鼻尖縮小のダウンタイムや腫れはどれくらい?ギプスの期間や仕事や学校は何日休めばいい?

鼻尖縮小(鼻尖形成)手術希望の患者様のカウンセリングをしているとよく、
「どれくらい腫れますか?」
「いつからメイクできますか?」
「いつから洗顔フォームとか石鹸を使って洗顔していいですか?」
「いつからシャンプーで洗髪していいですか?」
「鼻尖形成(鼻尖縮小)をした後、ギプスは必要ですか?」
「鼻尖形成(鼻尖縮小)をしたら、何日会社や学校を休めばいいですか?」
などのご質問をいただきます。
私の答えは、
「鼻尖形成(鼻尖縮小)をした後は、ほとんどの場合、ギプス(あるいはテーピング)をする必要があります。」
「鼻尖形成(鼻尖縮小)手術後は、ギプスが外れると、大きな腫れはほとんど引いているため、ギプスをしている期間休めば問題ないことが多いです。」
です。
腫れやダウンタイムの詳細、日常生活で気をつけることをご紹介いたします。
鼻尖縮小手術とは?
鼻尖縮小手術は、両側の鼻の穴の中から切開するクローズ法か、両側の鼻の穴の中の切開と鼻柱の表面の切開を繋げるオープン法で行い、鼻先の軟骨や脂肪を操作して、太い鼻先や団子鼻を細くする手術です。
私に関しては、オープン法で行うことは滅多になく、クローズ法で行うため、傷跡は両側の鼻の穴の中のみで、傷跡が目立つ心配は一切ありません。
くわしい手術の内容はこちらをご覧ください。
ギプスやテーピング固定は必要?何日間くらい行う?
ほとんどのケースで、手術後に、鼻にギプス(あるいはテーピング)を装着します。
鼻先の軟骨の状態を安定させるため、ギプスは鼻先を両サイドから挟むように圧迫し、鼻先が綺麗に細くなるようにするために、大変重要なものです。
私の手術の場合は、3~4日間くらいの装着が多く、長くても7日間ぐらいの装着をお願いしています。
ギプス、テーピングのどちらを使うのか、何日間固定するかは、担当する医者の手術術式などによって異なります。 詳しくはカウンセリングのときに担当医にお聞きください。
腫れやダウンタイムは?
どんな手術でも、100%完全に腫れが引くのは6ヶ月程度かかりますが、鼻尖縮小手術で、術後に腫れるのは、ほとんど手術操作をした鼻先だけであり、他の部位が大きく腫れるということはまずありません。
また、腫れた部分はギプスやテーピングで隠れた状態になっています。
ギプスやテーピングをしている状態で人に会えば、手術したことがわかってしまいますが、マスクをして隠してしまえば、手術したことはわかりません。
そのため、患者様の中では、仕事場でずっとマスクをしていい職場の方は、手術翌日から出勤することがあります。
学生の方も、学校でずっとマスクをしていいのであるならば、手術翌日から登校することもできなくはありません。
ただし、工事現場などの激しい肉体労働が伴う方は1週間くらいはダウンタイムとして出勤を控えていただきますし、学生の方でも体育の授業や激しい運動は最低1週間は控えていただきます。
3~7日後にギプスやテーピング固定を外すと、ほとんどの腫れはひいているため、初対面の人から見て、整形手術を受けたことはまずわかりません。
鼻先の皮膚は、まぶた周囲の皮膚などに比べると、かなり固くて厚いため、手術後の腫れ、浮腫み、内出血はそれほど出ないので、ギプスやテーピング固定を外した頃には目立った腫れはほとんどないからです。
そのため、マスクなしでも、普通に会社に出勤したり、学校に登校しても大丈夫です。
鼻尖縮小のダウンタイム中の注意点
テーピングやギプスで固定しているダウンタイム中は、日常生活においていくつか気をつけることがあるのでご紹介します。
洗顔
石鹸や洗顔フォームを使って顔を洗う場合は、手術部位が濡れないように、上手に洗っていただきます。
じゃぶじゃぶ顔に水をかけたり、水の中に顔を浸けることはできません。
手術部位以外の部分(額、目もと、頬、顎など)に泡をのせて軽く擦り、手術部位が濡れないように上手に水で洗い流すか、濡れタオルなどで拭き取っていただくことになります。
シャンプー
固定している手術部位が濡れないように、上手に洗っていただく必要があります。
シャンプーハットを使って洗って頂くとより濡れませんし、手術部位が濡れないようにゆっくり丁寧に洗っていただいても構いません。
美容院で洗髪するように、上向きになって、誰かに洗っていただいてもいいです。
絶対にギプスやテーピング、傷跡を濡らしてはいけない、濡らすと取り返しがつかなくなるわけではありません。
もし、濡れてしまった場合は、綺麗なタオルやティッシュペーパーなどで軽く水気を拭き取っていただき、あとは自然に乾かして頂ければまず大丈夫です。
同じように泡がついてしまった場合も、すぐに濡れタオルなどで拭き取って頂く程度でかまいません。
ギプスやテーピングが外れたあとは、手術部位や傷跡をゴシゴシ強く擦らない限り普通の洗顔やシャンプーをして頂いてかまいません。(術後1ヶ月くらいは手術部位を強く擦ったりするのはやめてください)。
メイク
手術部位以外(アイメイク、チーク、口紅など)に関しては、手術直後からすることは可能です。
ただし、メイクを落とすときは、上記の洗顔の注意点をまもり、上手に洗い流す必要があります。
ギプスやテーピングが外れたあとは、手術部位もメイクすることができますが、やはり、メイクを落とすときは上記の注意点をまもり、上手に丁寧に洗っていただきます。

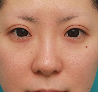
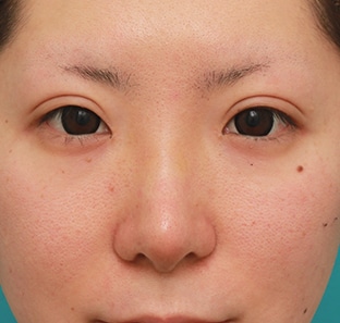
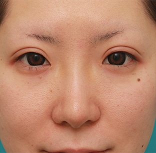
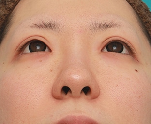
鼻先の皮膚の厚いダンゴ鼻に、鼻尖縮小+耳介軟骨移植をした症例写真の腫れが引いていくダウンタイム経過画像
![]() |
手術前 手術前です。 鼻尖縮小(鼻尖形成)と鼻先の耳介軟骨移植をすることになりました。 |
|---|---|
![]() |
手術直後 手術直後です。 鼻尖縮小をしたので、鼻先をギプスで固定しています。 |
![]() |
3日後 3日後です。 ギプスを外しました。 |
![]() |
1週間後 1週間後です。 鼻の穴の中と耳の穴の中の傷跡の抜糸をしました。 |
![]() |
6ヶ月後 6ヶ月後です。 ほぼ完全に腫れが引いて完成です。 |
![]() |
|
|---|---|
![]() |
|
![]() |
![]() |
|
|---|---|
![]() |
![]() |
|
|---|---|
![]() |
ビフォー・アフター


(6ヶ月後)


(6ヶ月後)


(6ヶ月後)


(6ヶ月後)

担当医からのコメント
⾼須 幹弥 医師

切除した大鼻翼軟骨です。大鼻翼軟骨上の皮下脂肪も一塊にして切除したので、脂肪も一緒に付いています。
20代女性の患者様で、ダンゴ鼻を治したいというご要望でした。
診察させていただいたところ、鼻先の軟骨である大鼻翼軟骨が横に大きく張っており、その上に分厚い皮膚が覆い被さって、ダンゴ鼻になっていました。
また、横から見ると、鼻先が潰れており、余計にダンゴ鼻が強調されていました。
鼻尖形成(鼻尖縮小)と鼻先の耳介軟骨移植をすることになりました。
鼻尖縮小は、両側の鼻の穴の中から、大きく余計に張り出している大鼻翼軟骨の頭側を切除し、大鼻翼軟骨上の皮下脂肪も合わせて切除しました。
左右の大鼻翼軟骨の間の脂肪をとって、軟骨同士を糸で結び合わせるといった操作は、このような鼻に対して行うと、正面から見て細くなったが、横から見ると鼻先が丸くなって大きくなるというパロットノーズ変形、ポリビーク変形が生じるので行っていません。
耳介軟骨は片側の外耳道から採取し、持針器でクラッシュし、鼻先が斜め下方向に出て、軽く尖った感じになるようにオンレイしました。
術後は、正面から見て程よく鼻先が細くなり、側面から見て鼻先が軽く出た状態になりました。
この患者様の鼻先の皮膚は厚いので、元々鼻先の皮膚が薄い人のような細く尖った鼻先を作ることは不可能です。
いくら鼻の内部の軟骨を操作して細くしても、その上に分厚い皮膚が被さるため、効果に限界があるからです。
鼻先の皮膚を少しでも薄くするように軟骨と合わせて皮下脂肪も切除するのですが、それでも限界があります。
そのような場合、無理して皮膚を薄くしようとすると、最悪皮膚が壊死してしまうこともあるため、この患者様のように、大鼻翼軟骨と軟骨上の皮下脂肪を切除し、鼻先に軽く耳介軟骨移植するのがリスクもなく安全です。
施術料金
鼻尖形成(鼻尖縮小・だんご鼻修正)
| ¥550,000(税込) |
【銀座高須クリニック、横浜、名古屋、大阪】
耳介軟骨移植(鼻先を出す)
| ¥385,000(税込) |
【全院】
この施術の料金とリスク・副作用・合併症について
鼻尖形成(鼻尖縮小・だんご鼻修正)
耳介軟骨移植(鼻先を出す)
| 平成11年 |
|
|---|---|
| 平成11年 ~平成13年 |
|
| 平成13年 |
|
| 平成14年 |
|
| 平成15年 |
|
| 平成17年 |
|
| 平成19年 |
|
このコラムを見た方は、以下のコラムも見ています
※施術方法や施術の流れに関しましては、各院・各医師により異なります。予めご了承ください。
※ホームページ上で掲載されている価格は税込表示となっております。
※当院で行う治療行為は保険診療適応外の自由診療になります。
※インバウンドの方の施術料金は通常料金とは異なります。詳しくはお問い合わせ下さい。
当サイトは高須クリニック在籍医師の監修のもとで掲載しております。



















