上まぶたたるみとり・目尻切開・垂れ目形成の症例写真
対象クリニックアイコンの凡例
- 銀
- :銀座高須クリニック
- 横
- :横浜院
- 名
- :名古屋院
- 栄
- :栄院
- 大
- :大阪院
- 全院
- :全院
- 診療科目
- 目尻切開 / 上まぶたたるみ取り / 垂れ目(パンダ目)形成(グラマラスライン/下眼瞼下制術)
Before
After(6ヶ月後)
料金
| 上まぶたたるみ取り | 片目 ¥192,500(税込) |
|
| 両目 ¥385,000(税込) |
全院 |
| 目尻切開 | 片目 ¥148,500(税込) |
|
| 両目 ¥275,000(税込) |
|
|
| 高須幹弥医師の場合 片目 ¥192,500(税込) |
|
|
| 高須幹弥医師の場合 両目 ¥385,000(税込) |
全院 |
| 垂れ目(パンダ目)形成(グラマラスライン/下眼瞼下制術) | 片目 ¥148,500(税込) |
|
| 両目 ¥275,000(税込) |
|
|
| 高須幹弥医師の場合 片目 ¥192,500(税込) |
|
|
| 高須幹弥医師の場合 両目 ¥385,000(税込) |
銀座 横浜 名古屋 大阪 |
リスク・副作用・合併症
上まぶたたるみ取り
目尻切開
垂れ目(タレ目,パンダ目)形成(グラマラスライン/下眼瞼下制術)
術後の経過
施術前
施術前です。
1週間後
1週間後です。
1ヶ月後
1ヶ月後です。
6ヶ月後
6ヶ月後です。
この症例と同じ診療科目の
症例写真はこちら
目尻切開
タレ目を作る手術について説明します。
まず一つは一般的に行われているたれ目形成手術、グラマラスラインの手術です。
下まつ毛のキワを切開して皮膚を2~4mm程度切除することで下睫毛縁が下方に引っ張られてたれ目になります。
また、CPFという上眼瞼の挙筋のような組織に糸をかけて瞼板と縫合することでさらに下方にけん引をします。
下瞼が曲線になるタレ目だと思ってください。
もう一つタレ目感を出す手術として、タレ目尻(目尻切開)、もしくは吊り目矯正という手術があります。こちらの症例写真に適用している施術です。
これはもともとlateral canthopexyという高齢者の下眼瞼の弛緩を修正する手術です。これを応用して下瞼のカーブのラインを一部直線になるように、下外側にけん引して骨膜に固定することでタレ目感を出す手術です。
タレ目尻(目尻切開)で施術した下まぶたは、やや直線的、カーブの少ないたれ目感がでます。
また、この患者様は同時に目頭切開も行っています。
料金
リスク・副作用・合併症
目尻切開
目頭切開
タレ目形成と、目尻切開の症例のご紹介です。
目を目尻切開とタレ目で大きくしたいとのご要望でした。
タレ目手術は結膜側から行っています。
斜めの角度から見ても、自然に可愛く目が大きくなっているのがわかるでしょうか。
目尻の形を比べると目尻切開の効果もよくわかりますね。
タレ目の手術で心掛けているのは、カクッとした、一部分だけ不自然な垂れ目にしないということです。
垂れ具合をうまくコントロールできないと、丸くて美しいグラマラスラインは作れないのです。
ぱっと見では、どこを手術したか分からなくてもなんとなく目が大きく見える。
そのような印象が出るのが大切だと思っています。
料金
| 片目 ¥148,500(税込) |
|
| 両目 ¥275,000(税込) |
|
| 高須幹弥医師の場合 片目 ¥192,500(税込) |
|
| 高須幹弥医師の場合 両目 ¥385,000(税込) |
銀座 横浜 名古屋 大阪 |
| 片目 ¥148,500(税込) |
|
| 両目 ¥275,000(税込) |
|
| 高須幹弥医師の場合 片目 ¥192,500(税込) |
|
| 高須幹弥医師の場合 両目 ¥385,000(税込) |
全院 |
リスク・副作用・合併症
垂れ目(タレ目,パンダ目)形成(グラマラスライン/下眼瞼下制術)
目尻切開
20代男性の患者様で、目を大きくしたいというご要望でした。
診察させていただいたところ、やや幅広めの二重まぶたで、蒙古襞はそれほど張っていませんでした。
また、まぶたの開きも悪くなかったため、二重まぶた手術、眼瞼下垂手術、目頭切開は必要ないと思われました。
そのため、目尻切開とグラマラスライン(タレ目形成)を行うことになりました。
目尻切開は自然な範囲内で最大限広げ、約2mm外側に広がりました。
グラマラスラインは目尻切開で外側に広がった部分を含め、約2mm下方向に広がりました。
手術後はツリ目の印象が改善し、目が大きくなって華やかな印象になりました。
料金
| 片目 ¥148,500(税込) |
|
| 両目 ¥275,000(税込) |
|
| 高須幹弥医師の場合 片目 ¥192,500(税込) |
|
| 高須幹弥医師の場合 両目 ¥385,000(税込) |
全院 |
| 片目 ¥148,500(税込) |
|
| 両目 ¥275,000(税込) |
|
| 高須幹弥医師の場合 片目 ¥192,500(税込) |
|
| 高須幹弥医師の場合 両目 ¥385,000(税込) |
銀座 横浜 名古屋 大阪 |
リスク・副作用・合併症
目尻切開
垂れ目(タレ目,パンダ目)形成(グラマラスライン/下眼瞼下制術)
20代女性の患者様で、二重まぶた切開法を希望されていました。
二重まぶたは、小悪魔agehaのモデルのような、超幅広平行型二重を希望されていました。
合わせて、他の目を大きくする手術も希望されていました。
カウンセリングした結果、二重まぶた全切開法で超幅広平行型二重を作り、同時に目頭切開、目尻切開、タレ目形成(グラマラスライン)を行い、目を内側、外側、下側に大きくすることになりました。
二重まぶた全切開法は、目を閉じた状態で約10mmの位置で切開し、皮膚の切除は行わないで二重のラインを作成しました。
必要最小限の脂肪を除去する程度に抑え、必要以上に脂肪を取らないようにしました。
目頭切開はZ法に準じて行い、目頭の形を尖らせたまま2.0mm弱ずつ目を内側に大きくしました。
目尻切開は、自然な範囲内で目が最大限外側に広がるようにデザインして行い、その結果、約1.5mmずつ外側に広がりました。
タレ目形成は、目尻切開で外側に広がった部分も含めて下まぶたの黒目の外側を約2mm下げるようにしました。
手術後は、患者様の希望された超幅広平行型二重になりました。
また、目頭切開、目尻切開、タレ目形成の効果で目が一回り大きくなりました。
正直、私自身はこの二重をいいとは思わないし、私がデザインを決める場合は絶対にこのような二重はお勧めしません。
しかし、患者様が、このような二重を作ることを十分納得した上でこのような超幅広平行型二重を希望する場合は、患者様のキャラクター、理解力、記憶力、攻撃性などを考慮させていただいた上でさせていただくことはあります。
料金
| 片目 ¥148,500(税込) |
|
| 両目 ¥275,000(税込) |
|
| 高須幹弥医師の場合 片目 ¥192,500(税込) |
|
| 高須幹弥医師の場合 両目 ¥385,000(税込) |
全院 |
脂肪切除をする場合や埋没法の糸を抜去する場合の費用も含まれております。
| 片目 ¥148,500(税込) |
|
| 両目 ¥275,000(税込) |
|
| 高須幹弥医師の場合 片目 ¥192,500(税込) |
|
| 高須幹弥医師の場合 両目 ¥385,000(税込) |
全院 |
| 片目 ¥148,500(税込) |
|
| 両目 ¥275,000(税込) |
|
| 高須幹弥医師の場合 片目 ¥192,500(税込) |
|
| 高須幹弥医師の場合 両目 ¥385,000(税込) |
全院 |
| 片目 ¥148,500(税込) |
|
| 両目 ¥275,000(税込) |
|
| 高須幹弥医師の場合 片目 ¥192,500(税込) |
|
| 高須幹弥医師の場合 両目 ¥385,000(税込) |
銀座 横浜 名古屋 大阪 |
リスク・副作用・合併症
二重まぶた・全切開法
目頭切開
目尻切開
垂れ目(タレ目,パンダ目)形成(グラマラスライン/下眼瞼下制術)
上まぶたたるみ取り
この方は、もともと二重まぶただったのですが、加齢により額、コメカミから上まぶたにかけて皮膚が下垂し、二重のラインがかくれてしまい、三角の老けた目になっていました。
こういうタイプの方は、二重のラインで皮膚のたるみを切除してしまうと、上の方の厚ぼったい皮膚で二重がつくられることになるので、自然できれいな二重にはなりにくいです。
この方自身、あまり大きな変化は望まず、少し皮膚のたるみが上に挙がって、もともと若いころにあった狭い二重を出して、自然な目にしてほしいということだったので、眉毛の下で皮膚のたるみを切除する眉下リフトを選択しました。
術後は、自然な二重になりました。
眉毛の下の傷はほとんど分からなくなってしまいますので心配ありません。
料金
| 片目 ¥192,500(税込) |
|
| 両目 ¥385,000(税込) |
全院 |
リスク・副作用・合併症
眉下リフト(上眼瞼リフト)
60代女性の患者様で、上まぶたの皮膚がたるみ、元々あった二重のラインが隠れてしまっていました。
特に目尻側のたるみが強く、被さりが大きいため、外側の視野が狭くなってしまい、サイドから車が接近してきてもそれが目に入らないため、いつもぶつかりそうになり危ないとおっしゃっていました。
加齢のため、上まぶたの皮膚だけでなく、コメカミや目尻のたるみもあったため、二重のラインで皮膚のたるみを切除する上まぶたたるみ取りと、眉毛の下で皮膚を切除して目尻のたるみを上げる上眼瞼リフトをすることをご提案しましたが、適度にたるみが取れれば良いというご希望だったので、二重のラインでのたるみ取りのみを行いました。
皮膚は約5mmの幅で切除しました。
余分な脂肪はなかったので、眼窩内脂肪やROOFは切除していません。
また、同時に新しく作る二重のラインで内部処理を行い、全切開二重と同じ要領で二重を作りました(目を閉じた状態で12mmの位置で作りました)。
術後はたるみが除去され、綺麗な二重が現れ、ハリのある目元になりました。
視野が広がり、生活が楽にもなったそうです。
料金
| 片目 ¥192,500(税込) |
|
| 両目 ¥385,000(税込) |
全院 |
リスク・副作用・合併症
上まぶたたるみ取り
20代女性の患者様で、二重まぶた手術希望で来院されました。
診察させていただいたところ、両目とも二重のラインはあるのですが、左のラインがはっきりせず、目尻側が途中で二股になって途切れている状態でした。
また、年齢相応にまぶたの皮膚が被さっており、特に外側の二重のラインの上に肉が被さっているような状態になっていました。
患者様は、二重のラインをはっきりさせて、二重の幅も今より少し広げて、尚且つ、二重のラインの上に被さっている皮膚と脂肪のボリュームを取ってほしいというご希望でした。
手術は、二重まぶたミニ切開法で二重のラインをはっきりさせ、眉下リフト(上眼瞼リフト)で、二重のラインの上に被さる皮膚と脂肪を除去することになりました。
二重まぶたミニ切開法は、元々ある二重のラインとほぼ同じ位置で切開し、二重のラインをはっきりさせるようにしました。
眉下リフトでは、最大幅約13mmで皮膚を切除し、わずかに眼輪筋とその下のROOFも切除しました。
眼窩内脂肪はそれほど余分に余っているわけではなかったため、除去しませんでした。
術後は、二重のラインがほぼ左右対称にはっきりし、また、まぶたの被さりが取れてスッキリしてました。
二重のラインの上に被さる皮膚のたるみは、二重のラインで切除すると、厚い皮膚ではなく薄い皮膚を切除することになるため、厚ぼったさが出てしまいます。
そのため、このような患者様に対しては、眉下リフトを行い、眉毛の下で余分な分厚い皮膚の切除をご提案しています。
安易に、二重まぶた全切開法のときに、二重のラインで余分な皮膚を切除してしまうと、まぶたの下の方の薄い皮膚を切除することになるため、厚ぼったい不自然な目になってしまいます。
料金
| 片目 ¥192,500(税込) |
|
| 両目 ¥385,000(税込) |
全院 |
| 片目 ¥148,500(税込) |
|
| 両目 ¥275,000(税込) |
|
| 高須幹弥医師の場合 片目 ¥192,500(税込) |
|
| 高須幹弥医師の場合 両目 ¥385,000(税込) |
全院 |
脂肪切除をする場合や埋没法の糸を抜去する場合の費用も含まれております。
リスク・副作用・合併症
眉下リフト(上眼瞼リフト)
二重まぶた・ミニ切開法(部分切開)
50代女性の患者様で、上まぶたのたるみやこめかみのたるみが気になるというお悩みでした。
この患者様は、以前にイタリアンリフトとバッカルファット除去手術を受けており、顔の下半分はそれなりに効果が出ていますが、上まぶたたるみやこめかみなどのたるみは変わっていないので、今度は上まぶたとこめかみのたるみを改善させることになりました。
上まぶたは、上まぶたたるみ取り手術で、二重の幅を広げ、たるんでいる余分な皮膚を切除しました。
切除幅は最大で4mm程度にとどめ、二重の幅はわずかに広げる程度にしました。
こめかみは、頭髪内で片側6cm程度皮膚切開し、TPF下を目尻まで剥離した後、TPF同士を縫縮しました。
術後は下がっていたこめかみがリフトアップされました。
また、上まぶたのたるみが除去されたことにより、二重の幅が広がり、全体的にハツラツとした印象になりました。
上まぶたの外側のたるみは、上まぶたのそのものがたるんでいることが多いですが、こめかみがたるんでいることにより、余計に上まぶたの外側もたるんでいることが多いです。
その場合、上まぶたたるみ取り手術とこめかみリフト手術の両方を行うと、綺麗に改善することがあります。
リスク・副作用・合併症
こめかみリフト
上まぶたたるみ取り
垂れ目(パンダ目)形成(グラマラスライン/下眼瞼下制術)
料金
| 片目 ¥148,500(税込) |
|
| 両目 ¥275,000(税込) |
|
| 高須幹弥医師の場合 片目 ¥192,500(税込) |
|
| 高須幹弥医師の場合 両目 ¥385,000(税込) |
銀座 横浜 名古屋 大阪 |
リスク・副作用・合併症
垂れ目(タレ目,パンダ目)形成(グラマラスライン/下眼瞼下制術)
20代女性です。
ご自身でアイプチを使い幅広めの平行二重を作っていたのですが、「ラインが安定しない、目をもっと大きくしたい」とのことで来院されました。
二重まぶたは全切開二重で、右まぶたはアイプチのラインに合わせてつくることとし、それに合わせて左はアイプチのラインよりもほんの少し狭い二重をつくりました。
さらに、目を大きくするため目頭切開と垂れ目形成を同時に行っております。
目頭切開はZ法で行い、垂れ目形成はCPFの短縮と余った皮膚の切除を行っております。
幅広平行二重にすると、どうしても腫れが目立ちやすくダウンタイムが長くなりやすいですが、6ヶ月後にはなじんで綺麗になり傷跡も自然になっています。
目頭切開、垂れ目形成に効果もあり、手術前は目が細くツリ目気味でしたが綺麗なアーモンドアイになりました。
料金
| 片目 ¥148,500(税込) |
|
| 両目 ¥275,000(税込) |
|
| 高須幹弥医師の場合 片目 ¥192,500(税込) |
|
| 高須幹弥医師の場合 両目 ¥385,000(税込) |
全院 |
脂肪切除をする場合や埋没法の糸を抜去する場合の費用も含まれております。
| 片目 ¥148,500(税込) |
|
| 両目 ¥275,000(税込) |
|
| 高須幹弥医師の場合 片目 ¥192,500(税込) |
|
| 高須幹弥医師の場合 両目 ¥385,000(税込) |
全院 |
| 片目 ¥148,500(税込) |
|
| 両目 ¥275,000(税込) |
|
| 高須幹弥医師の場合 片目 ¥192,500(税込) |
|
| 高須幹弥医師の場合 両目 ¥385,000(税込) |
銀座 横浜 名古屋 大阪 |
リスク・副作用・合併症
二重まぶた・全切開法
目頭切開
垂れ目(タレ目,パンダ目)形成(グラマラスライン/下眼瞼下制術)
20代男性の患者様で、以前に私が二重まぶた全切開法と目頭切開させていただいてました。
その後、「もっと目を大きくしたい」というご要望で来院されました。
もっと目頭を切開して目を内側に大きくすることや、眼瞼下垂手術をしてまぶたの開きを良くすることもできなくはありませんが、それらの手術をすると、今よりキツい目になってしまいます。
また、「つり目を改善させたい」というご要望もあったので、目尻切開で目を外側に広げ、同時にタレ目形成(グラマラスライン、下眼瞼下制術)を行い、下まぶたの外側を下に広げて更に目を大きくすることになりました。
目尻切開はW法に準じて目尻を小さくジグザグに切開し、目尻を約1.5mm広げ(この患者様の目尻は約1.5mm広げるのが最大限でした)、外側に広がった分は上下にも広がって更に目が大きくなるようにしました。
タレ目形成は、下まぶたの外側が約2mm下がるようにし、下がったことによって生じた余分な皮膚を切除して縫合しました(これ以上下げると、黒目の下の白目が見え下三泊眼になる、外反して粘膜が見えアカンベーの状態になる、ドライアイになるなどの合併症、副作用がでるため、自然な範囲内、安全な範囲内で最大限下げました)。
手術後は、自然な範囲内、安全な範囲内でほどよく目が大きくなり、また、ややつり目が改善したためはっきりとした印象の目になりました。
料金
| 片目 ¥148,500(税込) |
|
| 両目 ¥275,000(税込) |
|
| 高須幹弥医師の場合 片目 ¥192,500(税込) |
|
| 高須幹弥医師の場合 両目 ¥385,000(税込) |
銀座 横浜 名古屋 大阪 |
| 片目 ¥148,500(税込) |
|
| 両目 ¥275,000(税込) |
|
| 高須幹弥医師の場合 片目 ¥192,500(税込) |
|
| 高須幹弥医師の場合 両目 ¥385,000(税込) |
全院 |
リスク・副作用・合併症
垂れ目(タレ目,パンダ目)形成(グラマラスライン/下眼瞼下制術)
目尻切開
20代女性の患者様で、タレ目形成(グラマラスライン)手術を希望されて来院されました。
診察させていただいたところ、下まぶたのラインのカーブの外側への上がり方がやや急な、つり目が強調された目をしていました。
また、黒目の下の白目が見えている下三白眼でした。
下三白眼は、「犯罪者の目」とも呼ばれ、一般的に陰気で、あまりよくない印象の目です。
稀に女優さんなどで、下三白眼でエキゾチックな魅力な人もいますが、そのような人は、それ以外のパーツやスタイルなどを含め、全体的に奇跡的なバランスで魅力がある場合がほとんどです。
そのため、これ以上下三白眼が悪化しないように、黒目の真下は下げず、黒目の外側のみを下げるように手術することになりました。
手術後は、下三白眼が悪化することなく、黒目の外側が程よく下がり、綺麗なグラマラスラインになりました。
また、つり目が適度に改善して、優しい印象の大きな目にもなりました。
料金
| 片目 ¥148,500(税込) |
|
| 両目 ¥275,000(税込) |
|
| 高須幹弥医師の場合 片目 ¥192,500(税込) |
|
| 高須幹弥医師の場合 両目 ¥385,000(税込) |
銀座 横浜 名古屋 大阪 |
リスク・副作用・合併症
垂れ目(タレ目,パンダ目)形成(グラマラスライン/下眼瞼下制術)
20代女性の患者様で、全体的に目を大きくして、印象を変えたいというご要望でした。
診察させていただいたところ、二重に関しては、目を開けた状態でそこそこ二重の幅が見える状態でした。
蒙古襞はほとんど発達しておらず、涙丘(目頭側の赤い粘膜の盛り上っている部分)がはっきりと見えており、目と目の間隔は広くありませんでした。
全体的に目が細く、ややつり目気味でした。
また、下まぶたに眼窩内脂肪が張り出しており、目の下のクマを強調させていました。
手術は、二重まぶた全切開法、目尻切開、タレ目形成(グラマラスライン)、目の下脂肪取りの4つをすることになりました。
目と目の間隔は広くなく、蒙古襞も発達していなかったので、目頭切開はする必要はありませんでした。
二重まぶた全切開法で、二重の幅を少し広げ、華やかな目元になるようにしました。
元々蒙古襞が張っていなかったため、必然的に平行型の二重になりました。
アイラインを引いたりつけまつ毛をしても、はっきりと二重だとわかるようになりました。
目尻切開はW字切開の内田法に準じたデザインで行い、最大限広げた結果、約2mm程度広がり、外側に広がった分は上下にも広がるようにしました。
タレ目形成(グラマラスライン)は、下三白眼にならないように黒目の真下の下まぶたは下げず、黒目の外側のみ約2mm下げるようにしました(安全な範囲、自然な範囲内で約2mmが最大限でした)。
タレ目形成の際、余分な下まぶたの皮膚は切除し、ついでに下まぶたの眼窩内脂肪を適量除去しました。
術後は、目が一回り大きくなって、つり目が改善しました。すっぴんでも化粧をしても悪くなく、全体的に華やかな目元になりました。
料金
| 片目 ¥148,500(税込) |
|
| 両目 ¥275,000(税込) |
|
| 高須幹弥医師の場合 片目 ¥192,500(税込) |
|
| 高須幹弥医師の場合 両目 ¥385,000(税込) |
全院 |
脂肪切除をする場合や埋没法の糸を抜去する場合の費用も含まれております。
| 片目 ¥148,500(税込) |
|
| 両目 ¥275,000(税込) |
|
| 高須幹弥医師の場合 片目 ¥192,500(税込) |
|
| 高須幹弥医師の場合 両目 ¥385,000(税込) |
全院 |
| 目の下(片目) ¥275,000(税込) |
|
| 目の下(両目) ¥550,000(税込) |
全院 |
| 片目 ¥148,500(税込) |
|
| 両目 ¥275,000(税込) |
|
| 高須幹弥医師の場合 片目 ¥192,500(税込) |
|
| 高須幹弥医師の場合 両目 ¥385,000(税込) |
銀座 横浜 名古屋 大阪 |
リスク・副作用・合併症
二重まぶた・全切開法
目尻切開
目の下(下瞼)の脂肪取り
垂れ目(タレ目,パンダ目)形成(グラマラスライン/下眼瞼下制術)
この症例の診療科目
ページはこちら
この施術を見た方は、以下の施術も見ています
※ 施術方法や施術の流れに関しましては、患者様ごとにあわせて執り行いますので、各院・各医師により異なります。予めご了承ください。
※ ホームページ上で掲載されている価格は税込表示となっております。
※ 当院で行う治療行為は保険診療適応外の自由診療になります。
施術方法は200種類以上
どんなお悩みでも
ご相談ください
当サイトは高須クリニック在籍医師の監修のもとで掲載しております。



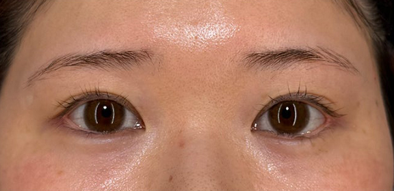
術前の状態は、上まぶたのたるみがあり二重に被さっています。
そして、そのために眉毛を挙上しています。
また、下まぶたにはヒアルロン酸注入による涙袋を認めますが、量が多いため下まぶたが上にせりあがっている状態で目を小さく見せています。
改善方法としては、上まぶたのたるみを取り、二重の幅が見える状態にします。
そのことで眉毛が上がっていることも改善します。
さらに、ヒアルロニダーゼでヒアルロン酸を溶かした上で、たれ目形成を行い、下まぶたがせりあがっている状態を改善します。
黒目より外側の白目の露出を多くするために目尻切開も追加しています。
術後、目の周りは自然に大きくすっきりした状態に改善しました。