ボツリヌストキシン注射(目を下に大きくする、垂れ目形成)でグラマラスラインを作り、目を大きくした症例写真の術前術後画像
- 年代 / 性別
- 20代 / 女性
- 診療科目
- ボツリヌストキシン注射(目を下に大きくする、垂れ目形成)
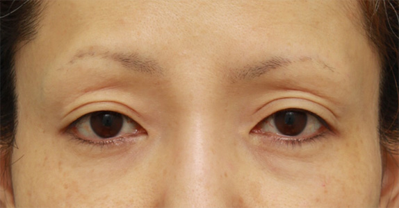
Before
After(1週間後)
術後の経過
注射前
注射前です。
ボツリヌストキシン注射をして、グラマラスラインを作ることになりました。
注射直後
注射直後です。
注入したぶんだけ軽く腫れていますが、冷やせばすぐに引きます。
2時間後
2時間後です。
もう腫れはほとんど引いています。
アイメイクしてお帰りいただけます。
1週間後
1週間後です。
下まぶたの外側がほどよく下がって目が大きくなり、華やかな印象になりました。
この症例と同じ診療科目の
症例写真はこちら
この症例の診療科目
ページはこちら
この施術を見た方は、以下の施術も見ています
※ 施術方法や施術の流れに関しましては、患者様ごとにあわせて執り行いますので、各院・各医師により異なります。予めご了承ください。
※ ホームページ上で掲載されている価格は税込表示となっております。
※ 当院で行う治療行為は保険診療適応外の自由診療になります。
施術方法は200種類以上
どんなお悩みでも
ご相談ください
当サイトは高須クリニック在籍医師の監修のもとで掲載しております。
担当医:高須幹弥 医師
さらに目を大きく見せたいというご希望だったので、今度はボツリヌストキシン注射をすることになりました。
下まぶたの外側の眼輪筋の下部に適量のボツリヌストキシンを注入し、眼輪筋の外側の緊張を緩めました。
注射後は、下まぶたの外側がほどよく下がり、そのぶん目が大きくなりました。
また、つり上がっていた下まぶたのラインが下がって、緩やかなカーブを描くようになり、綺麗なグラマラスラインになりました。
ボツリヌストキシン注射は、タレ目形成手術と違い、効果は永久的ではなく、6ヶ月程度でほぼ元に戻りますが、ダウンタイムはほぼ0で、当日からアイメイクもできるし、他人にバレることはまずないので、お試し感覚で気楽に受けることができます。
タレ目形成手術(グラマラスライン、下眼瞼下制術)を受けることを考えている人が、まず、お試しでボツリヌストキシン注射を受けることも多いです。
タレ目形成手術は、多くの場合、下まぶたが下がった分、余分に余る皮膚を切除するため、ボツリヌストキシン注射よりもすっきり感があります。
また、下まぶたのまつ毛を下向き気味にする効果もあり、下まぶたを下げる効果もボツリヌストキシン注射よりもあることが多いです。
両者の治療の結果は全く同じではありませんが、かなり似た効果ではあるため、タレ目形成手術の前にお試しでボツリヌストキシン注射をする価値はあります。