全切開法で二重を作り、目頭切開で内側に広げた症例写真
- 年代 / 性別
- 20代 / 女性
- 診療科目
- 二重まぶた・全切開法 / 目頭切開
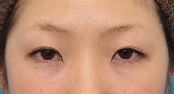
Before
After(7ヶ月後)
After(7ヶ月後の目を閉じた状態)
料金
| 二重まぶた・全切開法 | 片目 ¥148,500(税込) |
|
| 両目 ¥275,000(税込) |
|
|
| 高須幹弥医師の場合 片目 ¥192,500(税込) |
|
|
| 高須幹弥医師の場合 両目 ¥385,000(税込) |
全院 |
脂肪切除をする場合や埋没法の糸を抜去する場合の費用も含まれております。
| 目頭切開 | 片目 ¥148,500(税込) |
|
| 両目 ¥275,000(税込) |
|
|
| 高須幹弥医師の場合 片目 ¥192,500(税込) |
|
|
| 高須幹弥医師の場合 両目 ¥385,000(税込) |
全院 |
リスク・副作用・合併症
二重まぶた・全切開法
目頭切開
術後の経過
手術前
手術前です。
二重の左右差と目が離れて見えるのがお悩みの20代の患者様に、全切開二重と目頭切開を行いました。
元々右目は一重、左目は幅狭の二重です。また目の間も少し離れ気味に見え、幼い感じに見えます。がっつりな平行二重ではなくナチュラルな感じの平行二重と、目元が中心に寄りすぎない範囲での目頭切開の手術を希望されました。
手術直後
手術直後です。
全切開二重ならびにZ法による目頭切開を行いました。目頭は左右とも2mmずつぐらい内側に広げました。
1週間後(抜糸直後)
1週間後(抜糸直後)です。
強い腫れは引き始めています。
1ヶ月後
1ヶ月後です。
だいぶ腫れぼったさも落ち着いてきました。
4ヶ月後
4ヶ月後です。
わずかに腫れが残っていますが、ほぼ落ち着いた状態です。
7ヶ月後
7ヶ月後です。
腫れはすっかり落ち着きました。
傷もあまり目立ちません。
幼い感じに見える顔立ちが、ナチュラルで大人っぽい印象になりました。
7ヶ月後の目を閉じた状態です。
この症例と同じ診療科目の
症例写真はこちら
この症例の診療科目
ページはこちら
この施術を見た方は、以下の施術も見ています
※ 施術方法や施術の流れに関しましては、患者様ごとにあわせて執り行いますので、各院・各医師により異なります。予めご了承ください。
※ ホームページ上で掲載されている価格は税込表示となっております。
※ 当院で行う治療行為は保険診療適応外の自由診療になります。
施術方法は200種類以上
どんなお悩みでも
ご相談ください
当サイトは高須クリニック在籍医師の監修のもとで掲載しております。


担当医:森本剛 医師
どのような感じの二重にするかは、カウンセリングでしっかりと患者様のご希望も伺いながら決定していきますので、遠慮なくご相談くださいね。