二重まぶた全切開法+目尻切開+タレ目形成(グラマラスライン)+目の下脂肪取りで目の印象を変えた症例写真の術前術後画像
対象クリニックアイコンの凡例
- 銀
- :銀座高須クリニック
- 横
- :横浜院
- 名
- :名古屋院
- 栄
- :栄院
- 大
- :大阪院
- 全院
- :全院
- 年代 / 性別
- 20代 / 女性
- 診療科目
- 二重まぶた・全切開法 / 目尻切開 / 目の下の脂肪取り / 垂れ目(パンダ目)形成(グラマラスライン/下眼瞼下制術)
Before
After(目を開けた状態)
After(目を閉じた状態)
After(メイクあり)
(6ヶ月後)
※施術後(After)のメイクあり写真について
女性の目もとの施術はメイクをすることを前提に行うことが多くなっております。
そのため、当院ではこれから施術を受けていただく方への参考として、メイクをしていない施術前後(Before/After)の写真のほか、 施術後(After)のメイクをしている写真も掲載しております。
料金
| 二重まぶた・全切開法 | 片目 ¥148,500(税込) |
|
| 両目 ¥275,000(税込) |
|
|
| 高須幹弥医師の場合 片目 ¥192,500(税込) |
|
|
| 高須幹弥医師の場合 両目 ¥385,000(税込) |
全院 |
脂肪切除をする場合や埋没法の糸を抜去する場合の費用も含まれております。
| 目尻切開 | 片目 ¥148,500(税込) |
|
| 両目 ¥275,000(税込) |
|
|
| 高須幹弥医師の場合 片目 ¥192,500(税込) |
|
|
| 高須幹弥医師の場合 両目 ¥385,000(税込) |
全院 |
| 目の下の脂肪取り | 目の下(片目) ¥275,000(税込) |
|
| 目の下(両目) ¥550,000(税込) |
全院 |
| 垂れ目(パンダ目)形成(グラマラスライン/下眼瞼下制術) | 片目 ¥148,500(税込) |
|
| 両目 ¥275,000(税込) |
|
|
| 高須幹弥医師の場合 片目 ¥192,500(税込) |
|
|
| 高須幹弥医師の場合 両目 ¥385,000(税込) |
銀座 横浜 名古屋 大阪 |
リスク・副作用・合併症
二重まぶた・全切開法
目尻切開
目の下(下瞼)の脂肪取り
垂れ目(タレ目,パンダ目)形成(グラマラスライン/下眼瞼下制術)
術後の経過
手術前
手術前です。
二重まぶた全切開法+目尻切開+タレ目形成(グラマラスライン)+目の下脂肪取りを同時にすることになりました。
手術直後
目を開けた状態
手術直後(目を開けた状態)です。
局所麻酔注射などの影響で強く腫れていますが、腫れは必ず引くので心配ありません。
目を閉じた状態
手術直後(目を閉じた状態)です。
2週間後
目を開けた状態
2週間後(目を開けた状態)です。
だいぶ腫れは引きました。
目を閉じた状態
2週間後(目を閉じた状態)です。
1ヶ月後
目を開けた状態
1ヶ月後(目を開けた状態)です。
更に腫れは引きました。
目を閉じた状態
1ヶ月後(目を閉じた状態)です。
6ヶ月後
メイクなし
6ヶ月後(目を開けた状態)です。
ほぼ完全に腫れは引き、完成です。
目を閉じた状態
6ヶ月後(目を閉じた状態)です。
メイクあり
6ヶ月後のアイメイクした状態です。
※施術後(After)のメイクあり写真について
女性の目もとの施術はメイクをすることを前提に行うことが多くなっております。
そのため、当院ではこれから施術を受けていただく方への参考として、メイクをしていない施術前後(Before/After)の写真のほか、 施術後(After)のメイクをしている写真も掲載しております。
この症例と同じ診療科目の
症例写真はこちら
二重まぶた・全切開法
20代女性の患者様で、目頭切開と二重まぶた手術希望で来院されました。
診察させていただいたところ、ほぼ一重まぶたでしたが、アイプチやアイテープの癖が中途半端についており、普段作っていると思われる二重のラインがありました。
また、左に比べて右のまぶたの開きが少し悪い状態でした。
蒙古襞は適度に発達して張っていました。
まぶたの開きの左右差に関しては、眼瞼下垂の手術をすることも考慮しましたが、左右同じデザインで二重まぶた全切開法である程度改善できることが見込めたので、二重まぶた全切開法をすることになりました。
同時に目頭切開をして、目を内側に広げることになりました。
二重まぶた全切開法は、患者様の希望で、普段アイプチやアイテープをしているラインで切開して、平行型二重を作りました。
皮膚切除、眼窩内脂肪の除去、ROOFの除去はしていません。
目頭切開はZ法に準じて行い、適度に尖るデザインで1.5mmずつ内側に広げました。
術後は、まぶたの開きの左右差はわずかに残っていますが、術前に比べるとかなり改善しました。
また、患者様の希望通りの平行型二重にもなりました。
料金
| 片目 ¥148,500(税込) |
|
| 両目 ¥275,000(税込) |
|
| 高須幹弥医師の場合 片目 ¥192,500(税込) |
|
| 高須幹弥医師の場合 両目 ¥385,000(税込) |
全院 |
| 片目 ¥148,500(税込) |
|
| 両目 ¥275,000(税込) |
|
| 高須幹弥医師の場合 片目 ¥192,500(税込) |
|
| 高須幹弥医師の場合 両目 ¥385,000(税込) |
全院 |
脂肪切除をする場合や埋没法の糸を抜去する場合の費用も含まれております。
リスク・副作用・合併症
目頭切開
二重まぶた・全切開法
20代女性の患者様で、二重まぶた手術を希望されていました。
診察させていただいたところ、ほぼ一重まぶたで、目を開けた状態で二重の幅は見えていませんでした。
患者様は自然なラインで元に戻らない二重を希望されていたので、二重まぶた全切開法を行うことになりました。
手術は局所麻酔下に行い、目を閉じた状態でまつ毛の生え際から約6.5mmの位置で切開し、癒着させるのに必要最小限の脂肪を切除した後、内部処理をして二重のラインを作成しました。
手術後は自然な末広型二重になりました。
自然な二重を作ったことにより、まつ毛の生え際が見えるようになって、黒目の露出も増え、華やかな印象の目になりました。
料金
| 片目 ¥148,500(税込) |
|
| 両目 ¥275,000(税込) |
|
| 高須幹弥医師の場合 片目 ¥192,500(税込) |
|
| 高須幹弥医師の場合 両目 ¥385,000(税込) |
全院 |
脂肪切除をする場合や埋没法の糸を抜去する場合の費用も含まれております。
リスク・副作用・合併症
二重まぶた・全切開法
20代女性の患者様で、二重まぶた切開法を希望されていました。
診察させていただいたところ、まぶたの皮膚が厚く、脂肪も余っている状態でした。
二重まぶた全切開法を行い、余分な脂肪を除去することになりました。
手術は局所麻酔下に行い、自然なラインで皮膚を全切開した後、余分な眼窩内脂肪とROOFを切除し、二重のラインを作成しました。
手術後は、術前と比べてまぶたがすっきりして薄くなり、自然な二重まぶたのラインができました。
料金
| 片目 ¥148,500(税込) |
|
| 両目 ¥275,000(税込) |
|
| 高須幹弥医師の場合 片目 ¥192,500(税込) |
|
| 高須幹弥医師の場合 両目 ¥385,000(税込) |
全院 |
脂肪切除をする場合や埋没法の糸を抜去する場合の費用も含まれております。
リスク・副作用・合併症
二重まぶた・全切開法
20代女性の患者様で、二重まぶた手術希望で来院されました。
診察させていただいたところ、ほぼ完全な一重まぶたで、二重のラインがないため、まぶたの皮膚が黒目に被さり、細い目をしてらっしゃいました。
患者様のご要望は、
「目を開けた状態で、ちゃんと二重の幅が見えて、奥二重のようになるのは嫌」
「内側(目頭側)に二重のラインが入り込むのは嫌」
「元に戻るのは嫌なので、埋没法ではなく、切開法でしたい」
ということでしたので、目を開けた状態で二重の幅が見えて、二重のラインがやや蒙古襞を乗り越えて、目頭側に入り込まないように重瞼棒でデザインし、二重まぶた全切開法に準じて手術しました。
最小限の眼輪筋、瞼板前結合組織を切除し、内部処理を行うことにより二重のラインを作成しました。
皮膚やROOFは切除しませんでした。
術後は、二重のラインが蒙古襞のやや上を乗り越えるようにデザインしたため、完全な末広型の二重にはならず、末広型と平行型の中間のような二重になりました。
また、目を開けた状態で、奥二重のようにならず、ちゃんと目頭側から目尻側まで二重のラインの見える二重になりました。
料金
| 片目 ¥148,500(税込) |
|
| 両目 ¥275,000(税込) |
|
| 高須幹弥医師の場合 片目 ¥192,500(税込) |
|
| 高須幹弥医師の場合 両目 ¥385,000(税込) |
全院 |
脂肪切除をする場合や埋没法の糸を抜去する場合の費用も含まれております。
リスク・副作用・合併症
二重まぶた・全切開法
二重全切開の患者様をご紹介します。
患者様は20代女性で、4年前に埋没での二重施術経験のある方でした。
埋没法で作った二重が取れてしまったため、取れない二重を希望され、全切開にて二重形成をしました。
デザインはmix型で、埋没法の時より広めの幅をご希望されました。
施術時には同時に眼窩脂肪切除をすることもあります。
患者様は右に比べると左がくぼみ目になりかかっていたため、眼窩脂肪切除は右のみ少量としました。
埋没法施術時の糸も抜去し、新しく二重形成をしています。
施術直後は腫れがしっかり出ていますが、数ヶ月で徐々に落ち着いてきています。
しっかり幅が出て、目力のあるお目元になりました。
埋没法はメスで切開せずに二重を手に入れられる反面、やはり取れてしまうリスクが常にあります。
患者様のように、埋没法で作った二重が取れてしまったために切開を希望される方も多くいらっしゃいます。
単純に考えれば始めから切開にしておけば、とも思いますが、一度埋没法をしたことによってご自身の一番なりたい二重を確認することができ、埋没法時のデザインを参考に確実なデザインを選ぶことができます。
切開法はデザインを簡単には変更できないため、デザインに迷われている方にはあえて埋没をおすすめすることもあります。
埋没法、切開法のメリット、デメリットを踏まえて最もよい選択となるよう診察にご相談させていただいています。
デザインや手術法などだけでなく、やろうかどうか自体を迷っている段階でも診察は受けていただけます。
その場で決められなければ、もちろん一度お持ち帰りいただいてご自宅でゆっくりご検討いただくことも可能です。
参考程度に話が聞いてみたい、という方でもご相談にお越しいただければと思います。
料金
| 片目 ¥148,500(税込) |
|
| 両目 ¥275,000(税込) |
|
| 高須幹弥医師の場合 片目 ¥192,500(税込) |
|
| 高須幹弥医師の場合 両目 ¥385,000(税込) |
全院 |
脂肪切除をする場合や埋没法の糸を抜去する場合の費用も含まれております。
リスク・副作用・合併症
二重まぶた・全切開法
目尻切開
患者様は、20代女性。
目を外側に広げて大きくしたいというご希望と、もともと下まぶたは逆さまつ毛があり改善することの希望があるとともに、垂れ目にもされたいというご希望でした。
そこで両側の目尻切開と両側の下まぶたの逆さまつ毛の修正術とともに、皮膚切除も行って垂れ目も形成するようにしました。
手術前から特別目が小さいという方ではありませんが、目尻側が少し上がった吊り目傾向の方です。
目尻切開によって外側に目を大きくすると共に外側に広がった分だけ上下にも広げることを考えました。
また、側面写真から分かるように、下まぶたの逆さまつ毛があり、その修正術を行うと共に、下まぶたの外側の皮膚切除も行い、垂れ目の形成も行う方針としました。
目尻切開によって目の横幅は広がり、側面写真で見ると下まぶたの逆さまつ毛は改善しております。
皮膚切除も行っているため、垂れ目傾向にもなっているはずです。
目の横幅は広がって、吊り目は改善されております。
側面写真でも、逆さまつ毛は改善しております。
下まぶたの切開線の赤みも目立たなくなりました。
お顔の印象としては、術前よりも目は全体に大きく華やかになり、吊り目の傾向も改善されることで優しい雰囲気に変わり、患者様には大変御満足いただきました。
料金
| 片目 ¥148,500(税込) |
|
| 両目 ¥275,000(税込) |
|
| 高須幹弥医師の場合 片目 ¥192,500(税込) |
|
| 高須幹弥医師の場合 両目 ¥385,000(税込) |
全院 |
| 上まぶた(片目) ¥148,500(税込) |
|
| 上まぶた(両目) ¥275,000(税込) |
|
| 高須幹弥医師の場合 上まぶた(片目) ¥192,500(税込) |
|
| 高須幹弥医師の場合 上まぶた(両目) ¥385,000(税込) |
|
| 下まぶた(片目) ¥148,500(税込) |
|
| 下まぶた(両目) ¥275,000(税込) |
|
| 高須幹弥医師の場合 下まぶた(片目) ¥192,500(税込) |
|
| 高須幹弥医師の場合 下まぶた(両目) ¥385,000(税込) |
|
| 埋没法上まぶた(片目)一針固定 ¥55,000(税込) |
|
| 埋没法上まぶた(両目)一針固定 ¥99,000(税込) |
|
| 埋没法上まぶた(片目)二針固定 ¥99,000(税込) |
|
| 埋没法上まぶた(両目)二針固定 ¥187,000(税込) |
全院 |
リスク・副作用・合併症
目尻切開
逆さまつ毛修正
30代の女性が「目の横幅を大きくしたい。垂れ目にして優しい感じにしつつ目を縦にも大きくしたい」とのご要望で来院されました。
目を横に大きくする手術は目頭切開、目尻切開があります。
この患者様の場合、目頭切開をすると目が寄り気味に見えてしまったり、涙丘(目の内側の赤いところ)が見えすぎて不自然になってしまうため目頭切開は不向きと判断し、皮膚の余裕のある目尻切開を行いました。
垂れ目にする方法としては手術による垂れ目形成、目を下に大きくするボツリヌストキシン注射があります。
今回、患者様が元に戻らない治療を希望されましたので、垂れ目形成術(グラマラスライン/下眼瞼下制術)を行いました。
手術後は、後戻りすることなく目の外側が大きくなっています。
また垂れ目も後戻りすることなく優しい感じの目になりました。
目が一回り大きくなって華やかな印象になりました。
料金
| 片目 ¥148,500(税込) |
|
| 両目 ¥275,000(税込) |
|
| 高須幹弥医師の場合 片目 ¥192,500(税込) |
|
| 高須幹弥医師の場合 両目 ¥385,000(税込) |
全院 |
| 片目 ¥148,500(税込) |
|
| 両目 ¥275,000(税込) |
|
| 高須幹弥医師の場合 片目 ¥192,500(税込) |
|
| 高須幹弥医師の場合 両目 ¥385,000(税込) |
銀座 横浜 名古屋 大阪 |
リスク・副作用・合併症
目尻切開
垂れ目(タレ目,パンダ目)形成(グラマラスライン/下眼瞼下制術)
美容外科がポピュラーになるにつれて患者さんの要求が、細かくマニアックになってくるのを感じます。
このようなご要望をいただくことが多くありました。
①睫毛のキワを見せてほしい
②ハム目にならないようにしてほしい
③目尻側または目頭側もしっかり食い込むようにしてほしい
この患者様も、目を丸く見えるようにしてほしい、眉毛と目の間を狭くしてほしい。自然に目を大きくしてほしいと言った要望がありました。
対して行った施術は「眼瞼下垂手術で目力を上げることで丸い目にする+目頭、目尻切開で横幅を広げる+眉下切開で目と眉毛の間を近づける」です。
Before/After写真を見ていただくと分かるように、良い変化が出ました。
黒目の左右差が整い、目が丸く大きくなりました。
右目はやや睫毛のかぶりがあるので今後睫毛上皮膚切除で修正をするかもしれません。
料金
| 片目(通常の手術の場合) ¥385,000(税込) |
|
| 両目(通常の手術の場合) ¥770,000(税込) |
|
| 片目(筋膜移植の場合) ¥605,000(税込) |
|
| 両目(筋膜移植の場合) ¥990,000(税込) |
全院 |
| 片目 ¥148,500(税込) |
|
| 両目 ¥275,000(税込) |
|
| 高須幹弥医師の場合 片目 ¥192,500(税込) |
|
| 高須幹弥医師の場合 両目 ¥385,000(税込) |
全院 |
| 片目 ¥148,500(税込) |
|
| 両目 ¥275,000(税込) |
|
| 高須幹弥医師の場合 片目 ¥192,500(税込) |
|
| 高須幹弥医師の場合 両目 ¥385,000(税込) |
全院 |
| 片目 ¥192,500(税込) |
|
| 両目 ¥385,000(税込) |
全院 |
リスク・副作用・合併症
眼瞼下垂(がんけんかすい)
目頭切開
目尻切開
眉下リフト(上眼瞼リフト)
40代女性の患者様で、目を外側に広げたいというご要望でした。
診察させていただいたところ、目尻にそこそこの深さのポケットがあり、目尻切開をすればそれなりに目を外側に広げることができることがわかりました。
W切開法に準じて目尻切開を行い、可能な限り目を外側に広げて、外側に広がった分は上下にも広げることになりました。
手術は、最大限目尻が外側に広がるように皮膚~粘膜にメスで割を入れ、粘膜に三角弁を入れ、外側に広がった部分の上下の皮膚を切除して縫合しました。
手術後はそれなりに目が外側に大きくなりました。
目尻切開は10代~20代の男女が行うイメージがありますが、30代、40代でも行うことは多いです。
50代、60代、70代でも行うことはあります。
料金
| 片目 ¥148,500(税込) |
|
| 両目 ¥275,000(税込) |
|
| 高須幹弥医師の場合 片目 ¥192,500(税込) |
|
| 高須幹弥医師の場合 両目 ¥385,000(税込) |
全院 |
リスク・副作用・合併症
目尻切開
20代女性の患者様で目を大きくして華やかな印象になりたいというご要望でした。
診察させていただいたところ、まぶたの開きが悪く奥二重で、目の横幅もそれほど広くありませんでした。
全体的に目を大きくするために、眼瞼下垂手術+目頭切開+目尻切開+グラマラスライン(垂れ目形成手術)を行うことになりました。
二重のデザインはやや幅広めの平行型二重を希望されていたため、目頭切開をZ法で行い、約1.5mmずつ内側に広げ、残存した蒙古ひだを乗り越えるように幅広めの位置で皮膚切開して眼瞼下垂手術を行い、重瞼線を作成しました。
目頭切開とグラマラスラインは自然で安全な範囲内で最大限広げました。
手術後は目が一回り大きくなり、華やかな印象になりました。
料金
| 片目(通常の手術の場合) ¥385,000(税込) |
|
| 両目(通常の手術の場合) ¥770,000(税込) |
|
| 片目(筋膜移植の場合) ¥605,000(税込) |
|
| 両目(筋膜移植の場合) ¥990,000(税込) |
全院 |
| 片目 ¥148,500(税込) |
|
| 両目 ¥275,000(税込) |
|
| 高須幹弥医師の場合 片目 ¥192,500(税込) |
|
| 高須幹弥医師の場合 両目 ¥385,000(税込) |
全院 |
| 片目 ¥148,500(税込) |
|
| 両目 ¥275,000(税込) |
|
| 高須幹弥医師の場合 片目 ¥192,500(税込) |
|
| 高須幹弥医師の場合 両目 ¥385,000(税込) |
全院 |
| 片目 ¥148,500(税込) |
|
| 両目 ¥275,000(税込) |
|
| 高須幹弥医師の場合 片目 ¥192,500(税込) |
|
| 高須幹弥医師の場合 両目 ¥385,000(税込) |
銀座 横浜 名古屋 大阪 |
リスク・副作用・合併症
眼瞼下垂(がんけんかすい)
目頭切開
目尻切開
垂れ目(タレ目,パンダ目)形成(グラマラスライン/下眼瞼下制術)
目の下の脂肪取り
40代女性の患者様で、目の下のクマが気になるとのことでした。
目の下が窪んでおり、その上、目の下に脂肪の膨らみがあるため、膨らみの下に影ができて、クマを強調させていました。
このタイプのクマには目の下の脂肪取り+目の下の窪みへのヒアルロン酸注射が有効ですが、まずは目の下の脂肪取りのみを行いました。
術後は脂肪の膨らみがなくなり、クマが目立たなくなりました。
この後、ヒアルロン酸注射をすると更に目立たなくなります。
料金
| 目の下(片目) ¥275,000(税込) |
|
| 目の下(両目) ¥550,000(税込) |
全院 |
リスク・副作用・合併症
目の下(下瞼)の脂肪取り
30代女性の患者様で、目の下のクマを気にされて来院されました。
診察させていただいたところ、目の下の脂肪が膨らんでおり、脂肪の膨らみの下は窪んで陰になって、クマが目立っていました。
目の下の脂肪を除去して、窪んでいるところにヒアルロン酸を注射するのが良いのですが、同時に行うよりは、まず脂肪を除去して、腫れがおさまってからヒアルロン酸を注射するのが良いので、まず脂肪除去をすることになりました。
手術は局所麻酔下に下まぶたの裏側にCO2レーザーで小さな穴を開けた、適度な量の脂肪を除去しました。
術後は脂肪の膨らみの部分がほぼ平らになり、クマが目立たなくなりました。
このあとヒアルロン酸を注射すると、張りが出てさらにクマが目立たなくなります。
料金
| 目の下(片目) ¥275,000(税込) |
|
| 目の下(両目) ¥550,000(税込) |
全院 |
リスク・副作用・合併症
目の下(下瞼)の脂肪取り
30代女性の患者様で、目の下のクマを改善させたいというご要望でした。
診察させていただいたところ、下まぶたの眼窩内脂肪が発達して前方に張り出しており、それによって膨らみグマができていました。
そのため、経結膜下眼瞼眼窩内脂肪切除手術をすることになりました。
手術は局所麻酔下に行い、左右の下まぶたから丁度よい量の脂肪を除去しました。
手術後は下まぶたの膨らみが程よく改善し、クマが目立たなくなりました。
料金
| 目の下(片目) ¥275,000(税込) |
|
| 目の下(両目) ¥550,000(税込) |
全院 |
リスク・副作用・合併症
目の下(下瞼)の脂肪取り
20代女性の患者様で、目元をもっと良くしたいというご要望で来院されました。
ある程度幅のある平行型の二重にして、もっと目を大きくして、目の下のクマも改善させたいというご希望でした。
診察させていただいたところ、まぶたの開きは良いのですが、目の横幅はそれほど大きいわけではありませんでした。
また、二重の幅、形に左右差があり、目の下には眼窩内脂肪の膨らみがあり、クマを強調させていました。
眼瞼下垂手術をする必要はないので、二重まぶた全切開法で二重の幅を広げて平行型二重を作り、目頭切開と目尻切開で目の横幅を広げることになりました。
目の下のクマに対しては、下まぶたの内側から余分な眼窩内脂肪を除去することになりました。
二重まぶた全切開法は、適度に二重の幅が見えるようにデザインし、皮膚切除は行わず、眼窩内脂肪やROOFの切除も行いませんでした。
目頭切開は、寄り目になったりキツい目にならない程度に、Z法で1.5mmずつ内側に広げました。
目尻切開は、できる限り最大限広げ、1.5mmずつ外側に広げました。
術後はご希望通りの平行型二重になり、目の横幅も広がって、目の下のクマも改善しました。
目元の手術を複数行う場合、全て同時に行うこともできるし、日にちを空けて別々に行うこともできます。
同時に行っても別々に行っても、最終的な仕上がりに差が出ることはほとんどありませんが、同時に行うほうが、通院回数が最小限で済むし、ダウンタイムも1回で済むのでご検討いただいています。
料金
| 片目 ¥148,500(税込) |
|
| 両目 ¥275,000(税込) |
|
| 高須幹弥医師の場合 片目 ¥192,500(税込) |
|
| 高須幹弥医師の場合 両目 ¥385,000(税込) |
全院 |
脂肪切除をする場合や埋没法の糸を抜去する場合の費用も含まれております。
| 片目 ¥148,500(税込) |
|
| 両目 ¥275,000(税込) |
|
| 高須幹弥医師の場合 片目 ¥192,500(税込) |
|
| 高須幹弥医師の場合 両目 ¥385,000(税込) |
全院 |
| 片目 ¥148,500(税込) |
|
| 両目 ¥275,000(税込) |
|
| 高須幹弥医師の場合 片目 ¥192,500(税込) |
|
| 高須幹弥医師の場合 両目 ¥385,000(税込) |
全院 |
| 目の下(片目) ¥275,000(税込) |
|
| 目の下(両目) ¥550,000(税込) |
全院 |
リスク・副作用・合併症
二重まぶた・全切開法
目頭切開
目尻切開
目の下(下瞼)の脂肪取り
目の下の切らない脂肪取りをされた患者様です。
経結膜脱脂+α法で行いました。
ダウンタイムが少ないという脱脂のメリットを損なうことなく、少し内部に工夫を加えています。
目の下のふくらみがほぼ無くなったことで、すっきりとした目もとになりました。
料金
| 目の下(片目) ¥275,000(税込) |
|
| 目の下(両目) ¥550,000(税込) |
全院 |
リスク・副作用・合併症
目の下(下瞼)の脂肪取り
垂れ目(パンダ目)形成(グラマラスライン/下眼瞼下制術)
料金
| 片目 ¥148,500(税込) |
|
| 両目 ¥275,000(税込) |
|
| 高須幹弥医師の場合 片目 ¥192,500(税込) |
|
| 高須幹弥医師の場合 両目 ¥385,000(税込) |
銀座 横浜 名古屋 大阪 |
リスク・副作用・合併症
垂れ目(タレ目,パンダ目)形成(グラマラスライン/下眼瞼下制術)
20代女性の患者様で、グラマラスライン(垂れ目形成手術)を希望されていました。
診察させていただいたところ、ややつり目気味で、下まぶたの外側が上がっていました。
グラマラスラインを行い、下まぶたの外側を自然で安全な範囲内で下げることになりました。
手術は局所麻酔下に行い、まつ毛の生え際を皮膚切開し、CPFをダッキングして下眼瞼の外側を下げました。
その後、余っている皮膚を切除し、丁寧に皮膚縫合しました。
手術後は手術で安全な範囲内で程よく下まぶたの外側が下がり、つり目が改善し、華やかな印象の目になりました。
料金
| 片目 ¥148,500(税込) |
|
| 両目 ¥275,000(税込) |
|
| 高須幹弥医師の場合 片目 ¥192,500(税込) |
|
| 高須幹弥医師の場合 両目 ¥385,000(税込) |
銀座 横浜 名古屋 大阪 |
リスク・副作用・合併症
垂れ目(タレ目,パンダ目)形成(グラマラスライン/下眼瞼下制術)
20代女性です。
ご自身でアイプチを使い幅広めの平行二重を作っていたのですが、「ラインが安定しない、目をもっと大きくしたい」とのことで来院されました。
二重まぶたは全切開二重で、右まぶたはアイプチのラインに合わせてつくることとし、それに合わせて左はアイプチのラインよりもほんの少し狭い二重をつくりました。
さらに、目を大きくするため目頭切開と垂れ目形成を同時に行っております。
目頭切開はZ法で行い、垂れ目形成はCPFの短縮と余った皮膚の切除を行っております。
幅広平行二重にすると、どうしても腫れが目立ちやすくダウンタイムが長くなりやすいですが、6ヶ月後にはなじんで綺麗になり傷跡も自然になっています。
目頭切開、垂れ目形成に効果もあり、手術前は目が細くツリ目気味でしたが綺麗なアーモンドアイになりました。
料金
| 片目 ¥148,500(税込) |
|
| 両目 ¥275,000(税込) |
|
| 高須幹弥医師の場合 片目 ¥192,500(税込) |
|
| 高須幹弥医師の場合 両目 ¥385,000(税込) |
全院 |
脂肪切除をする場合や埋没法の糸を抜去する場合の費用も含まれております。
| 片目 ¥148,500(税込) |
|
| 両目 ¥275,000(税込) |
|
| 高須幹弥医師の場合 片目 ¥192,500(税込) |
|
| 高須幹弥医師の場合 両目 ¥385,000(税込) |
全院 |
| 片目 ¥148,500(税込) |
|
| 両目 ¥275,000(税込) |
|
| 高須幹弥医師の場合 片目 ¥192,500(税込) |
|
| 高須幹弥医師の場合 両目 ¥385,000(税込) |
銀座 横浜 名古屋 大阪 |
リスク・副作用・合併症
二重まぶた・全切開法
目頭切開
垂れ目(タレ目,パンダ目)形成(グラマラスライン/下眼瞼下制術)
20代女性の患者様で、小さいつり目が悩みで、目を大きくして、つり目を解消したいというご要望でした。
診察させていただいたところ、やや蒙古襞が発達しており、目の横幅が小さく、目と目の間隔がやや広めでした。
また、元々、下三白眼であり、黒目の真下の白目が少し見えている状態でした。
目頭切開で目を内側に広げ、タレ目形成(グラマラスライン、下眼瞼下制術)で下まぶたの外側を下に下げることになりました。
目頭切開は、Z法に準じて蒙古の突っ張りを少し解除し、目が内側に約2mmずつ大きくなるようにしました。
タレ目形成(グラマラスライン、下眼瞼下制術)は、これ以上三白眼が酷くならないように、黒目の真下は下がらないように、下まぶたの黒目の外側が約2mm下がるようにしました。
術後は目が一回り大きくなり、つり目も改善しました。
料金
| 片目 ¥148,500(税込) |
|
| 両目 ¥275,000(税込) |
|
| 高須幹弥医師の場合 片目 ¥192,500(税込) |
|
| 高須幹弥医師の場合 両目 ¥385,000(税込) |
全院 |
| 片目 ¥148,500(税込) |
|
| 両目 ¥275,000(税込) |
|
| 高須幹弥医師の場合 片目 ¥192,500(税込) |
|
| 高須幹弥医師の場合 両目 ¥385,000(税込) |
銀座 横浜 名古屋 大阪 |
リスク・副作用・合併症
目頭切開
垂れ目(タレ目,パンダ目)形成(グラマラスライン/下眼瞼下制術)
20代女性の患者様で、二重まぶた切開法を希望されていました。
二重まぶたは、小悪魔agehaのモデルのような、超幅広平行型二重を希望されていました。
合わせて、他の目を大きくする手術も希望されていました。
カウンセリングした結果、二重まぶた全切開法で超幅広平行型二重を作り、同時に目頭切開、目尻切開、タレ目形成(グラマラスライン)を行い、目を内側、外側、下側に大きくすることになりました。
二重まぶた全切開法は、目を閉じた状態で約10mmの位置で切開し、皮膚の切除は行わないで二重のラインを作成しました。
必要最小限の脂肪を除去する程度に抑え、必要以上に脂肪を取らないようにしました。
目頭切開はZ法に準じて行い、目頭の形を尖らせたまま2.0mm弱ずつ目を内側に大きくしました。
目尻切開は、自然な範囲内で目が最大限外側に広がるようにデザインして行い、その結果、約1.5mmずつ外側に広がりました。
タレ目形成は、目尻切開で外側に広がった部分も含めて下まぶたの黒目の外側を約2mm下げるようにしました。
手術後は、患者様の希望された超幅広平行型二重になりました。
また、目頭切開、目尻切開、タレ目形成の効果で目が一回り大きくなりました。
正直、私自身はこの二重をいいとは思わないし、私がデザインを決める場合は絶対にこのような二重はお勧めしません。
しかし、患者様が、このような二重を作ることを十分納得した上でこのような超幅広平行型二重を希望する場合は、患者様のキャラクター、理解力、記憶力、攻撃性などを考慮させていただいた上でさせていただくことはあります。
料金
| 片目 ¥148,500(税込) |
|
| 両目 ¥275,000(税込) |
|
| 高須幹弥医師の場合 片目 ¥192,500(税込) |
|
| 高須幹弥医師の場合 両目 ¥385,000(税込) |
全院 |
脂肪切除をする場合や埋没法の糸を抜去する場合の費用も含まれております。
| 片目 ¥148,500(税込) |
|
| 両目 ¥275,000(税込) |
|
| 高須幹弥医師の場合 片目 ¥192,500(税込) |
|
| 高須幹弥医師の場合 両目 ¥385,000(税込) |
全院 |
| 片目 ¥148,500(税込) |
|
| 両目 ¥275,000(税込) |
|
| 高須幹弥医師の場合 片目 ¥192,500(税込) |
|
| 高須幹弥医師の場合 両目 ¥385,000(税込) |
全院 |
| 片目 ¥148,500(税込) |
|
| 両目 ¥275,000(税込) |
|
| 高須幹弥医師の場合 片目 ¥192,500(税込) |
|
| 高須幹弥医師の場合 両目 ¥385,000(税込) |
銀座 横浜 名古屋 大阪 |
リスク・副作用・合併症
二重まぶた・全切開法
目頭切開
目尻切開
垂れ目(タレ目,パンダ目)形成(グラマラスライン/下眼瞼下制術)
この症例の診療科目
ページはこちら
この施術を見た方は、以下の施術も見ています
※ 施術方法や施術の流れに関しましては、患者様ごとにあわせて執り行いますので、各院・各医師により異なります。予めご了承ください。
※ ホームページ上で掲載されている価格は税込表示となっております。
※ 当院で行う治療行為は保険診療適応外の自由診療になります。
施術方法は200種類以上
どんなお悩みでも
ご相談ください
当サイトは高須クリニック在籍医師の監修のもとで掲載しております。





担当医:高須幹弥 医師
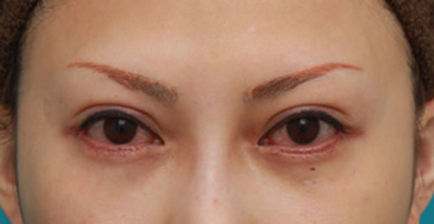
診察させていただいたところ、二重に関しては、目を開けた状態でそこそこ二重の幅が見える状態でした。
蒙古襞はほとんど発達しておらず、涙丘(目頭側の赤い粘膜の盛り上っている部分)がはっきりと見えており、目と目の間隔は広くありませんでした。
全体的に目が細く、ややつり目気味でした。
また、下まぶたに眼窩内脂肪が張り出しており、目の下のクマを強調させていました。
手術は、二重まぶた全切開法、目尻切開、タレ目形成(グラマラスライン)、目の下脂肪取りの4つをすることになりました。
目と目の間隔は広くなく、蒙古襞も発達していなかったので、目頭切開はする必要はありませんでした。
二重まぶた全切開法で、二重の幅を少し広げ、華やかな目元になるようにしました。
元々蒙古襞が張っていなかったため、必然的に平行型の二重になりました。
アイラインを引いたりつけまつ毛をしても、はっきりと二重だとわかるようになりました。
目尻切開はW字切開の内田法に準じたデザインで行い、最大限広げた結果、約2mm程度広がり、外側に広がった分は上下にも広がるようにしました。
タレ目形成(グラマラスライン)は、下三白眼にならないように黒目の真下の下まぶたは下げず、黒目の外側のみ約2mm下げるようにしました(安全な範囲、自然な範囲内で約2mmが最大限でした)。
タレ目形成の際、余分な下まぶたの皮膚は切除し、ついでに下まぶたの眼窩内脂肪を適量除去しました。
術後は、目が一回り大きくなって、つり目が改善しました。すっぴんでも化粧をしても悪くなく、全体的に華やかな目元になりました。