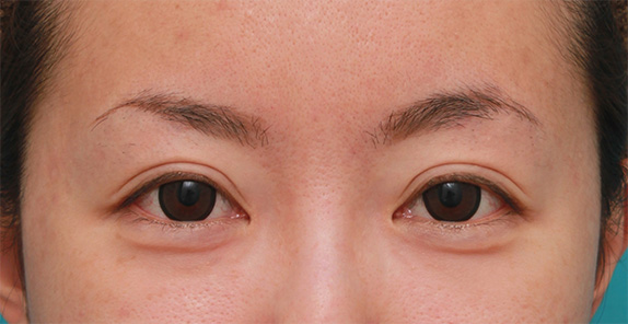
ヒアルロン酸注射で自然な涙袋を作り、愛らしい笑顔になるようにした症例写真画像
- 年代 / 性別
- 20代 / 女性
- 診療科目
- なみだ袋形成(ヒアルロン酸注射)
Before
After
この症例と同じ診療科目の
症例写真はこちら
この症例の診療科目
ページはこちら
この施術を見た方は、以下の施術も見ています
※ 施術方法や施術の流れに関しましては、患者様ごとにあわせて執り行いますので、各院・各医師により異なります。予めご了承ください。
※ ホームページ上で掲載されている価格は税込表示となっております。
※ 当院で行う治療行為は保険診療適応外の自由診療になります。
施術方法は200種類以上
どんなお悩みでも
ご相談ください
当サイトは高須クリニック在籍医師の監修のもとで掲載しております。

担当医:高須幹弥 医師
診察させていただいたところ、元々の涙袋はわずかにある程度でした。
大袈裟でわざとらしい涙袋は嫌で、自然な涙袋を希望されていたので、鏡で確認していただきながら、少しずつヒアルロン酸を注入させていただきました。
術後は程よく涙袋が膨らみ、自然にしあがりました。
涙袋は若さと笑顔の象徴であるため、ハツラツと明るい印象になりました。