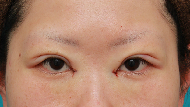
目頭切開+二重まぶた全切開法でほぼ奥二重の末広型にした症例写真
- 年代 / 性別
- 20代 / 女性
- 診療科目
- 二重まぶた・全切開法 / 目頭切開
Before
After(6ヶ月後)
Before
After(6ヶ月後)
料金
| 二重まぶた・全切開法 | 片目 ¥148,500(税込) |
|
| 両目 ¥275,000(税込) |
|
|
| 高須幹弥医師の場合 片目 ¥192,500(税込) |
|
|
| 高須幹弥医師の場合 両目 ¥385,000(税込) |
全院 |
脂肪切除をする場合や埋没法の糸を抜去する場合の費用も含まれております。
| 目頭切開 | 片目 ¥148,500(税込) |
|
| 両目 ¥275,000(税込) |
|
|
| 高須幹弥医師の場合 片目 ¥192,500(税込) |
|
|
| 高須幹弥医師の場合 両目 ¥385,000(税込) |
全院 |
リスク・副作用・合併症
二重まぶた・全切開法
目頭切開
術後の経過
手術前
手術前です。
蒙古襞が強く張っている一重まぶたです。
目が細くてキツい印象が強いです。
目頭切開+二重まぶた全切開法をすることになりました。
手術直後
手術直後です。
強い腫れがあります。
1週間後
1週間後です。
抜糸をしました。
抜糸した翌日からアイメイクすることが可能です。
3週間後
3週間後です。
大きな腫れは引いていますが、まだ完成ではありません。
2ヶ月後
2ヶ月後です。
だいぶ腫れは引きました。
6ヶ月後
6ヶ月後です。
ほぼ完全に腫れが引き、完成です。
目尻側だけ少し幅が見えるほぼ奥二重の末広型っぽい二重になりました。
この症例と同じ診療科目の
症例写真はこちら
この症例の診療科目
ページはこちら
この施術を見た方は、以下の施術も見ています
※ 施術方法や施術の流れに関しましては、患者様ごとにあわせて執り行いますので、各院・各医師により異なります。予めご了承ください。
※ ホームページ上で掲載されている価格は税込表示となっております。
※ 当院で行う治療行為は保険診療適応外の自由診療になります。
施術方法は200種類以上
どんなお悩みでも
ご相談ください
当サイトは高須クリニック在籍医師の監修のもとで掲載しております。

担当医:高須幹弥 医師
診察させていただいたところ、一重まぶたで、まぶたの皮膚が大きくかぶり、非常に細い目をしていました。
また、蒙古襞が下方向に強く張っており、キツい印象をしていました。
患者様は、「自分の目に合った自然な二重まぶたにしたく、整形っぽくなるのは嫌」という御要望でした。
手術は目頭切開Z法と二重まぶた全切開法をすることになりました。
目頭切開Z法で蒙古襞の突っ張りを解除し、内側に1.5mmづつ目が大きくなるようにしました。
二重まぶた全切開法は末広型っぽい奥二重になるようにデザインし、この患者様の目に合った自然な二重になるようにしました。
二重まぶた全切開法では、適度に眼窩内脂肪を切除し、皮膚切除、ROOF切除は行っておりません。
術後は細くてキツい印象の目が丸く大きな目になり、優しい印象になりました。
この患者様のようなまぶたの開きが良い目には、このような末広型っぽい奥二重が最も自然に仕上がります。
もし、目を開けた状態で二重の幅が見えるようにデザインすると、二重のラインの下の皮膚がぷっくりとふくらみ、まつ毛の生え際に被さり、やや不自然な目になります。