他院で行った二重まぶた全切開法に対して、再び全切開法をして二重の幅を広く修正した症例写真
- 年代 / 性別
- 20代 / 女性
- 診療科目
- 二重まぶた・全切開法 / 他院で受けた手術の修正(二重まぶた・目もと)
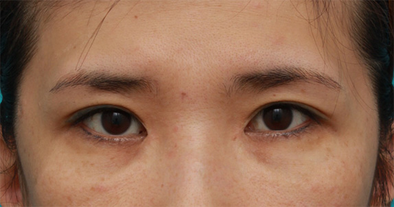
Before
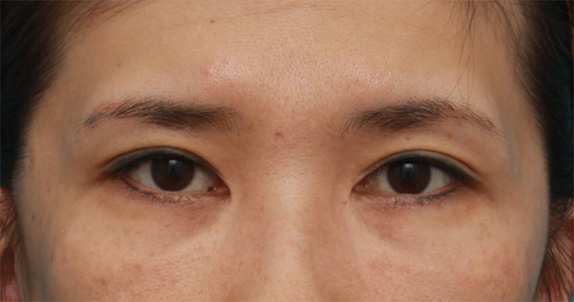
After(メイクなし・目を開けた状態)
After(メイクなし・目を閉じた状態)
After(メイクあり)
(6ヶ月後)
※施術後(After)のメイクあり写真について
女性の目もとの施術はメイクをすることを前提に行うことが多くなっております。
そのため、当院ではこれから施術を受けていただく方への参考として、メイクをしていない施術前後(Before/After)の写真のほか、 施術後(After)のメイクをしている写真も掲載しております。
術後の経過
手術前
修正手術前です。
他院にて全切開法で二重を作っています。
再び全切開法をして、二重の幅を広げ、左右差を修正することになりました。
手術直後
手術直後です。
麻酔の影響で腫れています。
1週間後
1週間後です。
抜糸をしました。
6ヶ月後
6ヶ月後(メイクなし)です。
腫れはほぼ完全に引きました。
6ヶ月後の目を閉じた状態です。
右は他院での切開線の3mm上で、左は2mm上で切開したため、傷が2本になっていますが、他院での切開線の癒着は外しているため、それほど傷跡は目立ちません。
6ヶ月後(メイクあり)です。
※施術後(After)のメイクあり写真について
女性の目もとの施術はメイクをすることを前提に行うことが多くなっております。
そのため、当院ではこれから施術を受けていただく方への参考として、メイクをしていない施術前後(Before/After)の写真のほか、 施術後(After)のメイクをしている写真も掲載しております。
この症例と同じ診療科目の
症例写真はこちら
この症例の診療科目
ページはこちら
この施術を見た方は、以下の施術も見ています
※ 施術方法や施術の流れに関しましては、患者様ごとにあわせて執り行いますので、各院・各医師により異なります。予めご了承ください。
※ ホームページ上で掲載されている価格は税込表示となっております。
※ 当院で行う治療行為は保険診療適応外の自由診療になります。
施術方法は200種類以上
どんなお悩みでも
ご相談ください
当サイトは高須クリニック在籍医師の監修のもとで掲載しております。



担当医:高須幹弥 医師
右は目を閉じた状態で約6mmの位置に、左は7mmの位置に切開線があり、やや左右差がありました。
ご本人様は、二重の幅に左右差があることと、思ったより目を開けた状態での二重の幅が狭かったため、アイラインを引くと奥二重のようになってしまうのが悩みでした。
手術は、前回の切開線の上で再び全切開法を行い、二重の幅を広げて、尚且つ左右差を治す修正手術をすることになりました。
右は前回の切開線の3mm上で、左は2mm上で切開し、前回の切開線の癒着を外し、新たに内部処理を行い、新しく二重のラインを作成しました。
術後は左右差はほとんどなくなり、目を開けた状態で約2.5mm二重の幅が見えるようになって、アイラインを引いても奥二重のようにならなくなりました。
目を閉じた状態で傷が2本になっていますが、他院での切開線の癒着は外しているため、それほど傷跡は目立ちません。