からのコメント

6ヶ月後です。
ほぼ完全に腫れが引き、完成です。
末広型の自然な二重まぶたになりました。

症例写真,二重まぶた埋没法をして取れて元に戻ったため、ミニ切開法で永久的に取れない二重を作った症例写真,6ヶ月後,目を閉じた状態,mainpic_mini_sekkai17h.jpg

目を閉じた状態

高須幹弥医師からのコメント

6ヶ月後の目を閉じた状態です。
無理して幅を広げず、その人のまぶたに合ったラインで切開したので、傷跡の食い込みやくぼみはなく、ほとんど分からない切開線になりました。

この症例と同じ診療科目の
症例写真はこちら

二重まぶた・ミニ切開法(部分切開)

もともと狭い二重はあった方なのですが、加齢のため上まぶたの皮膚が下垂してきて、二重の幅が狭くなってしまい奥二重になってしまっていました。幅の広い平行型二重がご希望だったので、ミニ切開二重手術を行いました。
埋没法で切らずに幅の広い二重をつくることもできるのですが、皮膚のたるみの多い人に埋没法で幅の広い二重をつくると、数年で二重の幅が狭くなったり、ラインが浅くなって取れてしまうことがあるので、1~2週間くらいダウンタイムがとれる人はミニ切開をした方が良いです。
手術後、希望通りの幅の広い平行型二重になりました。切開したところが新たな二重のラインになるわけですが、この方は目を閉じた状態で、まつ毛の付け根から約11mmの位置で二重のラインをつくりました。
目を開けた状態でも約4mm二重の幅があります。
この方はまぶたの厚みはそれほどなかったので、たくさんの脂肪をとることはせず、切開して二重をつくる位置の皮膚の下の脂肪を少量とるのみにしています。これくらい広い二重の幅があると、バッチリアイメイクをしても二重の幅が隠れてしまうことはなく、大きな目を強調することができます。

続きを見る

料金

片目
¥148,500(税込)
両目
¥275,000(税込)
高須幹弥医師の場合 片目
¥192,500(税込)
高須幹弥医師の場合 両目
¥385,000(税込)

全院

脂肪切除をする場合や埋没法の糸を抜去する場合の費用も含まれております。

2週間後、抜糸を行い、アイメイクもできるようになりました。つけまつ毛やアイメイクでより憧れの表情に近づけます。

続きを見る

料金

片目
¥148,500(税込)
両目
¥275,000(税込)
高須幹弥医師の場合 片目
¥192,500(税込)
高須幹弥医師の場合 両目
¥385,000(税込)

全院

脂肪切除をする場合や埋没法の糸を抜去する場合の費用も含まれております。

20代女性の患者様で、蒙古ヒダが発達しており、目と目が離れ気味でした。
また、元々左右共一重まぶたなのですが、アイプチでまぶたの皮膚が被れており、右目にはアイプチの癖で中途半端な二重のシワのようなものができて左右非対称でした。
狭い平行型二重をご希望されていましたが、この方の目で狭い二重を作ると、発達している蒙古ヒダの中に目頭側の二重のラインが入り込んでしまい、末広型二重になってしまいます。
そのため、二重の手術と合わせて目頭切開(Z法)も行い、突っ張っている蒙古ヒダを解除することにしました。
二重の手術は、やや広めの幅にすることとまぶたを開ける力がそれほど強くないなどの理由で、埋没法ではやや戻り易いため、ミニ切開法で行いましました。
術後はご希望通り、ほぼ左右対称な狭い平行型二重になりました。
術前に比べて目と目が離れているのが目立たなくなり、全体的に目が大きくなって華やかになったのがお分かりいただけると思います。

続きを見る

料金

片目
¥148,500(税込)
両目
¥275,000(税込)
高須幹弥医師の場合 片目
¥192,500(税込)
高須幹弥医師の場合 両目
¥385,000(税込)

全院

脂肪切除をする場合や埋没法の糸を抜去する場合の費用も含まれております。

片目
¥148,500(税込)
両目
¥275,000(税込)
高須幹弥医師の場合 片目
¥192,500(税込)
高須幹弥医師の場合 両目
¥385,000(税込)

全院

まぶたに脂肪が多く、厚みがあった方です。まぶたの皮膚が目にかぶさっている奥二重でした。
埋没法ではまぶたの厚みまで変えることはできませんが、ミニ切開法なら余分な脂肪を取り除いてスッキリと。ご希望だった幅の狭い末広タイプ、正統派美少女風のくっきりはっきりとした目に仕上がりました。
以前は目を大きく見せるために眉を引き上げて見開いていましたが、目が大きくなったことで眉を引き上げることもなくなりました。このため眉毛から目にかけてのバランスも美しく整い、より美しい目もとになりました。
いつも眠たそうに見られていた表情がはっきりし、明るく可愛らしく。ミニ切開法なら元に戻る心配もなく、半永久的にこの美しい目でいられます。

続きを見る

料金

片目
¥148,500(税込)
両目
¥275,000(税込)
高須幹弥医師の場合 片目
¥192,500(税込)
高須幹弥医師の場合 両目
¥385,000(税込)

全院

脂肪切除をする場合や埋没法の糸を抜去する場合の費用も含まれております。

20代女性の患者様で、以前に当院で埋没法で二重を作っていましたが、年月が経ち、糸が緩んで、二重の幅が狭くなってきました。
これ以上狭くなるのは嫌だし、いつか一重に戻ってしまうのも心配なので、元に戻らないように切開してほしいというご要望でした。
まぶたがそれほど厚くないのでミニ切開法をすることになりました。
目を閉じた状態でまつ毛の生え際から約9mmの位置で約15mm切開して二重を作りました。
入っていた埋没法の糸は全て除去しました。
眼窩内脂肪、ROOFは切除せず、皮膚切除もしていません。
術後は目を開けた状態で約2mmの幅が見え、目頭側の二重もわずかに見える微妙な平行型二重になりました。

続きを見る

料金

片目
¥148,500(税込)
両目
¥275,000(税込)
高須幹弥医師の場合 片目
¥192,500(税込)
高須幹弥医師の場合 両目
¥385,000(税込)

全院

脂肪切除をする場合や埋没法の糸を抜去する場合の費用も含まれております。

この症例の診療科目
ページはこちら

性別
年代
施術カテゴリ
診療科目
上記の施術科目と同時に行った診療科目
ドクター
 

※ 施術方法や施術の流れに関しましては、患者様ごとにあわせて執り行いますので、各院・各医師により異なります。予めご了承ください。
※ ホームページ上で掲載されている価格は税込表示となっております。
※ 当院で行う治療行為は保険診療適応外の自由診療になります。

施術方法は200種類以上

どんなお悩みでも
ご相談ください

当サイトは高須クリニック在籍医師の監修のもとで掲載しております。

お問い合わせ

高須クリニックお客様コールセンター

フリーダイヤル

0120-5587-10 0120-5587-35

電話受付時間:9:00〜21:00
※毎月1日の電話予約受付は9:30~21:00です
診療時間:10:00〜19:00

SNS
オフィシャルアカウント

  • 【高須クリニック】LINE公式アカウント
  • Youtube
  • Instagram
  • X(旧Twitter)
  • ブログ

全国の高須クリニックの
医院一覧