症例写真の検索結果
503 件の症例があります。
再検索する
※ 施術方法や施術の流れに関しましては、患者様ごとにあわせて執り行いますので、各院・各医師により異なります。予めご了承ください。
※ ホームページ上で掲載されている価格は税込表示となっております。
※ 当院で行う治療行為は保険診療適応外の自由診療になります。
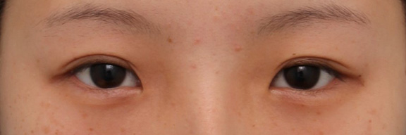
二重まぶた・埋没法の症例 幅の狭い自然な末広型の二重がご希望
20代 / 女性
料金
リスク・副作用・合併症
二重まぶた・埋没法
二重まぶた・埋没法の症例 幅の狭い平行型の二重になった20代女性
20代 / 女性
料金
リスク・副作用・合併症
二重まぶた・埋没法
「アイテープ歴10年以上」の患者さまの二重埋没法の治療経過のご紹介です。
アイテープ歴が長いと、どうしてもまぶたの皮膚が伸びてしまって、シワシワになってしまい、まぶたに何本もラインが入ってしまう事になってしまいます。
治療前の写真でも、向かって右側(左目)はすでに何本かラインが入りシワシワになりかけています。
ナチュラルな二重まぶたをご希望でしたので、6mm幅で、奥二重にするイメージで二重まぶたのデザインをしました。
術後は目を閉じても傷跡は目立ちません。
術後の腫れも2~3日はちょっと泣いたように腫れますが、術後2日目からアイメイクができるので、ほぼダウンタイム無しで治療できます。
料金
リスク・副作用・合併症
二重まぶた・埋没法
料金
リスク・副作用・合併症
二重まぶた・埋没法
埋没法で幅の狭い平行型二重を作った症例写真
20代 / 女性
20代の女性の方で、右が一重で、左が狭い末広型の二重だったのですが、御本人様は、左右差を治したいということと、狭い平行型の二重を望んでいらっしゃいました。
ややまぶたの厚みがあるということと、そこそこ広い幅の二重を望んでいたこともあり、ミニ切開法が最も適していたのですが、ダウンタイムがとれないなどの理由で埋没法で行うことになりました。
この方は、元々蒙古襞があまり発達していなかったので、目を閉じた状態で約8mmのところで二重を作ったら、必然的に平行型の二重になりました。
ほぼ左右対称の二重になりました。
料金
リスク・副作用・合併症
二重まぶた・埋没法
二重まぶた・埋没法の症例 20代女性の術後約1週間経過した様子
20代 / 女性
料金
リスク・副作用・合併症
二重まぶた・埋没法
20代女性の左右差のあるお目元を、埋没2針固定で整えた症例写真
20代 / 女性
20代の女性が左右差のある目元のお悩みで来院されました。
右目は一重、左目は末広の二重と左右差のあるお目元です。普段から右目のみアイプチを使用しておられるとのことでした。
こういった場合片目だけの手術をすることも可能ですが、今回は左目も平行っぽい末広にしたいとのご要望でしたので、両目とも手術を行うこととしました。
術式はご本人様のご希望通り、埋没法で行うこととしました。平行っぽい末広にするためには内側のラインをしっかりとさせたほうがキレイな形になるので、埋没2針固定を提案し施術いたしました。
術後は、左右差のあるお目元が改善されてます。また左目も内側のラインが上がって平行っぽい末広に仕上がっています。
料金
リスク・副作用・合併症
二重まぶた・埋没法
10代女性に埋没2針固定を行い、幅広めの平行二重にした症例写真
10代 / 女性
元々奥二重の10代女性の患者様が、幅広めの平行二重を希望されて来院されました。
ほぼ一重に見える幅狭の奥二重で、厚みのある瞼をしておられます。
ご本人様が埋没法による幅広めの平行二重を希望しておられましたので、埋没2針固定をご提案させていただきました。
二重のラインがハッキリ見えて、目元の印象が華やかになりました。
料金
リスク・副作用・合併症
二重まぶた・埋没法
元々は奥二重気味の幅の狭い二重で逆さまつげもあったため、数年前に他院で埋没法による逆さまつげの治療をされていました。
その時は末広型にされていたのですが、左目のラインが浅くなってきたのと、ナチュラルな平行型にされたいとのことで御来院されました。
蒙古ひだの張りもある程度強めでしたので、本来であれば全切開による二重手術をおすすめしたいところなのですが、どうしてもダウンタイムが取れない御事情がお有りでしたので、埋没2針固定で治療を行うこととしました。
メイクをされても自然な感じの平行二重が完成しました。
料金
リスク・副作用・合併症
二重まぶた・埋没法
20代女性に埋没2針固定を行い、自然な平行二重にした症例写真
20代 / 女性
元々奥二重の患者様が、平行二重を希望されて来院されました。
このような患者様に極端な幅広の平行二重を作ると、厚ぼったくて眠そうなわざとらしい二重になってしまうので、ある程度幅のある自然な平行二重を提案しました。
術式は全切開、もしくは埋没2針固定を提案いたしましたところ、まずは埋没での治療を希望されました。
右目の蒙古ひだのほうが張りが強い患者様でしたので、右目の内側は左目側とは固定位置を少し変えています(左右同じように固定をすると、右目は末広に戻ってしまうことがあります) 。
右目も末広になることなく、いい感じの自然な平行二重になりました。
料金
リスク・副作用・合併症
二重まぶた・埋没法
今までアイプチを使って二重にしていましたが、だんだん皮膚が伸びてきて、二重のラインも安定しなくなってきたため、手術を希望されました。
仕事もありダウンタイムが長く取れないけれど、なるべく元に戻りにくい方法で、ナチュラルな平行二重にしたいというご希望でしたので、埋没の2針固定を提案・選択されました。
料金
リスク・副作用・合併症
二重まぶた・埋没法
まぶたに厚みがなく、完全に一重だった方です。ご希望だったのは、アイドルや女優さんなどの正統派美少女に多い「幅の狭い末広タイプの二重」でした。
二重になることで黒目が引き立つ大きな目になって、顔全体の印象が可愛らしくなりました。
埋没法の場合、幅を狭く仕上げるほど元に戻ってしまう心配が少なくなります。この方は5年が経過していますが、施術したての美しい二重を保っています。
料金
リスク・副作用・合併症
二重まぶた・埋没法
人は目を見てお話することが多いため、目の印象は大切な要素のひとつだと思います。
二重治療は切開治療と埋没治療に大きく分かれます。
埋没法は切開法に比べると腫れと内出血が少なく、治療したことが周囲にばれにくいため初めて美容整形をする患者様たちに人気の高い治療です。
こちらの患者様は末広型でナチュラルなラインを希望されていました。
目だけのバランスだけでなく、眉、額、鼻など顔全体のバランスを考慮し、患者様とじっくり相談しながら二重のラインを決めさせていただきました。
二重のラインを悩んでいる方は、医師に色々なパターンの二重を患者様ご自身の目でシミュレーションしてもらってから治療すると満足度が高いです。
年齢を重ねてもきれいなラインをキープできるような無理のないラインがおすすめです。
料金
リスク・副作用・合併症
二重まぶた・埋没法
二重まぶた・埋没法の症例 一重のため表情が暗く見えていた30代女性
30代 / 女性
一重のため、表情が暗く見えていた30代女性。明るい表情に憧れて、末広型の二重を希望されました。施術は埋没法で行い、自然な二重まぶたになりました。華やかな目もとになり、アイメイクも映えますね。
料金
リスク・副作用・合併症
二重まぶた・埋没法
埋没法による二重治療はプチ整形の代表です。毎日、アイプチをする事が大変だと感じている方、メイクを落としても二重のままでいたい方、切ったりするのは抵抗があるけれど糸でとめるだけならやってみたい方等、患者様によって動機は様々です。糸をはずせば元の目に戻るという安心感がこの治療をしてみたいかもという思いに繋がるようです。治療時間は10分もかかりません。局所麻酔をするので、ちょうど予防接種のような軽いチクッとした感じの痛みを我慢すれば治療中は痛みを感じることはありません。過去の私の患者様の中に先端恐怖症だけど埋没法の二重治療をしてみたいという方がいらっしゃいましたが、そういう方には治療中に色々と工夫させていただきました。針が怖いとか、痛みに弱い方は私に前もって教えて下さいね。
料金
リスク・副作用・合併症
二重まぶた・埋没法
埋没法の症例写真
10代 / 女性
10代半ばの女性です。
一重まぶたで、まつ毛の生え際に皮膚が被さっている状態でした。
幅の狭い平行二重にしたいという希望で、まつ毛の生え際より約7mmの位置で埋没法(1針固定)を行いました。
1針固定というのは他院で行っている1点留めという方法と違い、2点の間を結ぶ1本のラインで固定する方法で2点留めの改良法ともいえる方法です。
もともとまつ毛の生え際に皮膚が被さっている方は、実は末広二重の方がまつ毛の生え際が出やすく、平行二重にする方が出にくいことが多いです。
それどころか、幅広平行二重にすると手術前よりもまつ毛の生え際に皮膚がかぶってしますこともあり得ます。
しかしながら末広二重ではやや華やかさにかけます。
そういったこともあり、この方はこのような幅の狭い平行二重がベストな選択であったと思います。
1ヶ月でほぼ完成し自然な平行二重になりました。
料金
リスク・副作用・合併症
二重まぶた・埋没法
二重まぶた・埋没法の症例 幅の狭い平行二重にしたいと希望の20代女性
20代 / 女性
20代の女性で「幅の狭い平行二重にしたい」と希望され来院されました。
しかしながら、蒙古襞が張っている目をしておられるので、二重瞼の幅を狭くするとラインが蒙古襞の中に入り末広二重になってしまいます。
平行二重にしようとすると、かなり幅の広い二重瞼にすることになります。
この方の場合、幅の狭い平行二重にするには目頭切開も行う必要が有り、傷跡が目立つ可能性も有り、また目頭切開の費用もかかってしまいます。
ということで、あまり幅は広げずに平行二重と末廣二重の中間ぐらいの二重瞼にしました。
方法は、埋没法一針固定で行っています。
1週間後はまだ少し内出血跡が残っていますが、手術後3日目からはアイメイクが可能なので目立たなくできます。
この後数日で内出血跡は消えました。
とても自然な二重瞼になりました。
この方の場合、これぐらいの二重瞼が「自分に合った二重瞼」ということになります。
料金
リスク・副作用・合併症
二重まぶた・埋没法
埋没二針法を施術された患者様の術後3ヶ月の経過です。
目に光が入るようにしてほしいとのご希望でした。
元の目の大きさを活かし、より目力のある二重になりました。
取れにくい埋没を希望される方は高須クリニックの二針法をご検討ください。
料金
リスク・副作用・合併症
二重まぶた・埋没法
埋没二針法の施術された患者様です。
睫毛のキワが見えるような二重幅にして、メイクの映える華やかな目元に仕上がりました。
取れにくい埋没を希望される方は高須クリニックのニ針法をご検討ください。
料金
リスク・副作用・合併症
二重まぶた・埋没法
吊り目矯正の手術のご紹介です。
吊り目矯正は、グラマラスラインとは違い、どちらかというと下瞼を引っ張って外側の組織に縫合してくる手術です。
下瞼のテンションは外側に引っ張られます。
こちらの患者様は「二重の埋没法と自然にタレ目にしたい」というご要望でした。
目尻側の皮膚のかぶさりに余裕があったため、目尻で皮膚切開と下眼瞼の骨膜固定を行う吊り目矯正を行い可愛らしい印象になりました。
目尻切開の適応がある方では自然にタレ目っぽい形にすることができます。
吊り目矯正の手術ではややダウンタイムが長くなります。
料金
| 片目 ¥55,000(税込) |
|
| 両目 ¥99,000(税込) |
全院 |
| 片目 ¥99,000(税込) |
|
| 両目 ¥187,000(税込) |
全院 |
| 片目 ¥148,500(税込) |
|
| 両目 ¥275,000(税込) |
|
| 高須幹弥医師の場合 片目 ¥192,500(税込) |
|
| 高須幹弥医師の場合 両目 ¥385,000(税込) |
全院 |
リスク・副作用・合併症
二重まぶた・埋没法
目尻切開
施術方法は200種類以上
どんなお悩みでも
ご相談ください
当サイトは高須クリニック在籍医師の監修のもとで掲載しております。





