なみだ袋形成(ヒアルロン酸注射)の症例画像一覧
19 件の症例があります。
再検索する
※ 施術方法や施術の流れに関しましては、患者様ごとにあわせて執り行いますので、各院・各医師により異なります。予めご了承ください。
※ ホームページ上で掲載されている価格は税込表示となっております。
※ 当院で行う治療行為は保険診療適応外の自由診療になります。
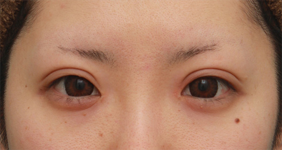
大きな涙袋をヒアルロン酸美容整形で作った症例写真
20代 / 女性
20代女性の患者様で、もともと小さな涙袋はあったのですが、もっと大きな涙袋が欲しいということでヒアルロン酸を注入しました。
涙袋のヒアルロン酸注射は、あまり入れ過ぎでしまうと目の下のクマやタルミのようになったり、「いかにもヒアルロン酸入れています」みたいな感じになることがあるので、初めてやる方はやや控えめにやることをご提案していますが、この方はやり過ぎなくらいしっかりと入れて欲しいというご要望でした。
最近は人気のあるアイドルやモデルでもやり過ぎなくらい涙袋にヒアルロン酸を入れて大きく膨らましている方がいらっしゃるため、その方達に憧れている患者様達は当然同じように大きな涙袋を希望されます。
流行の顔というのは、その時代においてカリスマとなっているアイドル、歌手、モデル達がテレビ、雑誌、ネットなどで活躍して形成されてゆくものです。
大きな涙袋をしているアイドルがカリスマになり、様々なメディアで活躍するようになれば、当然その大きな涙袋がその時代の流行の顔のパーツとなって、そのカリスマに憧れている女子達はその涙袋を目指します。
我々はプロなので、基本的に患者様のニーズに合わせて最善を尽くすように心掛けております。
患者様が大きな涙袋を望めば、満足いただけるよう全うさせていただきます。
しかし、涙袋ヒアルロン酸希望の患者様が全てこのような大きな涙袋を希望されているわけではないので、控えめな涙袋を希望されている方にはそれ相応の涙袋を作りますので御安心ください。
料金
| ヒアルロン酸 ¥110,000(税込) |
全院 |
リスク・副作用・合併症
なみだ袋形成(ヒアルロン酸注射)
20代女性の患者様で、涙袋を作りたいという御要望でした。
診察させていただいたところ、元々の涙袋はわずかにある程度でした。
大袈裟でわざとらしい涙袋は嫌で、自然な涙袋を希望されていたので、鏡で確認していただきながら、少しずつヒアルロン酸を注入させていただきました。
術後は程よく涙袋が膨らみ、自然にしあがりました。
涙袋は若さと笑顔の象徴であるため、ハツラツと明るい印象になりました。
料金
| ヒアルロン酸 ¥110,000(税込) |
全院 |
リスク・副作用・合併症
なみだ袋形成(ヒアルロン酸注射)
ミニ切開法で二重を作った後、ヒアルロン酸で大きめな涙袋を作った症例写真
20代 / 女性
20代女性の患者様で、以前に私がミニ切開法で、やや広めの平行型二重を作った方です。
もっと華やかな目になりたいとのことだったので、涙袋にヒアルロン酸注射をすることになりました。
ご本人様は、某アイドルくらいの大きな涙袋を希望されていたため、極端に膨らみ過ぎて不自然にならないように、鏡で確認していただきながら少しずつ注射しました。
注射後は、もともとあった涙袋が大きく膨らみ、華やかな目になりました。
大きな涙袋があるほうが、目の縦幅が広くなったように見え、目全体が大きくなったように見えます。
この方のように、もともと涙袋がある人にヒアルロン酸を注射するほうが、たくさん注入して膨らませることができます。
逆にもともと涙袋がない人は、ヒアルロン酸をいれるキャパシティーがあまりないため、たくさん注入するのが難しいです。
料金
| ヒアルロン酸 ¥110,000(税込) |
全院 |
リスク・副作用・合併症
なみだ袋形成(ヒアルロン酸注射)
20代女性の患者様で、埋没法で二重にしたいのと涙袋にヒアルロン酸を注射したいというご要望でした。
診察させていただいたところ、左目は末広型の二重でしたが、右目は一重でした。
患者様はやや幅広めの平行型二重にしたいというご要望だったので、埋没法2針固定で幅を広げて平行型二重を作りました。
涙袋は自然な範囲内で程よくヒアルロン酸を注入し、元々あった涙袋を膨らませて大きくしました。
術後は目が大きく見えるようになり、華やかな印象になりました。
料金
| 片目 ¥55,000(税込) |
|
| 両目 ¥99,000(税込) |
全院 |
| 片目 ¥99,000(税込) |
|
| 両目 ¥187,000(税込) |
全院 |
| ヒアルロン酸 ¥110,000(税込) |
全院 |
リスク・副作用・合併症
二重まぶた・埋没法
なみだ袋形成(ヒアルロン酸注射)
目の下のクマを脱脂術とヒアルロン酸の注入で改善した60代女性の症例写真
60代 / 女性
60代女性の患者様です。
最近「疲れているように見える」と言われることがあるとのことでした。
目の下のクマやたるみが目立って実年齢より老けて見えるのが気になり、メイクでも隠しきれないということで来院されました。
診察させていただいたところ、皮膚の弾力低下によるたるみが見受けられました。
また、眼窩脂肪(目の下のふくらみ)が前に突出してその下に影ができていました。
加えて、頬のボリュームが減少していることによりクマがより強調されていました。
このような目の下のクマやたるみには、いくつかの治療法が考えられます。
外科的治療としてはこのような施術があります。
(1)下眼瞼脱脂術(経結膜アプローチ):突出した眼窩脂肪を除去
(2)下眼瞼切開術:皮膚のたるみも同時に切除
(3)脂肪再配置術:余分な脂肪を凹みに移動させ、段差をなだらかに
非外科的治療としてはこのような施術があります。
(1)ヒアルロン酸注入:へこみにボリュームを補充して影を改善
(2)脂肪注入:皮膚の質感改善や色素沈着改善
(3)レーザー治療:血管拡張や色素沈着によるクマにアプローチ
そして、施術選択のポイントには次のようなものがあります。
(1)脂肪の突出が強い場合 → 脱脂術や脂肪再配置が有効
(2)皮膚のたるみが目立つ場合 → 下眼瞼切開でのたるみ除去
(3)軽度の凹み・影の場合 → ヒアルロン酸や脂肪注入で改善
こちらの患者様は、外科的治療の下眼瞼脱脂術と非外科的治療のヒアルロン酸注入の両方を行いました。
この施術によって、目元がすっきりして疲れて見えてしまう印象が改善しました。
また、自然で明るい印象になり、メイクもしやすくなると思います。
料金
| ヒアルロン酸 1本 ¥110,000(税込) |
|
| ベビーコラーゲン 1本 ¥143,000(税込) |
|
| 脂肪除去 目の下(片目) ¥275,000(税込) |
|
| 脂肪除去 目の下(両目) ¥550,000(税込) |
|
| サーマクールアイFLX 1回 ¥165,000(税込) |
|
| イタリアンリフトファイン 目の下(10本) ¥110,000(税込) |
|
| イタリアンリフトファイン 顔全体(30本) ¥330,000(税込) |
全院 |
リスク・副作用・合併症
なみだ袋形成(ヒアルロン酸注射)
目の下(下瞼)の脂肪取り
涙袋ヒアルロン酸注射を行った20代女性の症例写真
20代 / 女性
20代女性の患者様で、涙袋のヒアルロン酸注射を希望されていました。
診察させていただいたところ、笑顔を作ると多少涙袋の膨らみができるのですが、真顔の状態だとほとんど涙袋はありませんでした。
患者様のご要望で、ヒアルロン酸注射ではっきりとした涙袋を作ることになりました。
麻酔のクリームを下まぶたの皮膚に塗った後、極細の注入針で涙袋にヒアルロン酸を注入していきました。
注射後は程よい大きさの涙袋ができ、華やかな印象の目になりました。
料金
| ヒアルロン酸 ¥110,000(税込) |
全院 |
リスク・副作用・合併症
なみだ袋形成(ヒアルロン酸注射)
ヒアルロン酸注射でやや大きめな涙袋を作った症例写真
20代 / 女性
20代女性の患者様で、涙袋のヒアルロン酸注射を希望されていました。
診察させていただいたところ、元の涙袋はわずかしかなく、少し眼輪筋の盛り上がりがある程度でした。
患者様はやや大きめの涙袋を希望されていました。
少しずつ涙袋にヒアルロン酸を注入していき、その都度患者様に鏡で確認していただきました。
約0.2ccずつ左右の涙袋にヒアルロン酸が注入された時点で終了になりました。
注射後は患者様の希望通りのやや大きめの涙袋になり、8ヶ月後でも注入したヒアルロン酸は十分に残っていました。
もう涙袋メイクをしなくてもしっかりした涙袋がある状態になりました。
料金
| ヒアルロン酸 ¥110,000(税込) |
全院 |
リスク・副作用・合併症
なみだ袋形成(ヒアルロン酸注射)
20代女性の患者様で、涙袋のヒアルロン酸注射を希望されていました。
診察させていただいたところ、元々小さな涙袋はあるのですが、盛り上がりが少ない状態でした。
患者様はやや大きめのはっきりとした涙袋を希望されていたので、ヒアルロン酸注射でやや大きめの涙袋を作ることになりました。
ヒアルロン酸を注射する際は、少しずつ注入し、その都度患者様に鏡で確認していただくようにしました。
左右の涙袋に約0.25ccずつ注入した時点で患者様に納得していただき、完了しました。
腫れが引いた後も、はっきりとしたメリハリのある大きめの涙袋を維持できています。
料金
| ヒアルロン酸 ¥110,000(税込) |
全院 |
リスク・副作用・合併症
なみだ袋形成(ヒアルロン酸注射)
20代女性の患者様で、涙袋を作りたいというご要望でした。
診察させていただいたところ、笑っていない真顔の状態だと、ほとんど涙袋が見られませんでした。
笑うと、涙袋を構成する下眼瞼の眼輪筋が適度に収縮して盛り上がり、涙袋が現れる状態でした。
ヒアルロン酸注射で涙袋を膨らませることになったのですが、患者様はある程度しっかりした涙袋が欲しいというご希望であり、私がいつもやっている通り、少しずつヒアルロン酸を注入し、その都度鏡で確認していただくようにしました。
適度に硬さがある涙袋専用のヒアルロン酸を少しずつ注入して、患者様にその都度鏡で確認していただき、お話ししながら施術しました。
患者様が納得される形になるように涙袋を作り、治療を終了しました。
治療後は、程よく張りのある大きさの涙袋になりました。
適度に硬さがあるヒアルロン酸を使用したため、軟らか過ぎるヒアルロン酸で行った場合に比べ、下に広がらないで、過度に縦幅が広すぎない涙袋になりました。
料金
| ヒアルロン酸 ¥110,000(税込) |
全院 |
リスク・副作用・合併症
なみだ袋形成(ヒアルロン酸注射)
20代女性の患者様で、涙袋を作りたいというご要望でした。
診察させていただいたところ、多少涙袋はあるのですが、それほど大きくありませんでした。
また、ややつり目で、少しキツい印象の目をしてらっしゃいました。
元々ある小さい涙袋にヒアルロン酸を注射して、涙袋を大きくすることになりました。
涙袋専用のヒアルロン酸を約0.2ccずつ注入しました。
注射後はぷりっと張りのある綺麗な涙袋ができ、優しい印象の目になりました。
涙袋は若さと笑顔の象徴であるため、涙袋を膨らませて大きくすると、キツい印象の目が優しくなります。
また、高須クリニックで使っている涙袋専用のヒアルロン酸は、下まぶたの薄い皮膚を綺麗に膨らませることができる適度な大きさの粒子で、適度な密度で充填されています。
そのため、自然で張りのある涙袋を作ることができ、流れたり広がったりして、縦幅の広い不自然な涙袋になることはありません。
料金
| ヒアルロン酸 ¥110,000(税込) |
全院 |
リスク・副作用・合併症
なみだ袋形成(ヒアルロン酸注射)
涙袋ヒアルロン酸注射2回目の腫れが引いていくダウンタイム経過症例
20代 / 女性
20代女性の患者様で、数ヶ月前に涙袋にヒアルロン酸を入れたのですが、また入れたいというご要望でした。
診察させていただいたところ、前回注入したヒアルロン酸はまだ大部分(7~8割くらい)が残っていました。
患者様は、
「前回は初めての涙袋ヒアルロン酸注射で、やり過ぎて不自然になるのが嫌だったので、気持ち控え目気味で注入してもらって、それでも満足していました」
「でも、しばらくして見なれてくると、なんだか物足りなく感じて、欲が出てしまい、もっと注入したくなりました」
と仰っていました。
患者様に鏡で確認していただきながら、前回同様、涙袋専用の広がらないヒアルロン酸を注入していきました。
約0.2ccずつ追加注入しました。
術後は涙袋がさらに大きくなりました。
鼻でも顎でも唇でも涙袋でも、ヒアルロン酸注射をして良くなると、しばらくは満足しても、見なれてくると、物足りなくなって、追加注入したくなることはよくあります。
あまりたくさん注入すると不自然になることもあるので、カウンセリングでしっかりと話し合ってから追加するかどうか決めるのが良いです。
料金
| ヒアルロン酸 ¥110,000(税込) |
全院 |
リスク・副作用・合併症
なみだ袋形成(ヒアルロン酸注射)
あまり気づかれないようにわずかに涙袋ヒアルロン酸注射をした症例写真
20代 / 女性
20代女性の患者様で、涙袋がほしいというご要望でした。
診察させていただいたところ、元々わずかに涙袋の膨らみはあるのですが、笑っていない状態だと、ほとんどありませんでした。
患者様は、「よく芸能人でいるやりました候みたいなバレバレの涙袋みたいになるのは嫌で、周りに気づかれないように自然な涙袋にしたい」というご希望だったので、左右の下まぶたに、涙袋専用のヒアルロン酸を約1.5ccずつ注射しました。
術後は、程よい自然な涙袋ができました。
涙袋ヒアルロン酸は、やり過ぎると、涙袋が目の下のたるみのようになって、老けて見えたり、クマのようになってしまうことがあります。
また、いくら仕上がりが自然でも、変化が大きすぎると、友人や職場の人に、プチ整形したことがバレてしまうことがあります。
この患者様のように、わずかにヒアルロン酸注射して膨らませるくらいなら、涙袋メイクで涙袋を作るのと同じくらいの変化なので、友人や職場の人にもバレにくいです。
料金
| ヒアルロン酸 ¥110,000(税込) |
全院 |
リスク・副作用・合併症
なみだ袋形成(ヒアルロン酸注射)
かなり大きめの涙袋をヒアルロン酸注射で作った症例写真
20代 / 女性
20代女性の方で、元々そこそこ涙袋はあったのですが、ヒアルロン酸注射をして、もっと大きな涙袋を作ることを望んでいらっしゃいました。
かなり目立つくらいの涙袋を希望されていたので、通常より多めにヒアルロン酸を注入しました。
この涙袋を見て、良いと思うか良くないと思うかは意見が別れるところだと思いますが、我々はプロなので、原則として、患者様の望むものを作り、満足していただくことを第一としております。
涙袋のヒアルロン酸注射は、どちらかというと、元々涙袋があまりない人よりも、この方のように涙袋がそこそこある人の方がヒアルロン酸を入れるキャパシティーが大きいため、しっかりと大きくすることができます。
逆に、元々涙袋がない人は、極端にヒアルロン酸をたくさん注入すると、綺麗に仕上がらないことがあるので、控えめにすることをご検討ください。
料金
| ヒアルロン酸 ¥110,000(税込) |
全院 |
リスク・副作用・合併症
なみだ袋形成(ヒアルロン酸注射)
鼻と涙袋のヒアルロン酸注射プチ整形症例写真
20代 / 女性
20代の女性の方です。
鼻根部(鼻の目と目の間の部分)がやや低く、目と目が離れて見えたので、ヒアルロン酸を1本(1cc)注入しました。
鼻根部が高くなったことによって綺麗に鼻筋が通りました。
また、目が離れて見えていたのが少し解消しました。
実際には目は内側に寄っていないのですが、目と目の間に立体的な鼻根ができると、目の錯覚で目が内側に大きくなったように見えます。
涙袋は元々ほとんどなかったので、両目にごくわずかだけヒアルロン酸を注入しました。
涙袋をつくるメリットは3つあり、目が大きく見える、爽やかで明るい笑顔になる、ハツラツとして見えるということです。
料金
| ヒアルロン酸 ¥110,000(税込) |
全院 |
リスク・副作用・合併症
なみだ袋形成(ヒアルロン酸注射)
涙袋ヒアルロン酸症例写真
20代 / 女性
20代の女性で、元々小さな涙袋はあったのですが、もっと大きくしたいということでヒアルロン酸を左右に0.15mlずつ注入しました。
涙袋のヒアルロン酸注射は、注入すればするだけ膨らむわけですが、やればやるだけ良くなるというものではなく、やり過ぎると目袋(老人に見られる目の下のたるみ)のようになってしまいますので、やり過ぎないことが大切です。
また、涙袋専用の粒子の細かいヒアルロン酸を用いていますので、目の下の皮膚の薄いところでもきれいになじんで、凸凹になったり、膨らみ過ぎてしまうことはありません。
私の経験では、涙袋にヒアルロン酸を注射した場合、注入する量にもよりますが、他の部位に比べて長く持続する印象があり、注射して1~2年経ってもまだかなりのヒアルロン酸が残っている方が多いです。
涙袋というのは、若い時にあって齢をとるとなくなるもので、また、笑ったときに膨らんで、笑っていないとしぼむものです。
そのため、涙袋をつくるとハツラツと笑顔あふれる明るい顔に見られるようになります。
料金
| ヒアルロン酸 ¥110,000(税込) |
全院 |
リスク・副作用・合併症
なみだ袋形成(ヒアルロン酸注射)
笑顔の似合うイケメンたちは、よく見ると皆、なみだ袋があります。この方は20代の男性で、メンズファッション雑誌のモデルやジャニーズ系タレントに憧れ、やや大きめのなみだ袋を希望されました。
たっぷりヒアルロン酸を注入したことで、明るく表情あふれる目もとに。イメージ通りの仕上がりに、にっこりと微笑んでくださいました。
料金
| ヒアルロン酸 ¥110,000(税込) |
全院 |
リスク・副作用・合併症
なみだ袋形成(ヒアルロン酸注射)
なみだ袋形成(ヒアルロン酸注射)の症例 ヒアルロン酸注入
20代 / 女性
料金
| ヒアルロン酸 ¥110,000(税込) |
全院 |
リスク・副作用・合併症
なみだ袋形成(ヒアルロン酸注射)
しっかりとした二重の目ですが、ご本人はなんとなく淋しい顔立ちだと感じていました。愛くるしい印象になりたいということで、物足りなかった目もとになみだ袋をつくることになったのです。
なみだ袋は、若いときにはあっても年齢とともになくなっていくもの。また、笑顔になると強調されるもの。ほんの少しでもなみだ袋があると、ハツラツと笑顔があふれた印象になります。
料金
| ヒアルロン酸 ¥110,000(税込) |
全院 |
リスク・副作用・合併症
なみだ袋形成(ヒアルロン酸注射)
ヒアルロン酸による涙袋形成の患者様をご紹介します。
涙袋は目の縦幅を大きく見せる効果や、中顔面を短縮させる効果があり、メイクで毎日描いている方もいらっしゃると思います。
涙袋にヒアルロン酸を入れることによってはっきりとした涙袋を作ることができます。
似合うデザインは普段のメイクによっても変わってきます。
また一般的に笑うと涙袋が強調されるため、真顔と笑顔の両方でいい仕上がりになるようバランスをとる必要もあります。
施術の際には、少量ずつ注入し都度患者さんに確認していただき、最適なデザインをご相談しながらすすめます。
患者様ははっきりした目元メイクをされるとのことで、しっかりめのデザインになっています。普段涙袋メイクをされる方にこそご検討いただきたい施術です。
料金
| ヒアルロン酸 ¥110,000(税込) |
全院 |
リスク・副作用・合併症
なみだ袋形成(ヒアルロン酸注射)
施術方法は200種類以上
どんなお悩みでも
ご相談ください
当サイトは高須クリニック在籍医師の監修のもとで掲載しております。



