対象クリニックアイコンの凡例

:銀座高須クリニック
:横浜院
:名古屋院
:栄院
:大阪院
全院
:全院
性別
女性
診療科目
なみだ袋形成(ヒアルロン酸注射)
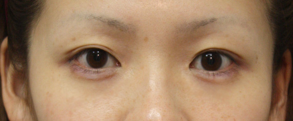
症例写真,なみだ袋形成(ヒアルロン酸注射)の症例 淋しい顔立ちを解消したい女性,Before,ba_namida04_b.jpg

Before

症例写真,なみだ袋形成(ヒアルロン酸注射)の症例 淋しい顔立ちを解消したい女性,After,ba_namida04_b.jpg

After

しっかりとした二重の目ですが、ご本人はなんとなく淋しい顔立ちだと感じていました。愛くるしい印象になりたいということで、物足りなかった目もとになみだ袋をつくることになったのです。
なみだ袋は、若いときにはあっても年齢とともになくなっていくもの。また、笑顔になると強調されるもの。ほんの少しでもなみだ袋があると、ハツラツと笑顔があふれた印象になります。

この症例と同じ診療科目の
症例写真はこちら

なみだ袋形成(ヒアルロン酸注射)

20代女性の患者様で、数ヶ月前に涙袋にヒアルロン酸を入れたのですが、また入れたいというご要望でした。
診察させていただいたところ、前回注入したヒアルロン酸はまだ大部分(7~8割くらい)が残っていました。
患者様は、
「前回は初めての涙袋ヒアルロン酸注射で、やり過ぎて不自然になるのが嫌だったので、気持ち控え目気味で注入してもらって、それでも満足していました」
「でも、しばらくして見なれてくると、なんだか物足りなく感じて、欲が出てしまい、もっと注入したくなりました」
と仰っていました。
患者様に鏡で確認していただきながら、前回同様、涙袋専用の広がらないヒアルロン酸を注入していきました。
約0.2ccずつ追加注入しました。
術後は涙袋がさらに大きくなりました。
鼻でも顎でも唇でも涙袋でも、ヒアルロン酸注射をして良くなると、しばらくは満足しても、見なれてくると、物足りなくなって、追加注入したくなることはよくあります。
あまりたくさん注入すると不自然になることもあるので、カウンセリングでしっかりと話し合ってから追加するかどうか決めるのが良いです。

続きを見る

料金

ヒアルロン酸
¥110,000(税込)

全院

20代女性の患者様で、涙袋のヒアルロン酸注射を希望されていました。
診察させていただいたところ、笑顔を作ると多少涙袋の膨らみができるのですが、真顔の状態だとほとんど涙袋はありませんでした。
患者様のご要望で、ヒアルロン酸注射ではっきりとした涙袋を作ることになりました。
麻酔のクリームを下まぶたの皮膚に塗った後、極細の注入針で涙袋にヒアルロン酸を注入していきました。
注射後は程よい大きさの涙袋ができ、華やかな印象の目になりました。

続きを見る

料金

ヒアルロン酸
¥110,000(税込)

全院

20代の女性の方です。
鼻根部(鼻の目と目の間の部分)がやや低く、目と目が離れて見えたので、ヒアルロン酸を1本(1cc)注入しました。
鼻根部が高くなったことによって綺麗に鼻筋が通りました。
また、目が離れて見えていたのが少し解消しました。
実際には目は内側に寄っていないのですが、目と目の間に立体的な鼻根ができると、目の錯覚で目が内側に大きくなったように見えます。
涙袋は元々ほとんどなかったので、両目にごくわずかだけヒアルロン酸を注入しました。
涙袋をつくるメリットは3つあり、目が大きく見える、爽やかで明るい笑顔になる、ハツラツとして見えるということです。

続きを見る

料金

ヒアルロン酸
¥110,000(税込)

全院

笑顔の似合うイケメンたちは、よく見ると皆、なみだ袋があります。この方は20代の男性で、メンズファッション雑誌のモデルやジャニーズ系タレントに憧れ、やや大きめのなみだ袋を希望されました。
たっぷりヒアルロン酸を注入したことで、明るく表情あふれる目もとに。イメージ通りの仕上がりに、にっこりと微笑んでくださいました。

続きを見る

料金

ヒアルロン酸
¥110,000(税込)

全院

20代女性の患者様で、もともと小さな涙袋はあったのですが、もっと大きな涙袋が欲しいということでヒアルロン酸を注入しました。
涙袋のヒアルロン酸注射は、あまり入れ過ぎでしまうと目の下のクマやタルミのようになったり、「いかにもヒアルロン酸入れています」みたいな感じになることがあるので、初めてやる方はやや控えめにやることをご提案していますが、この方はやり過ぎなくらいしっかりと入れて欲しいというご要望でした。
最近は人気のあるアイドルやモデルでもやり過ぎなくらい涙袋にヒアルロン酸を入れて大きく膨らましている方がいらっしゃるため、その方達に憧れている患者様達は当然同じように大きな涙袋を希望されます。
流行の顔というのは、その時代においてカリスマとなっているアイドル、歌手、モデル達がテレビ、雑誌、ネットなどで活躍して形成されてゆくものです。
大きな涙袋をしているアイドルがカリスマになり、様々なメディアで活躍するようになれば、当然その大きな涙袋がその時代の流行の顔のパーツとなって、そのカリスマに憧れている女子達はその涙袋を目指します。
我々はプロなので、基本的に患者様のニーズに合わせて最善を尽くすように心掛けております。
患者様が大きな涙袋を望めば、満足いただけるよう全うさせていただきます。
しかし、涙袋ヒアルロン酸希望の患者様が全てこのような大きな涙袋を希望されているわけではないので、控えめな涙袋を希望されている方にはそれ相応の涙袋を作りますので御安心ください。

続きを見る

料金

ヒアルロン酸
¥110,000(税込)

全院

この症例の診療科目
ページはこちら

性別
年代
施術カテゴリ
診療科目
上記の施術科目と同時に行った診療科目
ドクター
 

※ 施術方法や施術の流れに関しましては、患者様ごとにあわせて執り行いますので、各院・各医師により異なります。予めご了承ください。
※ ホームページ上で掲載されている価格は税込表示となっております。
※ 当院で行う治療行為は保険診療適応外の自由診療になります。

施術方法は200種類以上

どんなお悩みでも
ご相談ください

当サイトは高須クリニック在籍医師の監修のもとで掲載しております。

お問い合わせ

高須クリニックお客様コールセンター

フリーダイヤル

0120-5587-10 0120-5587-35

電話受付時間:9:00〜21:00
※毎月1日の電話予約受付は9:30~21:00です
診療時間:10:00〜19:00

SNS
オフィシャルアカウント

  • 【高須クリニック】LINE公式アカウント
  • Youtube
  • Instagram
  • X(旧Twitter)
  • ブログ

全国の高須クリニックの
医院一覧