目の下の脂肪を取り、埋もれていた涙袋が浮き出てきた症例写真の術前術後画像
- 年代 / 性別
- 40代 / 女性
- 診療科目
- 目の下の脂肪取り
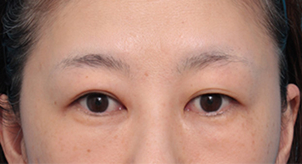
Before
After(6ヶ月後)
術後の経過
手術前
手術前です。
目の下の脂肪切除手術をすることになりました。
手術直後
手術直後です。
局所麻酔注射の影響などにより腫れています。
2日後
2日後です。
大きな腫れは引いています。
仕事に復帰しました。
6ヶ月後
6ヶ月後です。
完全に腫れは引いています。
目袋によって埋もれていた涙袋が浮き出てきました。
この症例と同じ診療科目の
症例写真はこちら
この症例の診療科目
ページはこちら
この施術を見た方は、以下の施術も見ています
※ 施術方法や施術の流れに関しましては、患者様ごとにあわせて執り行いますので、各院・各医師により異なります。予めご了承ください。
※ ホームページ上で掲載されている価格は税込表示となっております。
※ 当院で行う治療行為は保険診療適応外の自由診療になります。
施術方法は200種類以上
どんなお悩みでも
ご相談ください
当サイトは高須クリニック在籍医師の監修のもとで掲載しております。

担当医:高須幹弥 医師
除去した左右の目の下の脂肪です。
診察させていただいたところ、下まぶたの眼窩内脂肪が発達しており、目の下がぷっくりと膨らんでいました。
また、よく見るとそこそこの涙袋が存在するのですが、涙袋のすぐ下の眼窩内脂肪が膨らんでいるため、涙袋と目袋が重なり、涙袋が埋もれている状態になっていました。
経結膜下眼瞼脂肪切除術で、下まぶたの裏から眼瞼内脂肪を除去することになりました。
左右の目の下から、内側と中央と外側のコンパートメントからほどよい脂肪を除去しました。
術後は、膨らんでいた目袋がほぼ平らになり、老けている印象が改善されました。
また、目袋が平らになったことにより、元々あった涙袋が浮き出てきて、ハツラツと笑顔溢れる印象になりました。