対象クリニックアイコンの凡例

:銀座高須クリニック
:横浜院
:名古屋院
:栄院
:大阪院
全院
:全院
年代 / 性別
20代 / 女性
診療科目
二重まぶた・ミニ切開法(部分切開)
二重まぶた・ミニ切開法(部分切開),ミニ切開法で狭い平行型二重から広い平行型二重にした症例写真,Before,ba_sekkai14_b.jpg

Before

二重まぶた・ミニ切開法(部分切開),ミニ切開法で狭い平行型二重から広い平行型二重にした症例写真,After(3ヶ月後),ba_sekkai14_b.jpg

After(3ヶ月後)

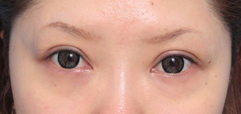
この方は20代の女性で、元々狭い平行型の二重があり、自然でそれなりによかったのですが、目を開けた状態で見た目の二重の幅が1mm程しかなく、アイラインを書くとほとんど一重のようになってしまうのが不満で、御本人様は幅の広い平行型に憧れており、手術することになりました。
埋没法でも幅の広い平行型はつくれるのですが、広い二重だと元に戻りやすいということと、切開した方がはっきりした二重になるので切開法を選択しました。
それほどまぶたの腫れぼったさはなかったので、全切開法ではなく、よりダウンタイムの少ないミニ切開法で行いました。
術後は見た目の二重の幅が3mm程になり、しっかりとアイラインを書いてもまだ二重の肌色の部分が出るくらいになり、術前と比べても目が大きく見えるようになりました。
術前の狭い平行型と、術後の広い平行型を比べて、どちらが好きかと言われると好みが分かれるところです。
最近の若い女の子の間では広い平行型の方が人気がありますね。

料金

二重まぶた・ミニ切開法(部分切開) 片目
¥148,500(税込)
両目
¥275,000(税込)
高須幹弥医師の場合 片目
¥192,500(税込)
高須幹弥医師の場合 両目
¥385,000(税込)

全院

脂肪切除をする場合や埋没法の糸を抜去する場合の費用も含まれております。

リスク・副作用・合併症

術後の経過

手術前

二重まぶた・ミニ切開法(部分切開),ミニ切開法で狭い平行型二重から広い平行型二重にした症例写真,手術前,mainpic_sekkai08a.jpg
高須幹弥医師からのコメント

手術前です。
元々、狭い平行型二重の方です。

手術直後

二重まぶた・ミニ切開法(部分切開),ミニ切開法で狭い平行型二重から広い平行型二重にした症例写真,手術直後,mainpic_sekkai08b.jpg
高須幹弥医師からのコメント

手術直後です。
腫れていて二重の幅が広くなっています。広い二重をつくる方が腫れが目立ちます。

1週間後

二重まぶた・ミニ切開法(部分切開),ミニ切開法で狭い平行型二重から広い平行型二重にした症例写真,1週間後,mainpic_sekkai08c.jpg
高須幹弥医師からのコメント

1週間後の抜糸直後です。
まだ少し腫れがあり、若干二重の幅が広いです。抜糸した翌日からアイメイクができるようになります。

3ヶ月後

二重まぶた・ミニ切開法(部分切開),ミニ切開法で狭い平行型二重から広い平行型二重にした症例写真,3ヶ月後,mainpic_sekkai08d.jpg
高須幹弥医師からのコメント

3ヶ月後です。
ほとんど腫れは引いています。平行型のまま二重の幅が広くなり、術前より目が大きく見えるようになりました。

この症例と同じ診療科目の
症例写真はこちら

二重まぶた・ミニ切開法(部分切開)

20代女性の患者様で、二重まぶたミニ切開法で永久に戻らない二重を希望されていました。
また、目を開けた状態で、奥二重のようになるのは嫌で、ちゃんと二重の幅がでるようにして欲しいという御要望でした。
重瞼棒で色々シミュレーションして鏡で確認していただいたところ、少し幅が見えているくらいの二重まぶたを希望されたので、その位置でミニ切開法をしました。
ミニ切開法なので、皮膚の切除はしてません。
眼窩内脂肪やROOFなどは切除しておりません。
この方は、蒙古襞がそれほど発達していなかったので、この幅で二重を作ると、まぶたのシワの流れの関係で、作った二重のラインが蒙古襞を乗り越える形になり、必然的に平行型二重になりました。
患者様は目頭切開をすることなく、程よく幅の狭い平行型二重になりました。

続きを見る

料金

片目
¥148,500(税込)
両目
¥275,000(税込)
高須幹弥医師の場合 片目
¥192,500(税込)
高須幹弥医師の場合 両目
¥385,000(税込)

全院

脂肪切除をする場合や埋没法の糸を抜去する場合の費用も含まれております。

蒙古ひだが内側に大きく張り出して、目と目の間が広く見えていました。また、幅の狭い末広タイプの二重でしたが、幅の広い平行タイプを希望。目頭切開によって目と目の間隔のバランスがよくなり、ミニ切開法によって目がパッチリとしました。
術前と比べると、違いは一目瞭然。とても目力のある魅力的な目もとになりました。

続きを見る

料金

片目
¥148,500(税込)
両目
¥275,000(税込)
高須幹弥医師の場合 片目
¥192,500(税込)
高須幹弥医師の場合 両目
¥385,000(税込)

全院

脂肪切除をする場合や埋没法の糸を抜去する場合の費用も含まれております。

片目
¥148,500(税込)
両目
¥275,000(税込)
高須幹弥医師の場合 片目
¥192,500(税込)
高須幹弥医師の場合 両目
¥385,000(税込)

全院

まぶたに脂肪が多く、厚みがあった方です。まぶたの皮膚が目にかぶさっている奥二重でした。
埋没法ではまぶたの厚みまで変えることはできませんが、ミニ切開法なら余分な脂肪を取り除いてスッキリと。ご希望だった幅の狭い末広タイプ、正統派美少女風のくっきりはっきりとした目に仕上がりました。
以前は目を大きく見せるために眉を引き上げて見開いていましたが、目が大きくなったことで眉を引き上げることもなくなりました。このため眉毛から目にかけてのバランスも美しく整い、より美しい目もとになりました。
いつも眠たそうに見られていた表情がはっきりし、明るく可愛らしく。ミニ切開法なら元に戻る心配もなく、半永久的にこの美しい目でいられます。

続きを見る

料金

片目
¥148,500(税込)
両目
¥275,000(税込)
高須幹弥医師の場合 片目
¥192,500(税込)
高須幹弥医師の場合 両目
¥385,000(税込)

全院

脂肪切除をする場合や埋没法の糸を抜去する場合の費用も含まれております。

ほぼ腫れは引いています。
今人気のちょっと広めの平行型二重なりました。

続きを見る

料金

片目
¥148,500(税込)
両目
¥275,000(税込)
高須幹弥医師の場合 片目
¥192,500(税込)
高須幹弥医師の場合 両目
¥385,000(税込)

全院

脂肪切除をする場合や埋没法の糸を抜去する場合の費用も含まれております。

20代男性の患者様で、二重まぶた手術希望で来院されました。
初対面の人が見て、整形したことが分からないような、自然な二重にしたいというご要望でした。
また、永久に戻らない二重を希望されていたので、二重まぶたミニ切開法で、目を開けた状態でわずかに二重の幅が見える自然な二重を作ることになりました。
やや蒙古襞が発達しているため、狭い二重を作ったことにより、目頭側の二重は蒙古襞の中に入り、必然的に末広型の二重になりました。
ミニ切開法であるため、皮膚の切除はしていません。
眼窩内脂肪は適度に除去しましたが、ROOFは切除していません。
術後は、患者様の希望通り、整形したことが分からない、自然で、この患者様に合った二重になりました。
男性は、女性と異なり、ほとんどの人は化粧をしないので、幅の広い二重を作ると、整形っぽくなってしまうことがあります。
まだ、蒙古襞が発達している人や、まぶたの厚い人に、無理して平行型二重を作った場合も、整形っぽくなってしまうことが多いです。
整形していることがバレたくない人は、変な欲は出さず、自分の顔に合った、幅の狭い二重の作るほうが良いことが多いです。

続きを見る

料金

片目
¥148,500(税込)
両目
¥275,000(税込)
高須幹弥医師の場合 片目
¥192,500(税込)
高須幹弥医師の場合 両目
¥385,000(税込)

全院

脂肪切除をする場合や埋没法の糸を抜去する場合の費用も含まれております。

この症例の診療科目
ページはこちら

性別
年代
施術カテゴリ
診療科目
上記の施術科目と同時に行った診療科目
ドクター
 

※ 施術方法や施術の流れに関しましては、患者様ごとにあわせて執り行いますので、各院・各医師により異なります。予めご了承ください。
※ ホームページ上で掲載されている価格は税込表示となっております。
※ 当院で行う治療行為は保険診療適応外の自由診療になります。

施術方法は200種類以上

どんなお悩みでも
ご相談ください

当サイトは高須クリニック在籍医師の監修のもとで掲載しております。

お問い合わせ

高須クリニックお客様コールセンター

フリーダイヤル

0120-5587-10 0120-5587-35

電話受付時間:9:00〜21:00
※毎月1日の電話予約受付は9:30~21:00です
診療時間:10:00〜19:00

SNS
オフィシャルアカウント

  • 【高須クリニック】LINE公式アカウント
  • Youtube
  • Instagram
  • X(旧Twitter)
  • ブログ

全国の高須クリニックの
医院一覧