対象クリニックアイコンの凡例

:銀座高須クリニック
:横浜院
:名古屋院
:栄院
:大阪院
全院
:全院
年代 / 性別
20代 / 女性
診療科目
垂れ目(パンダ目)形成(グラマラスライン/下眼瞼下制術)
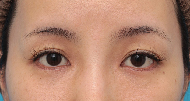
症例写真,下三白眼にタレ目形成(グラマラスライン)を行った症例写真,Before,ba_panda020_b01.jpg

Before

症例写真,下三白眼にタレ目形成(グラマラスライン)を行った症例写真,After(9ヶ月後),ba_panda020_b01.jpg

After(9ヶ月後)

20代女性の患者様で、タレ目形成(グラマラスライン)手術を希望されて来院されました。
診察させていただいたところ、下まぶたのラインのカーブの外側への上がり方がやや急な、つり目が強調された目をしていました。
また、黒目の下の白目が見えている下三白眼でした。
下三白眼は、「犯罪者の目」とも呼ばれ、一般的に陰気で、あまりよくない印象の目です。
稀に女優さんなどで、下三白眼でエキゾチックな魅力な人もいますが、そのような人は、それ以外のパーツやスタイルなどを含め、全体的に奇跡的なバランスで魅力がある場合がほとんどです。
そのため、これ以上下三白眼が悪化しないように、黒目の真下は下げず、黒目の外側のみを下げるように手術することになりました。
手術後は、下三白眼が悪化することなく、黒目の外側が程よく下がり、綺麗なグラマラスラインになりました。
また、つり目が適度に改善して、優しい印象の大きな目にもなりました。

料金

垂れ目(パンダ目)形成(グラマラスライン/下眼瞼下制術) 片目
¥148,500(税込)
両目
¥275,000(税込)
高須幹弥医師の場合 片目
¥192,500(税込)
高須幹弥医師の場合 両目
¥385,000(税込)

銀座

横浜

名古屋

大阪

リスク・副作用・合併症

術後の経過

手術前

症例写真,下三白眼にタレ目形成(グラマラスライン)を行った症例写真,手術前,mainpic_panda020a.jpg
高須幹弥医師からのコメント

手術前です。
元々下三白眼であり、黒目の下の白目が見えています。
患者様のご希望で、タレ目形成(グラマラスライン)を行うことになりました。

手術直後

症例写真,下三白眼にタレ目形成(グラマラスライン)を行った症例写真,手術直後,mainpic_panda020b.jpg
高須幹弥医師からのコメント

手術直後です。
局所麻酔注射などの影響で腫れていますが、腫れは必ず引くので心配ありません。
余分な皮膚を切除したので、傷を縫合しています。

1週間後

症例写真,下三白眼にタレ目形成(グラマラスライン)を行った症例写真,1週間後,mainpic_panda020c.jpg
高須幹弥医師からのコメント

1週間後です。
抜糸をしました。
内出血はほとんど出てません。

3週間後

症例写真,下三白眼にタレ目形成(グラマラスライン)を行った症例写真,3週間後,mainpic_panda020d.jpg
高須幹弥医師からのコメント

3週間後です。
大きな腫れは引いています。

9ヶ月後

症例写真,下三白眼にタレ目形成(グラマラスライン)を行った症例写真,9ヶ月後,mainpic_panda020e.jpg
高須幹弥医師からのコメント

9ヶ月後です。
傷跡はほとんどわかりません。
下三白眼が悪化することなく、黒目の外側だけが下がっています。

この症例と同じ診療科目の
症例写真はこちら

垂れ目(パンダ目)形成(グラマラスライン/下眼瞼下制術)

20代女性の患者様で、つり目で目がややキツく見られるのが悩みでした。
また、目が小さいのも悩んでいらっしゃいました。
この方は、目と目の間隔がそれほど広くないため、目頭切開をすると、キツい目が強調されてしまうことがあるので、目尻切開で目を外側に広げ、同時にたれ目形成をすることになりました。
目尻切開はだいたい1.5mmくらい広げるのが限界なので、MAXまで広げ、たれ目形成は、外反(あかんべーの状態)しないように、約2mm下まぶたの外側を下げました。
たれ目形成と目尻切開を同時に行うと、たれ目形成を単独で行った場合に比べ、たれ目効果が大きくなります。
術後は目が一回り大きくなり、優しい印象の目になりました。

続きを見る

料金

片目
¥148,500(税込)
両目
¥275,000(税込)
高須幹弥医師の場合 片目
¥192,500(税込)
高須幹弥医師の場合 両目
¥385,000(税込)

銀座

横浜

名古屋

大阪

片目
¥148,500(税込)
両目
¥275,000(税込)
高須幹弥医師の場合 片目
¥192,500(税込)
高須幹弥医師の場合 両目
¥385,000(税込)

全院

「吊り目が気になる」というお悩みでご来院された患者様の症例をご紹介します。
術前の状態は、やや狭めの末広型の二重。
目尻側がキュッと上がって見えることで、全体的にクールな印象のお目元でした。
このような「吊り目」の印象をやわらげる方法として、タレ目形成手術(グラマラスライン)が選択肢の一つです。

結膜側(まぶたの裏側)からの切開アプローチで行いました。
皮膚表面には傷をつけず、まぶたの裏からアプローチすることで、涙袋の自然なふくらみを保ったまま、やさしい印象のタレ目に仕上げることができます。
実は、皮膚を切開するタイプのタレ目形成では、涙袋のボリュームが減ってしまうこともあります。
その点、皮膚を切らない術式なら、ナチュラルな目元の印象を損なわずに変化を加えられるのが魅力です。
さらに吊り目感を和らげるために、二重の幅も目頭側に広げる調整を行いました。
この「目頭側の幅を広げる」というのは、実は吊り目改善のための重要なポイントです。

手法としては、目頭切開という選択肢もありますが、二重幅のデザイン調整で対応しました。

クールな印象をやわらげたい方、つり上がった目元を優しい印象にしたい方には、タレ目手術と二重幅の調整の組み合わせをご検討ください。

続きを見る

料金

片目
¥148,500(税込)
両目
¥275,000(税込)
高須幹弥医師の場合 片目
¥192,500(税込)
高須幹弥医師の場合 両目
¥385,000(税込)

銀座

横浜

名古屋

大阪

片目
¥148,500(税込)
両目
¥275,000(税込)
高須幹弥医師の場合 片目
¥192,500(税込)
高須幹弥医師の場合 両目
¥385,000(税込)

全院

脂肪切除をする場合や埋没法の糸を抜去する場合の費用も含まれております。

20代女性の患者様で、二重の幅を広げて、尚且つタレ目形成をしたいというご要望でした。
診察させていただいたところ、二重のラインはあるのですが、幅がせまく、目尻側に少し幅が見えている以外はほぼ奥二重の状態でした。
また、目尻の位置がややつり上がり気味で、何となくつり目で目が小さい印象がありました。
患者様は、二重の幅を広げるのは切開法ではなく埋没法で希望されていたので、埋没法2針固定で、自然な範囲内で二重の幅を広げました。
同時にタレ目形成手術(グラマラスライン)も行いました。
タレ目形成手術は、黒目の真下が下がらないように、下まぶたの黒目の外側が自然な範囲内、安全な範囲内で下がるようにしました。
手術後は程よく自然な範囲内で二重の幅が広がり、下まぶたの外側が下がってつり目が改善し、華やかな印象になりました。
また、目が大きく見えるようになりました。

続きを見る

料金

片目
¥55,000(税込)
両目
¥99,000(税込)

全院

片目
¥99,000(税込)
両目
¥187,000(税込)

全院

片目
¥148,500(税込)
両目
¥275,000(税込)
高須幹弥医師の場合 片目
¥192,500(税込)
高須幹弥医師の場合 両目
¥385,000(税込)

銀座

横浜

名古屋

大阪

20代女性の患者様で、切開法で永久に取れない二重を作ることと、つり目でキツい印象を治したいということでした。
過去に二重まぶた埋没法やアイプチ、アイテープ、メザイクなどを繰り返していたため、まぶたの皮膚がシワシワになって、二重のラインらしき線が何本もでき、不自然になっていました。
二重まぶた全切開法を行い、同時にタレ目形成(グラマラスライン、下眼瞼下制術)を行いました。
二重まぶた全切開法は、アイプチでできたと思われる一番上のラインで切開し、切開ラインよりしたの皮膚を剥離し、内部処理を行うことにより、作る二重のラインの下のラインが消えるようにしました。
入っていた埋没法の糸は全て抜糸しました。
皮膚の切除や眼窩内脂肪、ROOFの脂肪取りはしていません。
タレ目形成は、下まぶたの外側を約2mm下がるようにしました。
完全なタレ目にはなっていませんが、目が大きくなって、つり目のキツい印象が和らいでいます。
タレ目形成でこれ以上下まぶたを下げると、外反してアカンベーの状態になったり、下三白眼になって不自然になることがあります。

続きを見る

料金

片目
¥148,500(税込)
両目
¥275,000(税込)
高須幹弥医師の場合 片目
¥192,500(税込)
高須幹弥医師の場合 両目
¥385,000(税込)

全院

脂肪切除をする場合や埋没法の糸を抜去する場合の費用も含まれております。

片目
¥148,500(税込)
両目
¥275,000(税込)
高須幹弥医師の場合 片目
¥192,500(税込)
高須幹弥医師の場合 両目
¥385,000(税込)

銀座

横浜

名古屋

大阪

20代女性の患者様で、小さい目がコンプレックスで、目を大きくしたいというご要望でした。
診察させていただいたところ、確かに目が小さく、眼球自体が小さい上に、骨格的に眼球の付いている位置が離れている状態でした。
まぶたの開きが良くないため、眼瞼下垂手術を行い、程よくまぶたの開きを改善することになりました。
患者様のご希望もあり、眼瞼下垂手術をする際に平行型二重を作ることになりました。
更に目を大きくするために、目頭切開とタレ目形成手術(グラマラスライン形成)も同時に行うことになりました。
目尻切開も同時に行うと更に目が大きくなるのですが、諸事情により、今回は目尻切開は行わないことになりました。
眼瞼下垂手術の際は、必要最小限の眼窩内脂肪は除去し、皮膚切除やROOF切除は必要がないので行いませんでした。
目頭切開はZ法に準じて行い、目頭の形が程よく尖ったまま2mm弱ずつ目を内側に広げました。
タレ目形成は、下まぶたの黒目の外側を約2mm下方向に下げ、余った下まぶたの皮膚を切除して縫合しました。
術後は一回り目が大きくなりました。
眼瞼下垂手術も目頭切開もタレ目形成も、物理的にはもっと目を大きくすることができるのですが、これ以上行ってしまうと不自然さが強くなって、かえってバランスが悪くなってしまうので、この程度が最善だと思います。

続きを見る

料金

片目
¥148,500(税込)
両目
¥275,000(税込)
高須幹弥医師の場合 片目
¥192,500(税込)
高須幹弥医師の場合 両目
¥385,000(税込)

全院

片目(通常の手術の場合)
¥385,000(税込)
両目(通常の手術の場合)
¥770,000(税込)
片目(筋膜移植の場合)
¥605,000(税込)
両目(筋膜移植の場合)
¥990,000(税込)

全院

片目
¥148,500(税込)
両目
¥275,000(税込)
高須幹弥医師の場合 片目
¥192,500(税込)
高須幹弥医師の場合 両目
¥385,000(税込)

銀座

横浜

名古屋

大阪

性別
年代
施術カテゴリ
診療科目
上記の施術科目と同時に行った診療科目
ドクター
 

※ 施術方法や施術の流れに関しましては、患者様ごとにあわせて執り行いますので、各院・各医師により異なります。予めご了承ください。
※ ホームページ上で掲載されている価格は税込表示となっております。
※ 当院で行う治療行為は保険診療適応外の自由診療になります。

施術方法は200種類以上

どんなお悩みでも
ご相談ください

当サイトは高須クリニック在籍医師の監修のもとで掲載しております。

お問い合わせ

高須クリニックお客様コールセンター

フリーダイヤル

0120-5587-10 0120-5587-35

電話受付時間:9:00〜21:00
※毎月1日の電話予約受付は9:30~21:00です
診療時間:10:00〜19:00

SNS
オフィシャルアカウント

  • 【高須クリニック】LINE公式アカウント
  • Youtube
  • Instagram
  • X(旧Twitter)
  • ブログ

全国の高須クリニックの
医院一覧