その人の目に一番合ったラインで二重まぶた全切開法をした症例写真
- 年代 / 性別
- 20代 / 女性
- 診療科目
- 二重まぶた・全切開法
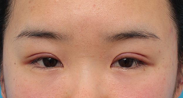
Before
After(7ヶ月後)
After(7ヶ月後の目を閉じた状態)
料金
| 二重まぶた・全切開法 | 片目 ¥148,500(税込) |
|
| 両目 ¥275,000(税込) |
|
|
| 高須幹弥医師の場合 片目 ¥192,500(税込) |
|
|
| 高須幹弥医師の場合 両目 ¥385,000(税込) |
全院 |
脂肪切除をする場合や埋没法の糸を抜去する場合の費用も含まれております。
リスク・副作用・合併症
二重まぶた・全切開法
術後の経過
手術前
手術前です。
二重まぶた全切開法で、この患者様の目に合った、一番自然な二重を作ることになりました。
手術直後
手術直後です。
局所麻酔注射などの影響で腫れていますが、必ず引くので心配ありません。
手術直後の目を閉じた状態です。
広すぎないラインで切開したため、全切開法の中でも若干短めの切開です。
6日後
6日後です。
抜糸をしました。
内出血は出ていません。
腫れのため、二重の幅が広いです。
6日後の目を閉じた状態です。
少し傷が食い込んでいます。
3週間後
3週間後です。
大きな腫れは引いていますが、まだまだ腫れています。
3週間後の目を閉じた状態です。
まだ少し傷の赤みがあります。
3ヶ月後
3ヶ月後です。
まだわずかに腫れています。
3ヶ月後の目を閉じた状態です。
傷の赤みはほとんど引いていますが、わずかに食い込んでいます。
7ヶ月後
7ヶ月後です。
ほぼ完全に腫れは引き、完成です。
7ヶ月後の目を閉じた状態です。
傷跡はシワと同化して、ほとんどわかりません。
赤みも完全に引いています。
この症例と同じ診療科目の
症例写真はこちら
この症例の診療科目
ページはこちら
この施術を見た方は、以下の施術も見ています
※ 施術方法や施術の流れに関しましては、患者様ごとにあわせて執り行いますので、各院・各医師により異なります。予めご了承ください。
※ ホームページ上で掲載されている価格は税込表示となっております。
※ 当院で行う治療行為は保険診療適応外の自由診療になります。
施術方法は200種類以上
どんなお悩みでも
ご相談ください
当サイトは高須クリニック在籍医師の監修のもとで掲載しております。


担当医:高須幹弥 医師
診察させていただいたところ、左右共に狭い二重のラインがあり、ほぼ奥二重のようになっていました。
患者様は、自分の目に合った自然な二重にしたいというご要望でした。
目を閉じた状態で7mmくらいの位置で二重のラインを作ると、二重のラインの下の皮膚がぷっくりせず、まつ毛の生え際に二重のラインの下の皮膚が被さらないで、まつ毛の生え際が見えました。
黒目が最も大きく露出し、眠たそうな目にもならなかったので、このラインで二重を作ることになりました。
このラインは、埋没法でも切開法でも可能ですが、患者様は、「埋没法は糸が緩んで、いつか元に戻ってしまうので、切開法でやりたい」というご希望だったので、切開法で行うことになりました。
手術は二重まぶた全切開法に準じて、2cm程度の切開線で内部処理を行い、二重のラインを作りました。
皮膚切除、眼窩内脂肪の除去、ROOF切除は必要がないので行いませんでした。
手術後は、蒙古襞の中に目頭側の二重のラインが入る自然な末広型二重になりました。
この患者様は、元のまぶたの皮膚が厚くなく、作った二重のラインも広くないので、目を閉じた状態での傷跡の食い込みもほとんどなく、ほぼ平らになりました。