二重まぶた・ミニ切開法(部分切開)の症例画像一覧
41 件の症例があります。
再検索する
※ 施術方法や施術の流れに関しましては、患者様ごとにあわせて執り行いますので、各院・各医師により異なります。予めご了承ください。
※ ホームページ上で掲載されている価格は税込表示となっております。
※ 当院で行う治療行為は保険診療適応外の自由診療になります。
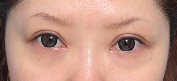
20代女性の患者様で、蒙古襞が発達しており、目頭の形が丸く、目と目の間隔が広いのが悩みでした。
また、過去に埋没法で二重を作っていましたが、糸が緩んで二重のラインがはっきりしなくなっていました。
手術は目頭切開と二重まぶたミニ切開法をすることになりました。
目頭切開はZ法で行い、目頭が斜め下方向に自然に尖るようにしました。
Z法で行えば、目頭を自然に尖らせることができ、不自然に目頭が丸くなったり、パンチで穴を開けたようにはなりません。
また、Z法は他の術式に比べ、傷痕が目立ちません。
二重まぶたミニ切開法は、目を閉じた状態で約7mmの位置で切開して、二重を作りました。
術後は自然な末広型の二重になり、目頭が約2mmずつ内側に広がったため、目と目の間隔のバランスが丁度良くなりました。
料金
| 片目 ¥148,500(税込) |
|
| 両目 ¥275,000(税込) |
|
| 高須幹弥医師の場合 片目 ¥192,500(税込) |
|
| 高須幹弥医師の場合 両目 ¥385,000(税込) |
全院 |
脂肪切除をする場合や埋没法の糸を抜去する場合の費用も含まれております。
| 片目 ¥148,500(税込) |
|
| 両目 ¥275,000(税込) |
|
| 高須幹弥医師の場合 片目 ¥192,500(税込) |
|
| 高須幹弥医師の場合 両目 ¥385,000(税込) |
全院 |
リスク・副作用・合併症
二重まぶた・ミニ切開法(部分切開)
目頭切開
やや広めの幅で作ったミニ切開二重症例写真
20代 / 女性
20代女性の患者様で、元々一重まぶたで細い目だったので、ぱっちり二重にしたいという御要望でした。
やや幅広めが御希望だったので、目を閉じた状態で、約9mmの位置で切開し、二重を作りました。
まぶたの厚みはそれほどなかったので、ROOFは切除せず、眼窩内脂肪はわずかに切除しました。
ミニ切開法なので、皮膚は切除していません。
術後は、目を開けた状態で、黒目の中心の上の二重の幅は約1.5mmになりました。
また、元々蒙古襞の形に微妙な左右差があったため、右目の目頭の二重の形はほぼ平行型に、左目の目頭の二重の形は平行型と末広型の中間くらいになりました。
料金
| 片目 ¥148,500(税込) |
|
| 両目 ¥275,000(税込) |
|
| 高須幹弥医師の場合 片目 ¥192,500(税込) |
|
| 高須幹弥医師の場合 両目 ¥385,000(税込) |
全院 |
脂肪切除をする場合や埋没法の糸を抜去する場合の費用も含まれております。
リスク・副作用・合併症
二重まぶた・ミニ切開法(部分切開)
一重まぶたをミニ切開法で狭くて自然な末広型二重にした症例写真
20代 / 女性
20代女性の患者様で、元々両目が一重まぶたで皮膚が被さっていたため、まぶたの開きが悪く見えていました。
あまり派手なメイクをしない方で、すっぴんやナチュラルメイクでも自分の顔に合った自然な二重を望んでいたため、目を閉じた状態で約6mmの位置でミニ切開法を行い、狭めの末広型二重を作りました。
蒙古襞がそれなりにある方なので、狭い二重を作ると必然的に末広型二重になります。
また、元々まぶたの厚みはそれほどなかったため、眼窩内脂肪やROOFは切除せず、二重を作るライン上の皮膚を薄くするために瞼板上の脂肪をわずかに切除したのみです。
この方は元々まぶたの開き自体それほど良くないため、眼瞼下垂手術を行わずに二重の手術だけで幅の広い二重を作ると、すっぴんやナチュラルメイクになるとかなり眠たそうな目になってしまうので、これくらいの幅の二重が最も自然で似合う二重になります。
料金
| 片目 ¥148,500(税込) |
|
| 両目 ¥275,000(税込) |
|
| 高須幹弥医師の場合 片目 ¥192,500(税込) |
|
| 高須幹弥医師の場合 両目 ¥385,000(税込) |
全院 |
脂肪切除をする場合や埋没法の糸を抜去する場合の費用も含まれております。
リスク・副作用・合併症
二重まぶた・ミニ切開法(部分切開)
もともと狭い末広型二重の人にミニ切開二重を行い幅広平行二重にした症例写真
20代 / 女性
20代女性の患者様で、元々目を閉じた状態で約5mmの位置に二重のラインがあり、目を開けると狭い末広型の二重でした。
幅の広い平行型二重を希望されていたため、目を閉じた状態で約12mmの位置でミニ切開法で二重を作りました。
この方は元々蒙古襞があまり発達しておらず、まぶたの皮膚が薄くて目ヂカラが強いので、ミニ切開法だけで自然な幅広の平行型二重になりました。
目を開けた状態で二重の幅が約3mmあるので、アイラインを引いてもアイラインの上に肌色の二重の幅がはっきりとあるため、派手なアイメイクがとても映えます。
料金
| 片目 ¥148,500(税込) |
|
| 両目 ¥275,000(税込) |
|
| 高須幹弥医師の場合 片目 ¥192,500(税込) |
|
| 高須幹弥医師の場合 両目 ¥385,000(税込) |
全院 |
脂肪切除をする場合や埋没法の糸を抜去する場合の費用も含まれております。
リスク・副作用・合併症
二重まぶた・ミニ切開法(部分切開)
ミニ切開二重+目頭切開+鼻プロテーゼ+鼻尖形成+鼻翼縮小症例写真
20代 / 女性
20代女性の患者様で、必要最小限の手術で可愛くなりたいというご要望でした。
元々顔の輪郭はそこそこ綺麗で、それぞれのパーツ同士のバランスも悪くないのですが、狭い末広型二重で目が小さく見え、蒙古襞が発達して目と目が離れて見えることと、鼻が低く鼻筋が通っておらず、団子鼻で小鼻が広がっているのが玉に傷でした。
ミニ切開法と目頭切開で今流行りの平行型二重を作り、全体的に目が大きく見えるようにしました。
二重は目を閉じた状態で約10mmの位置で切開し、目を開けた状態で約2.5mmの幅があります。
目頭切開はZ法で行い、約1.5mmづつ内側に広げました。
目頭切開はもっと内側に広げることはできるのですが、これ以上広げると、大人っぽくなったり、キツい感じになり、可愛さがなくなってしまうので、控えめに1.5mmにしました。
鼻筋には約3.5mmの厚みのI型プロテーゼを入れ、鼻尖形成で鼻先の軟骨と脂肪を切除して団子鼻を細くし、鼻翼縮小で小鼻を小さくしました。
鼻に関しても、もっと高くしたり、鼻先を伸ばしたりすることはできるのですが、自然な可愛らしさを出すために、この程度に抑えました。
料金
| 片目 ¥148,500(税込) |
|
| 両目 ¥275,000(税込) |
|
| 高須幹弥医師の場合 片目 ¥192,500(税込) |
|
| 高須幹弥医師の場合 両目 ¥385,000(税込) |
全院 |
脂肪切除をする場合や埋没法の糸を抜去する場合の費用も含まれております。
| 片目 ¥148,500(税込) |
|
| 両目 ¥275,000(税込) |
|
| 高須幹弥医師の場合 片目 ¥192,500(税込) |
|
| 高須幹弥医師の場合 両目 ¥385,000(税込) |
全院 |
| ¥385,000(税込) |
全院 |
| ¥385,000(税込) |
全院 |
| ¥550,000(税込) |
全院 |
リスク・副作用・合併症
二重まぶた・ミニ切開法(部分切開)
目頭切開
隆鼻術(シリコンプロテーゼ)
鼻翼縮小(小鼻縮小)
鼻尖形成(鼻尖縮小・だんご鼻・団子鼻・ブタ鼻・豚鼻修正)
ミニ切開二重+目頭切開で狭い平行型二重を作った症例写真
20代 / 女性
20代女性の患者様で、蒙古ヒダが発達しており、目と目が離れ気味でした。
また、元々左右共一重まぶたなのですが、アイプチでまぶたの皮膚が被れており、右目にはアイプチの癖で中途半端な二重のシワのようなものができて左右非対称でした。
狭い平行型二重をご希望されていましたが、この方の目で狭い二重を作ると、発達している蒙古ヒダの中に目頭側の二重のラインが入り込んでしまい、末広型二重になってしまいます。
そのため、二重の手術と合わせて目頭切開(Z法)も行い、突っ張っている蒙古ヒダを解除することにしました。
二重の手術は、やや広めの幅にすることとまぶたを開ける力がそれほど強くないなどの理由で、埋没法ではやや戻り易いため、ミニ切開法で行いましました。
術後はご希望通り、ほぼ左右対称な狭い平行型二重になりました。
術前に比べて目と目が離れているのが目立たなくなり、全体的に目が大きくなって華やかになったのがお分かりいただけると思います。
料金
| 片目 ¥148,500(税込) |
|
| 両目 ¥275,000(税込) |
|
| 高須幹弥医師の場合 片目 ¥192,500(税込) |
|
| 高須幹弥医師の場合 両目 ¥385,000(税込) |
全院 |
脂肪切除をする場合や埋没法の糸を抜去する場合の費用も含まれております。
| 片目 ¥148,500(税込) |
|
| 両目 ¥275,000(税込) |
|
| 高須幹弥医師の場合 片目 ¥192,500(税込) |
|
| 高須幹弥医師の場合 両目 ¥385,000(税込) |
全院 |
リスク・副作用・合併症
二重まぶた・ミニ切開法(部分切開)
目頭切開
狭い末広型二重をミニ切開でやや広めの平行型二重にした症例写真
20代 / 女性
20代女性の患者様です。
元々、奥二重に近いくらいの狭い末広型二重があったのですが、二重の幅を広くして平行型二重にするのがご希望でした。
ご希望の二重を重瞼棒でシミュレーションしてみたら、やや皮膚の厚い部分で二重を作ることになることがわかったので、ミニ切開法で行い、まぶたの脂肪を少し取ることになりました。
術後はご希望通りのやや幅の広い平行型二重になり、まぶたがキレイに丸く開くようになりました。
これくらいの二重の幅があると、アイラインを引いても二重の幅がしっかりと見えるため、お化粧するのが楽しくなると思います。
料金
| 片目 ¥148,500(税込) |
|
| 両目 ¥275,000(税込) |
|
| 高須幹弥医師の場合 片目 ¥192,500(税込) |
|
| 高須幹弥医師の場合 両目 ¥385,000(税込) |
全院 |
脂肪切除をする場合や埋没法の糸を抜去する場合の費用も含まれております。
リスク・副作用・合併症
二重まぶた・ミニ切開法(部分切開)
ミニ切開法で狭い平行型二重から広い平行型二重にした症例写真
20代 / 女性
この方は20代の女性で、元々狭い平行型の二重があり、自然でそれなりによかったのですが、目を開けた状態で見た目の二重の幅が1mm程しかなく、アイラインを書くとほとんど一重のようになってしまうのが不満で、御本人様は幅の広い平行型に憧れており、手術することになりました。
埋没法でも幅の広い平行型はつくれるのですが、広い二重だと元に戻りやすいということと、切開した方がはっきりした二重になるので切開法を選択しました。
それほどまぶたの腫れぼったさはなかったので、全切開法ではなく、よりダウンタイムの少ないミニ切開法で行いました。
術後は見た目の二重の幅が3mm程になり、しっかりとアイラインを書いてもまだ二重の肌色の部分が出るくらいになり、術前と比べても目が大きく見えるようになりました。
術前の狭い平行型と、術後の広い平行型を比べて、どちらが好きかと言われると好みが分かれるところです。
最近の若い女の子の間では広い平行型の方が人気がありますね。
料金
| 片目 ¥148,500(税込) |
|
| 両目 ¥275,000(税込) |
|
| 高須幹弥医師の場合 片目 ¥192,500(税込) |
|
| 高須幹弥医師の場合 両目 ¥385,000(税込) |
全院 |
脂肪切除をする場合や埋没法の糸を抜去する場合の費用も含まれております。
リスク・副作用・合併症
二重まぶた・ミニ切開法(部分切開)
眼瞼下垂には、生まれつき目の開きが悪い先天性眼瞼下垂と、コンタクトレンズの長期装用や老化などに伴う後天性眼瞼下垂があります。
この方は左目のみが生まれつき開きが悪い先天性眼瞼下垂でした。
先天性眼瞼下垂は、まぶたを開ける筋肉である上眼瞼挙筋の機能が弱いために目の開きが悪いので、ある程度筋肉の機能がある方は挙筋前転術で筋肉を短縮させてまぶたが開くようにしますが、筋肉の機能がほとんどない方は、側頭部や大腿から筋膜を移植して眉毛を上げる力によってまぶたが開くように手術します。
この方はある程度、眼瞼挙筋の機能があったので、左目の挙筋前転術を行い、同時に末広型の二重をつくり、それに合わせて右目はミニ切開法で末広型二重をつくりました。
片目の先天性眼瞼下垂の場合は反対の目と全く同じように開けてあげることは不可能なので、左目を右目と同じように大きく開けてあげることはできなかったのですが、術前に比べてかなり左右対称になったと思います。
料金
| 片目 ¥148,500(税込) |
|
| 両目 ¥275,000(税込) |
|
| 高須幹弥医師の場合 片目 ¥192,500(税込) |
|
| 高須幹弥医師の場合 両目 ¥385,000(税込) |
全院 |
脂肪切除をする場合や埋没法の糸を抜去する場合の費用も含まれております。
| 片目(通常の手術の場合) ¥385,000(税込) |
|
| 両目(通常の手術の場合) ¥770,000(税込) |
|
| 片目(筋膜移植の場合) ¥605,000(税込) |
|
| 両目(筋膜移植の場合) ¥990,000(税込) |
全院 |
リスク・副作用・合併症
二重まぶた・ミニ切開法(部分切開)
眼瞼下垂(がんけんかすい)
この方は、最初に埋没法で幅広平行型二重をつくったらしいです。
最初はほぼ希望通りの二重だったのですが、数か月でだんだんくっきりしていた二重のラインが浅く、狭くなってきたそうです。
少しまぶたの厚みのある方は、幅広平行二重を埋没法でつくると、元に戻ってきてしまいます。
元に戻らない幅広平行二重がご希望でしたので、私がミニ切開二重手術をしました。
少しだけ余分な脂肪を除去し、内部処理を行い、二重のラインをつくるので、埋没法と違ってもう元に戻ることはありません。
希望通りの二重になったと思います。
料金
| (本症例適用料金) ¥275,000(税込) |
銀座 横浜 名古屋 大阪 |
※診察にてご確認ください
リスク・副作用・合併症
二重まぶた・ミニ切開法(部分切開)
蒙古ひだが内側に大きく張り出して、目と目の間が広く見えていました。また、幅の狭い末広タイプの二重でしたが、幅の広い平行タイプを希望。目頭切開によって目と目の間隔のバランスがよくなり、ミニ切開法によって目がパッチリとしました。
術前と比べると、違いは一目瞭然。とても目力のある魅力的な目もとになりました。
料金
| 片目 ¥148,500(税込) |
|
| 両目 ¥275,000(税込) |
|
| 高須幹弥医師の場合 片目 ¥192,500(税込) |
|
| 高須幹弥医師の場合 両目 ¥385,000(税込) |
全院 |
脂肪切除をする場合や埋没法の糸を抜去する場合の費用も含まれております。
| 片目 ¥148,500(税込) |
|
| 両目 ¥275,000(税込) |
|
| 高須幹弥医師の場合 片目 ¥192,500(税込) |
|
| 高須幹弥医師の場合 両目 ¥385,000(税込) |
全院 |
リスク・副作用・合併症
二重まぶた・ミニ切開法(部分切開)
目頭切開
まぶたに脂肪が多く、厚みがあった方です。まぶたの皮膚が目にかぶさっている奥二重でした。
埋没法ではまぶたの厚みまで変えることはできませんが、ミニ切開法なら余分な脂肪を取り除いてスッキリと。ご希望だった幅の狭い末広タイプ、正統派美少女風のくっきりはっきりとした目に仕上がりました。
以前は目を大きく見せるために眉を引き上げて見開いていましたが、目が大きくなったことで眉を引き上げることもなくなりました。このため眉毛から目にかけてのバランスも美しく整い、より美しい目もとになりました。
いつも眠たそうに見られていた表情がはっきりし、明るく可愛らしく。ミニ切開法なら元に戻る心配もなく、半永久的にこの美しい目でいられます。
料金
| 片目 ¥148,500(税込) |
|
| 両目 ¥275,000(税込) |
|
| 高須幹弥医師の場合 片目 ¥192,500(税込) |
|
| 高須幹弥医師の場合 両目 ¥385,000(税込) |
全院 |
脂肪切除をする場合や埋没法の糸を抜去する場合の費用も含まれております。
リスク・副作用・合併症
二重まぶた・ミニ切開法(部分切開)
目は右が一重で左が奥二重です。目が細く、眠たそうではっきりしない印象があります。鼻の根元が低く、目鼻立ちがはっきりしません。斜めから見ると、鼻の根元がくぼんでいるのがよく分かります。エラの筋肉が発達しており、正面から見ると、顔の横幅が大きく見えます。
術後1ヶ月で、目はミニ切開二重手術でそれほど幅の広くない平行型の二重にしました。左右の目が均等に大きくなり、明るくはっきりとした印象になりました。鼻は低かった鼻の根元にヒアルロン酸を1本弱注入し、少し高くしました。斜めから見ると鼻筋が通ってて、上品に見えます。エラにはボツリヌストキシン注射(エラ、プチ小顔術)をして、顔の下半分の横幅を小さくしました。正面の写真をみるとよく分かると思います。顔が小さくなると、顔の表面積が小さくなった分、相対的に目が大きくなるので、ボツリヌストキシン注射(エラ、プチ小顔術)をすると、デカ目になった感じになります。
アイラインをこれくらいしっかり引くと、二重の幅が狭くなったように見えるので、これくらい二重の幅があってよかったと思います。もっとデカ目メイクをする方は、もっと二重の幅を広げてもいいと思います。
料金
| 片目 ¥148,500(税込) |
|
| 両目 ¥275,000(税込) |
|
| 高須幹弥医師の場合 片目 ¥192,500(税込) |
|
| 高須幹弥医師の場合 両目 ¥385,000(税込) |
全院 |
脂肪切除をする場合や埋没法の糸を抜去する場合の費用も含まれております。
| ヒアルロン酸注射 ¥55,000(税込) |
|
| 長期持続型ヒアルロン酸注射シャープラインノーズ ¥165,000(税込) |
全院 |
| 1回 ¥165,000(税込) |
全院 |
リスク・副作用・合併症
二重まぶた・ミニ切開法(部分切開)
隆鼻注射(ヒアルロン酸注射)
ボツリヌストキシン注射(エラ、プチ小顔術)
一重で眠そうな目の女性。ただ二重にするだけでなく、張っていた蒙古ひだを切開し、目の幅を広げることで、黒目が強調されるように。二重は、末広型にしたことで、目が内側に大きくなり、パッチリした大きな目が実現しました。
料金
| 片目 ¥148,500(税込) |
|
| 両目 ¥275,000(税込) |
|
| 高須幹弥医師の場合 片目 ¥192,500(税込) |
|
| 高須幹弥医師の場合 両目 ¥385,000(税込) |
全院 |
脂肪切除をする場合や埋没法の糸を抜去する場合の費用も含まれております。
| 片目 ¥148,500(税込) |
|
| 両目 ¥275,000(税込) |
|
| 高須幹弥医師の場合 片目 ¥192,500(税込) |
|
| 高須幹弥医師の場合 両目 ¥385,000(税込) |
全院 |
リスク・副作用・合併症
二重まぶた・ミニ切開法(部分切開)
目頭切開
目が細く見えてしまうつり目の女性。もともと二重でしたが、左右差がありました。バランスを見ながら平行型の二重、また目頭切開で目を内側に開き、少し目尻を下げ垂れ目にすることで、目を大きく見せることができました。さらにボツリヌストキシン注射(エラ、プチ小顔術)も行い、小顔効果でさらに目が強調されるようになりました。
料金
| 片目 ¥148,500(税込) |
|
| 両目 ¥275,000(税込) |
|
| 高須幹弥医師の場合 片目 ¥192,500(税込) |
|
| 高須幹弥医師の場合 両目 ¥385,000(税込) |
全院 |
脂肪切除をする場合や埋没法の糸を抜去する場合の費用も含まれております。
| 片目 ¥148,500(税込) |
|
| 両目 ¥275,000(税込) |
|
| 高須幹弥医師の場合 片目 ¥192,500(税込) |
|
| 高須幹弥医師の場合 両目 ¥385,000(税込) |
全院 |
| 片目 ¥148,500(税込) |
|
| 両目 ¥275,000(税込) |
|
| 高須幹弥医師の場合 片目 ¥192,500(税込) |
|
| 高須幹弥医師の場合 両目 ¥385,000(税込) |
銀座 横浜 名古屋 大阪 |
| 1回 ¥165,000(税込) |
全院 |
リスク・副作用・合併症
二重まぶた・ミニ切開法(部分切開)
目頭切開
垂れ目(タレ目,パンダ目)形成(グラマラスライン/下眼瞼下制術)
ボツリヌストキシン注射(エラ、プチ小顔術)
ミニ切開二重の症例写真
女性
料金
| 片目 ¥148,500(税込) |
|
| 両目 ¥275,000(税込) |
|
| 高須幹弥医師の場合 片目 ¥192,500(税込) |
|
| 高須幹弥医師の場合 両目 ¥385,000(税込) |
全院 |
脂肪切除をする場合や埋没法の糸を抜去する場合の費用も含まれております。
リスク・副作用・合併症
二重まぶた・ミニ切開法(部分切開)
料金
| 片目 ¥148,500(税込) |
|
| 両目 ¥275,000(税込) |
|
| 高須幹弥医師の場合 片目 ¥192,500(税込) |
|
| 高須幹弥医師の場合 両目 ¥385,000(税込) |
全院 |
脂肪切除をする場合や埋没法の糸を抜去する場合の費用も含まれております。
リスク・副作用・合併症
二重まぶた・ミニ切開法(部分切開)
料金
| 片目 ¥148,500(税込) |
|
| 両目 ¥275,000(税込) |
|
| 高須幹弥医師の場合 片目 ¥192,500(税込) |
|
| 高須幹弥医師の場合 両目 ¥385,000(税込) |
全院 |
脂肪切除をする場合や埋没法の糸を抜去する場合の費用も含まれております。
リスク・副作用・合併症
二重まぶた・ミニ切開法(部分切開)
料金
| 片目 ¥148,500(税込) |
|
| 両目 ¥275,000(税込) |
|
| 高須幹弥医師の場合 片目 ¥192,500(税込) |
|
| 高須幹弥医師の場合 両目 ¥385,000(税込) |
全院 |
脂肪切除をする場合や埋没法の糸を抜去する場合の費用も含まれております。
リスク・副作用・合併症
二重まぶた・ミニ切開法(部分切開)
料金
| 片目 ¥148,500(税込) |
|
| 両目 ¥275,000(税込) |
|
| 高須幹弥医師の場合 片目 ¥192,500(税込) |
|
| 高須幹弥医師の場合 両目 ¥385,000(税込) |
全院 |
脂肪切除をする場合や埋没法の糸を抜去する場合の費用も含まれております。
リスク・副作用・合併症
二重まぶた・ミニ切開法(部分切開)
施術方法は200種類以上
どんなお悩みでも
ご相談ください
当サイトは高須クリニック在籍医師の監修のもとで掲載しております。
