垂れ目形成と目尻切開を行った症例写真
対象クリニックアイコンの凡例
- 銀
- :銀座高須クリニック
- 横
- :横浜院
- 名
- :名古屋院
- 栄
- :栄院
- 大
- :大阪院
- 全院
- :全院
- 診療科目
- 目尻切開 / 垂れ目(パンダ目)形成(グラマラスライン/下眼瞼下制術)
Before
After(1ヶ月後)
Before
After(1ヶ月後)
料金
| 垂れ目(パンダ目)形成(グラマラスライン/下眼瞼下制術) | 片目 ¥148,500(税込) |
|
| 両目 ¥275,000(税込) |
|
|
| 高須幹弥医師の場合 片目 ¥192,500(税込) |
|
|
| 高須幹弥医師の場合 両目 ¥385,000(税込) |
銀座 横浜 名古屋 大阪 |
| 目尻切開 | 片目 ¥148,500(税込) |
|
| 両目 ¥275,000(税込) |
|
|
| 高須幹弥医師の場合 片目 ¥192,500(税込) |
|
|
| 高須幹弥医師の場合 両目 ¥385,000(税込) |
全院 |
リスク・副作用・合併症
垂れ目(タレ目,パンダ目)形成(グラマラスライン/下眼瞼下制術)
目尻切開
この症例と同じ診療科目の
症例写真はこちら
目尻切開
20代男性の患者様で、以前に私が二重まぶた全切開法と目頭切開させていただいてました。
その後、「もっと目を大きくしたい」というご要望で来院されました。
もっと目頭を切開して目を内側に大きくすることや、眼瞼下垂手術をしてまぶたの開きを良くすることもできなくはありませんが、それらの手術をすると、今よりキツい目になってしまいます。
また、「つり目を改善させたい」というご要望もあったので、目尻切開で目を外側に広げ、同時にタレ目形成(グラマラスライン、下眼瞼下制術)を行い、下まぶたの外側を下に広げて更に目を大きくすることになりました。
目尻切開はW法に準じて目尻を小さくジグザグに切開し、目尻を約1.5mm広げ(この患者様の目尻は約1.5mm広げるのが最大限でした)、外側に広がった分は上下にも広がって更に目が大きくなるようにしました。
タレ目形成は、下まぶたの外側が約2mm下がるようにし、下がったことによって生じた余分な皮膚を切除して縫合しました(これ以上下げると、黒目の下の白目が見え下三泊眼になる、外反して粘膜が見えアカンベーの状態になる、ドライアイになるなどの合併症、副作用がでるため、自然な範囲内、安全な範囲内で最大限下げました)。
手術後は、自然な範囲内、安全な範囲内でほどよく目が大きくなり、また、ややつり目が改善したためはっきりとした印象の目になりました。
料金
| 片目 ¥148,500(税込) |
|
| 両目 ¥275,000(税込) |
|
| 高須幹弥医師の場合 片目 ¥192,500(税込) |
|
| 高須幹弥医師の場合 両目 ¥385,000(税込) |
銀座 横浜 名古屋 大阪 |
| 片目 ¥148,500(税込) |
|
| 両目 ¥275,000(税込) |
|
| 高須幹弥医師の場合 片目 ¥192,500(税込) |
|
| 高須幹弥医師の場合 両目 ¥385,000(税込) |
全院 |
リスク・副作用・合併症
垂れ目(タレ目,パンダ目)形成(グラマラスライン/下眼瞼下制術)
目尻切開
タレ目尻切開をされた患者様のお写真です。
白目や黒目が見える幅が広くなる為、切れ長で大きな目を作り出す効果があるほか、優しい目元の印象に変化させることが可能です。
気になる方は是非一度診察にお越しください。
料金
| 片目 ¥148,500(税込) |
|
| 両目 ¥275,000(税込) |
|
| 高須幹弥医師の場合 片目 ¥192,500(税込) |
|
| 高須幹弥医師の場合 両目 ¥385,000(税込) |
全院 |
リスク・副作用・合併症
目尻切開
この方は、目をすっきり大きく見せたいとのご希望がありました。
術前の状態は、上まぶたのたるみがあり二重に被さっています。
そして、そのために眉毛を挙上しています。
また、下まぶたにはヒアルロン酸注入による涙袋を認めますが、量が多いため下まぶたが上にせりあがっている状態で目を小さく見せています。
改善方法としては、上まぶたのたるみを取り、二重の幅が見える状態にします。
そのことで眉毛が上がっていることも改善します。
さらに、ヒアルロニダーゼでヒアルロン酸を溶かした上で、たれ目形成を行い、下まぶたがせりあがっている状態を改善します。
黒目より外側の白目の露出を多くするために目尻切開も追加しています。
術後、目の周りは自然に大きくすっきりした状態に改善しました。
料金
| 片目 ¥192,500(税込) |
|
| 両目 ¥385,000(税込) |
全院 |
| 片目 ¥148,500(税込) |
|
| 両目 ¥275,000(税込) |
|
| 高須幹弥医師の場合 片目 ¥192,500(税込) |
|
| 高須幹弥医師の場合 両目 ¥385,000(税込) |
全院 |
| 片目 ¥148,500(税込) |
|
| 両目 ¥275,000(税込) |
|
| 高須幹弥医師の場合 片目 ¥192,500(税込) |
|
| 高須幹弥医師の場合 両目 ¥385,000(税込) |
銀座 横浜 名古屋 大阪 |
リスク・副作用・合併症
上まぶたたるみ取り
目尻切開
垂れ目(タレ目,パンダ目)形成(グラマラスライン/下眼瞼下制術)
30代の女性が「目の横幅を大きくしたい。垂れ目にして優しい感じにしつつ目を縦にも大きくしたい」とのご要望で来院されました。
目を横に大きくする手術は目頭切開、目尻切開があります。
この患者様の場合、目頭切開をすると目が寄り気味に見えてしまったり、涙丘(目の内側の赤いところ)が見えすぎて不自然になってしまうため目頭切開は不向きと判断し、皮膚の余裕のある目尻切開を行いました。
垂れ目にする方法としては手術による垂れ目形成、目を下に大きくするボツリヌストキシン注射があります。
今回、患者様が元に戻らない治療を希望されましたので、垂れ目形成術(グラマラスライン/下眼瞼下制術)を行いました。
手術後は、後戻りすることなく目の外側が大きくなっています。
また垂れ目も後戻りすることなく優しい感じの目になりました。
目が一回り大きくなって華やかな印象になりました。
料金
| 片目 ¥148,500(税込) |
|
| 両目 ¥275,000(税込) |
|
| 高須幹弥医師の場合 片目 ¥192,500(税込) |
|
| 高須幹弥医師の場合 両目 ¥385,000(税込) |
全院 |
| 片目 ¥148,500(税込) |
|
| 両目 ¥275,000(税込) |
|
| 高須幹弥医師の場合 片目 ¥192,500(税込) |
|
| 高須幹弥医師の場合 両目 ¥385,000(税込) |
銀座 横浜 名古屋 大阪 |
リスク・副作用・合併症
目尻切開
垂れ目(タレ目,パンダ目)形成(グラマラスライン/下眼瞼下制術)
垂れ目(パンダ目)形成(グラマラスライン/下眼瞼下制術)
20代女性の患者様で、二重まぶた切開法を希望されていました。
二重まぶたは、小悪魔agehaのモデルのような、超幅広平行型二重を希望されていました。
合わせて、他の目を大きくする手術も希望されていました。
カウンセリングした結果、二重まぶた全切開法で超幅広平行型二重を作り、同時に目頭切開、目尻切開、タレ目形成(グラマラスライン)を行い、目を内側、外側、下側に大きくすることになりました。
二重まぶた全切開法は、目を閉じた状態で約10mmの位置で切開し、皮膚の切除は行わないで二重のラインを作成しました。
必要最小限の脂肪を除去する程度に抑え、必要以上に脂肪を取らないようにしました。
目頭切開はZ法に準じて行い、目頭の形を尖らせたまま2.0mm弱ずつ目を内側に大きくしました。
目尻切開は、自然な範囲内で目が最大限外側に広がるようにデザインして行い、その結果、約1.5mmずつ外側に広がりました。
タレ目形成は、目尻切開で外側に広がった部分も含めて下まぶたの黒目の外側を約2mm下げるようにしました。
手術後は、患者様の希望された超幅広平行型二重になりました。
また、目頭切開、目尻切開、タレ目形成の効果で目が一回り大きくなりました。
正直、私自身はこの二重をいいとは思わないし、私がデザインを決める場合は絶対にこのような二重はお勧めしません。
しかし、患者様が、このような二重を作ることを十分納得した上でこのような超幅広平行型二重を希望する場合は、患者様のキャラクター、理解力、記憶力、攻撃性などを考慮させていただいた上でさせていただくことはあります。
料金
| 片目 ¥148,500(税込) |
|
| 両目 ¥275,000(税込) |
|
| 高須幹弥医師の場合 片目 ¥192,500(税込) |
|
| 高須幹弥医師の場合 両目 ¥385,000(税込) |
全院 |
脂肪切除をする場合や埋没法の糸を抜去する場合の費用も含まれております。
| 片目 ¥148,500(税込) |
|
| 両目 ¥275,000(税込) |
|
| 高須幹弥医師の場合 片目 ¥192,500(税込) |
|
| 高須幹弥医師の場合 両目 ¥385,000(税込) |
全院 |
| 片目 ¥148,500(税込) |
|
| 両目 ¥275,000(税込) |
|
| 高須幹弥医師の場合 片目 ¥192,500(税込) |
|
| 高須幹弥医師の場合 両目 ¥385,000(税込) |
全院 |
| 片目 ¥148,500(税込) |
|
| 両目 ¥275,000(税込) |
|
| 高須幹弥医師の場合 片目 ¥192,500(税込) |
|
| 高須幹弥医師の場合 両目 ¥385,000(税込) |
銀座 横浜 名古屋 大阪 |
リスク・副作用・合併症
二重まぶた・全切開法
目頭切開
目尻切開
垂れ目(タレ目,パンダ目)形成(グラマラスライン/下眼瞼下制術)
20代男性の患者様で、目を大きくしたいというご要望でした。
診察させていただいたところ、やや幅広めの二重まぶたで、蒙古襞はそれほど張っていませんでした。
また、まぶたの開きも悪くなかったため、二重まぶた手術、眼瞼下垂手術、目頭切開は必要ないと思われました。
そのため、目尻切開とグラマラスライン(タレ目形成)を行うことになりました。
目尻切開は自然な範囲内で最大限広げ、約2mm外側に広がりました。
グラマラスラインは目尻切開で外側に広がった部分を含め、約2mm下方向に広がりました。
手術後はツリ目の印象が改善し、目が大きくなって華やかな印象になりました。
料金
| 片目 ¥148,500(税込) |
|
| 両目 ¥275,000(税込) |
|
| 高須幹弥医師の場合 片目 ¥192,500(税込) |
|
| 高須幹弥医師の場合 両目 ¥385,000(税込) |
全院 |
| 片目 ¥148,500(税込) |
|
| 両目 ¥275,000(税込) |
|
| 高須幹弥医師の場合 片目 ¥192,500(税込) |
|
| 高須幹弥医師の場合 両目 ¥385,000(税込) |
銀座 横浜 名古屋 大阪 |
リスク・副作用・合併症
目尻切開
垂れ目(タレ目,パンダ目)形成(グラマラスライン/下眼瞼下制術)
料金
| 片目 ¥148,500(税込) |
|
| 両目 ¥275,000(税込) |
|
| 高須幹弥医師の場合 片目 ¥192,500(税込) |
|
| 高須幹弥医師の場合 両目 ¥385,000(税込) |
銀座 横浜 名古屋 大阪 |
リスク・副作用・合併症
垂れ目(タレ目,パンダ目)形成(グラマラスライン/下眼瞼下制術)
30代の女性が「目の横幅を大きくしたい。垂れ目にして優しい感じにしつつ目を縦にも大きくしたい」とのご要望で来院されました。
目を横に大きくする手術は目頭切開、目尻切開があります。
この患者様の場合、目頭切開をすると目が寄り気味に見えてしまったり、涙丘(目の内側の赤いところ)が見えすぎて不自然になってしまうため目頭切開は不向きと判断し、皮膚の余裕のある目尻切開を行いました。
垂れ目にする方法としては手術による垂れ目形成、目を下に大きくするボツリヌストキシン注射があります。
今回、患者様が元に戻らない治療を希望されましたので、垂れ目形成術(グラマラスライン/下眼瞼下制術)を行いました。
手術後は、後戻りすることなく目の外側が大きくなっています。
また垂れ目も後戻りすることなく優しい感じの目になりました。
目が一回り大きくなって華やかな印象になりました。
料金
| 片目 ¥148,500(税込) |
|
| 両目 ¥275,000(税込) |
|
| 高須幹弥医師の場合 片目 ¥192,500(税込) |
|
| 高須幹弥医師の場合 両目 ¥385,000(税込) |
全院 |
| 片目 ¥148,500(税込) |
|
| 両目 ¥275,000(税込) |
|
| 高須幹弥医師の場合 片目 ¥192,500(税込) |
|
| 高須幹弥医師の場合 両目 ¥385,000(税込) |
銀座 横浜 名古屋 大阪 |
リスク・副作用・合併症
目尻切開
垂れ目(タレ目,パンダ目)形成(グラマラスライン/下眼瞼下制術)
20代女性の患者様で、二重まぶた手術希望で来院されました。
診察させていただいたところ、右目は奥二重で、左目はわずかに幅が見える末広型二重で、ご覧のように左右差がありました。
また、患者様は、「キツい印象の目を優しい印象にしたい」「少しでも目を大きくしたい」「アイラインを引いても奥二重のようにならず、ちゃんと二重だってわかるように二重の幅を広げたい」「平行型の二重にしたい」というご要望もありました。
二重に関しては、蒙古襞を乗り越えて平行型二重になるように、幅広いラインで全切開して二重を作ることになりました。
幅広いラインで平行型二重を作る場合は、ミニ切開法(部分切開法、小切開法)よりも全切開法のほうがはっきりとした綺麗な二重のラインになるからです。
また、ややキツい印象の目を優しい印象にするために、タレ目形成手術(グラマラスライン、下眼瞼下制術)も同時に行うことになりました。
この患者様の目は、下まぶたのラインが外側にいくにつれ、強く上につり上がっているため、下まぶたのラインの外側を下に下げることにより、目を大きくして優しい印象になります。
二重まぶた全切開法は、眼窩内脂肪をわずかに切除しました。
ROOFはそれほど発達していなかったため、切除しませんでした。
皮膚の切除も行いませんでした。
タレ目形成は、下まぶたの外側のラインが約2mm下がるようにし、下がった分は皮膚が余るので、最大で約4mmの幅で、目の端から端まで皮膚を切除しました。
術後は、平行型二重を作ったことにより優しい印象になって、患者様の希望通り、アイラインを引いても奥二重のようにならず、ちゃんと二重だとわかるようになりました。
また、タレ目形成手術により、目が大きくなって、つり目のキツい印象が改善しました。
料金
| 片目 ¥148,500(税込) |
|
| 両目 ¥275,000(税込) |
|
| 高須幹弥医師の場合 片目 ¥192,500(税込) |
|
| 高須幹弥医師の場合 両目 ¥385,000(税込) |
全院 |
脂肪切除をする場合や埋没法の糸を抜去する場合の費用も含まれております。
| 片目 ¥148,500(税込) |
|
| 両目 ¥275,000(税込) |
|
| 高須幹弥医師の場合 片目 ¥192,500(税込) |
|
| 高須幹弥医師の場合 両目 ¥385,000(税込) |
銀座 横浜 名古屋 大阪 |
リスク・副作用・合併症
二重まぶた・全切開法
垂れ目(タレ目,パンダ目)形成(グラマラスライン/下眼瞼下制術)
この症例の診療科目
ページはこちら
この施術を見た方は、以下の施術も見ています
※ 施術方法や施術の流れに関しましては、患者様ごとにあわせて執り行いますので、各院・各医師により異なります。予めご了承ください。
※ ホームページ上で掲載されている価格は税込表示となっております。
※ 当院で行う治療行為は保険診療適応外の自由診療になります。
施術方法は200種類以上
どんなお悩みでも
ご相談ください
当サイトは高須クリニック在籍医師の監修のもとで掲載しております。



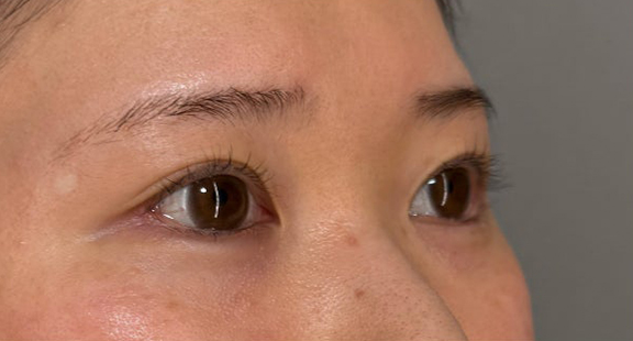
担当医:平野正之 医師
目を目尻切開とタレ目で大きくしたいとのご要望でした。
タレ目手術は結膜側から行っています。
斜めの角度から見ても、自然に可愛く目が大きくなっているのがわかるでしょうか。
目尻の形を比べると目尻切開の効果もよくわかりますね。
タレ目の手術で心掛けているのは、カクッとした、一部分だけ不自然な垂れ目にしないということです。
垂れ具合をうまくコントロールできないと、丸くて美しいグラマラスラインは作れないのです。
ぱっと見では、どこを手術したか分からなくてもなんとなく目が大きく見える。
そのような印象が出るのが大切だと思っています。