対象クリニックアイコンの凡例

:銀座高須クリニック
:横浜院
:名古屋院
:栄院
:大阪院
全院
:全院
年代 / 性別
50代 / 女性
診療科目
上まぶたたるみ取り / 眉下リフト(上眼瞼リフト)
眉下リフト(上眼瞼リフト),片目ずつ眉下リフト(上眼瞼リフト)した症例写真,Before,ba_tarumi20_b.jpg

Before手術前

眉下リフト(上眼瞼リフト),片目ずつ眉下リフト(上眼瞼リフト)した症例写真,After2週間空けて片側ずつ手術(メイクなし),ba_tarumi20_b.jpg

After2週間空けて片側ずつ手術(メイクなし)

眉下リフト(上眼瞼リフト),片目ずつ眉下リフト(上眼瞼リフト)した症例写真,After2週間空けて片側ずつ手術(メイクあり),

After2週間空けて片側ずつ手術(メイクあり)

眉下リフト(上眼瞼リフト),片目ずつ眉下リフト(上眼瞼リフト)した症例写真,Before,ba_tarumi21_b.jpg

Before手術前

眉下リフト(上眼瞼リフト),片目ずつ眉下リフト(上眼瞼リフト)した症例写真,After2週間空けて片側ずつ手術(メイクなし),ba_tarumi21_b.jpg

After2週間空けて片側ずつ手術(メイクなし)

眉下リフト(上眼瞼リフト),片目ずつ眉下リフト(上眼瞼リフト)した症例写真,After2週間空けて片側ずつ手術(メイクあり),

After2週間空けて片側ずつ手術(メイクあり)

眉下リフト(上眼瞼リフト),片目ずつ眉下リフト(上眼瞼リフト)した症例写真,Before,ba_tarumi22_b.jpg

Before手術前

眉下リフト(上眼瞼リフト),片目ずつ眉下リフト(上眼瞼リフト)した症例写真,After2週間空けて片側ずつ手術(メイクなし),ba_tarumi22_b.jpg

After2週間空けて片側ずつ手術(メイクなし)

眉下リフト(上眼瞼リフト),片目ずつ眉下リフト(上眼瞼リフト)した症例写真,After2週間空けて片側ずつ手術(メイクあり),

After2週間空けて片側ずつ手術(メイクあり)

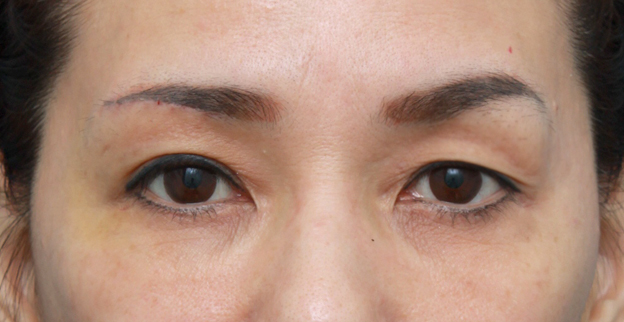
50代女性の患者様で、元々二重まぶたでしたが、加齢により外側の皮膚が被さってきて、二重の幅が狭くなり、三角形の老けた目になっていました。
この方の御要望は、二重の幅を広げすぎることなく、目の印象をあまり変えずに、パッチリした目元になりたいとのことだったので、眉毛の下で上まぶたのたるみを切除する眉下リフトを行いました。
眉下リフトは、まぶたの余分な皮膚や脂肪を切除して、たるみをリフトするという手術です。
元々二重の人がこの手術をすると、たるみが上がった分、二重の幅が少し広くなり、元々一重の人がすると、一重のままたるみが上がることになります。
この方は、特に外側の皮膚のたるみが多かったため、外側の皮膚の切除量を多くして、全体的にまぶたをリフトしました。
術後はきれいにたるみが上がって、元々あった二重のラインが見えるようになり、三角形の目が目もとがはっきりした丸い目になりました。
もっと幅広い二重を作って、目の印象を大きく変えたい人は、二重のラインでたるみを取って新たに二重を作りなおす通常の上まぶたたるみ取りをしたり、通常の上まぶたたるみ取りと眉下リフトを組み合わせたりします。
※施術後(After)のメイクあり写真について

女性の目もとの施術はメイクをすることを前提に行うことが多くなっております。
そのため、当院ではこれから施術を受けていただく方への参考として、メイクをしていない施術前後(Before/After)の写真のほか、 施術後(After)のメイクをしている写真も掲載しております。

術後の経過

手術前

眉下リフト(上眼瞼リフト),片目ずつ眉下リフト(上眼瞼リフト)した症例写真,手術前,mainpic_tarumi02a.jpg
高須幹弥医師からのコメント

手術前です。
まず右側からすることになりました。

右側手術直後

眉下リフト(上眼瞼リフト),片目ずつ眉下リフト(上眼瞼リフト)した症例写真,右側手術直後,mainpic_tarumi02b.jpg
高須幹弥医師からのコメント

右側手術直後です。
軽度の腫れがあり、糸が付いています。

右側術後1週間

眉下リフト(上眼瞼リフト),片目ずつ眉下リフト(上眼瞼リフト)した症例写真,右側術後1週間,mainpic_tarumi02c.jpg
高須幹弥医師からのコメント

右側術後1週間です。
抜糸直後です。

右側術後2週間

眉下リフト(上眼瞼リフト),片目ずつ眉下リフト(上眼瞼リフト)した症例写真,右側術後2週間,mainpic_tarumi02d.jpg
高須幹弥医師からのコメント

右側術後2週間です。
だいぶ腫れが引いたので、左側を手術することになりました。

左側手術直後

眉下リフト(上眼瞼リフト),片目ずつ眉下リフト(上眼瞼リフト)した症例写真,左側手術直後,mainpic_tarumi02e.jpg
高須幹弥医師からのコメント

左側手術直後です。

左側術後2週間

眉下リフト(上眼瞼リフト),片目ずつ眉下リフト(上眼瞼リフト)した症例写真,左側術後2週間,mainpic_tarumi02f.jpg
高須幹弥医師からのコメント

左側術後2週間です。

左側術後1ヶ月

眉下リフト(上眼瞼リフト),片目ずつ眉下リフト(上眼瞼リフト)した症例写真,左側術後1ヶ月,メイクなし,mainpic_tarumi02g.jpg

メイクなし

高須幹弥医師からのコメント

左側術後1ヶ月(メイクなし)です。
大きな腫れは引いています。

左側術後1ヶ月

眉下リフト(上眼瞼リフト),片目ずつ眉下リフト(上眼瞼リフト)した症例写真,左側術後1ヶ月,メイクあり,mainpic_tarumi02h.jpg

メイクあり

高須幹弥医師からのコメント

左側術後1ヶ月(メイクあり)です。

※施術後(After)のメイクあり写真について

女性の目もとの施術はメイクをすることを前提に行うことが多くなっております。
そのため、当院ではこれから施術を受けていただく方への参考として、メイクをしていない施術前後(Before/After)の写真のほか、 施術後(After)のメイクをしている写真も掲載しております。

この症例と同じ診療科目の
症例写真はこちら

上まぶたたるみ取り

紹介するのは上眼瞼たるみ取りの患者様です。
これまで5回ほど埋没をされており、年齢とともに弛みも出現し二重線も不安定であり、両目を揃えつつ、まつ毛の生え際を、見せて若干幅を広げたいとのご希望でした。
一週間の抜糸ではまだ、左の浮腫がありましたが、1ヶ月で概ね揃っています。
オペ後1ヶ月で、赤みと浮腫みはまだありますが3ヶ月~半年で徐々にスッキリしてきます。
高須クリニックでは埋没糸を、取っても、脂肪を切除しても追加料金等はいただいておりません。

続きを見る

料金

片目
¥192,500(税込)
両目
¥385,000(税込)

全院

この方は、目をすっきり大きく見せたいとのご希望がありました。
術前の状態は、上まぶたのたるみがあり二重に被さっています。
そして、そのために眉毛を挙上しています。
また、下まぶたにはヒアルロン酸注入による涙袋を認めますが、量が多いため下まぶたが上にせりあがっている状態で目を小さく見せています。
改善方法としては、上まぶたのたるみを取り、二重の幅が見える状態にします。
そのことで眉毛が上がっていることも改善します。
さらに、ヒアルロニダーゼでヒアルロン酸を溶かした上で、たれ目形成を行い、下まぶたがせりあがっている状態を改善します。
黒目より外側の白目の露出を多くするために目尻切開も追加しています。
術後、目の周りは自然に大きくすっきりした状態に改善しました。

続きを見る

料金

片目
¥192,500(税込)
両目
¥385,000(税込)

全院

片目
¥148,500(税込)
両目
¥275,000(税込)
高須幹弥医師の場合 片目
¥192,500(税込)
高須幹弥医師の場合 両目
¥385,000(税込)

全院

片目
¥148,500(税込)
両目
¥275,000(税込)
高須幹弥医師の場合 片目
¥192,500(税込)
高須幹弥医師の場合 両目
¥385,000(税込)

銀座

横浜

名古屋

大阪

50代女性の患者様で、左目は二重なのに、右目は皮膚のたるみが多く奥二重になっているので、右目を手術して左目に合わせたいという御要望でした。
じっくり診察すると、左目は老人性の眼瞼下垂が進行して、まぶたの開きが悪くなっており、それに加えてまぶたの脂肪の萎縮により、まぶたが窪んで二重になっていました。
右目も軽度の眼瞼下垂を呈しており、それに加えてまぶたの皮膚のたるみもありました。
この方は、両目の眼瞼下垂手術を行い、まぶたの開きを良くして、二重を作り直し、必要に応じて左目の窪みにヒアルロン酸を注射すれば、ほぼ左右対照の目になるので、その治療をご提案しましたが、患者様は、左目はこのままでよく、右目を左目に合わせるだけでいいということだったので、右目の上まぶたたるみ取りのみをすることになりました。
手術は皮膚を約4mmの幅で切除し、目を閉じた状態で約7mmの位置に二重のラインを作りました。
術後は二重の幅はほぼ左右対照になりましたが、左目の窪みが強いため、完全な対照の目にはなっていません。
手術のときに、右目の脂肪をごっそりと取って、目を窪ませてしまえば、左右対照になりますが、窪んだ目は老けた印象や窶れた印象を与えるし、いつか眼瞼下垂手術をする可能性があることも考慮して、脂肪は取りませんでした。

続きを見る

料金

片目
¥192,500(税込)
両目
¥385,000(税込)

全院

眼瞼下垂の手術で二重にした後に、目の開きは良くなったものの二重に皮膚が被さってしまい、二重のラインが綺麗に見えないというお悩みの患者様は多いです。

Beforeの写真を見ていただくと分かるように、二重のラインが皮膚のたるみで見えなくなってしまっています。
せっかく目の開きが良くなったのに手術前より二重がみえなくなってしまうと不満かもしれませんが、実は目の開きが良くなって二重が強く引き込まれるためこの現象が起こるのです。

この場合、目の開きが良くなって二重がより引き込まれるようになった分だけ皮膚を切除して修正する必要があります。

この時に切除する方法は2つあります
 (1)二重のラインを再度切開して余計な皮膚を切除する
 (2)眉下切開をして被っている皮膚を切除する。

(1)の場合、傷が同じ場所になるのでそれで良いと思われるかもしれませんが、実は、皮膚切除の後の二重のラインを予想するのが非常に難しいという問題点があります。
二重周りの皮膚を切除するので、皮膚を切除した後に二重のラインが切除範囲の上段・中程・下段のどこになるかの予想が非常に難しいです。

(2)の眉下切開の場合、弛んだ分を切除した後の二重のラインは基本的に変わらないので、今のラインの被っている分の皮膚だけとれば予想通りの結果になりやすいです。
しかし、眉下切開をすると眉毛に傷ができてしまうというデメリットもあります。

こちらの患者様は二重ラインから皮膚を取ったため、眉下に傷を作らずに済みました。
埋もれていた二重ラインが綺麗に出てきました。

二重でのたるみ取りが良いのか、眉下がいいのか。
皮膚のたるみ具合、目の開く力、患者様の希望など考慮してどちらか選んでいます。
二重が皮膚のたるみで埋もれていて、どんな施術が良いかわからないとお悩みの方、ぜひご相談ください。

続きを見る

料金

片目
¥192,500(税込)
両目
¥385,000(税込)

全院

¥275,000〜¥990,000(税込)

銀座

横浜

名古屋

大阪

※ご相談内容により施術料金が異なります。カウンセリング・診察にてご確認ください。

50代後半の女性患者で、上まぶたのたるみをとって綺麗な二重まぶたにしたいというご要望でした。
診察させていただいたところ、元々二重のラインはあったようなのですが、加齢により上まぶたの皮膚が被さり、黒目の真上から目尻側にかけてが奥二重の状態になっていました。
特に外側の皮膚の余りが非常に多いため、二重まぶた全切開法に準じて二重のラインで余分な皮膚のたるみを切除する上まぶたたるみ取りだけでは改善が見込めず、眉下リフト(上眼瞼リフト)も併用して行うことになりました。
元の二重のラインよりも1mm上で切開し、そのラインより頭側の皮膚を約3mmの幅で切除し、新たに二重のラインを作成しました。
その際、余分な眼窩内脂肪とROOFを適量切除しました。
眉下リフトは眉毛の生え際で余分な皮膚を最大幅約12mmで切除し、その下の皮下脂肪も合わせて切除しました。
術後は、程よく二重の幅が目頭側から目尻側まで見えるようになり、まぶたのたるみも改善されました。
この患者様のように、まぶたのたるみが大量にある場合、二重のラインでの上まぶたたるみ取りや眉下リフトを単独で行うよりも、併用して行うほうが自然で綺麗な目になることが多いです。

続きを見る

料金

片目
¥192,500(税込)
両目
¥385,000(税込)

全院

片目
¥148,500(税込)
両目
¥275,000(税込)
高須幹弥医師の場合 片目
¥192,500(税込)
高須幹弥医師の場合 両目
¥385,000(税込)

全院

脂肪切除をする場合や埋没法の糸を抜去する場合の費用も含まれております。

眉下リフト(上眼瞼リフト)

20代女性の患者様で、上まぶたの皮膚、たるみ、重みが被さる、乗っかるのが嫌とのことでした。
診察させていただいたところ、綺麗で自然な二重のラインはあるのですが、二重のラインの上の皮膚の被さり、重みはありました。
カウンセリングで話し合った結果、二重のラインはいじらず、眉下切開の上まぶたたるみとり(眉下リフト)でまぶたの皮膚のたるみと重みをとることになりました。
手術は局所麻酔下に行い、眉毛の生え際の下の皮膚と、皮下脂肪のボリュームを切除して縫合しました。
術後は二重のラインの上の皮膚のたるみや重みがすっきりしました。
また、わずかに二重の幅が拡がりました。

続きを見る

料金

片目
¥192,500(税込)
両目
¥385,000(税込)

全院

眉下リフト(上眼瞼リフト)を施行された、患者様が来院してくださいましたので、術後1ヶ月の経過をご紹介します。
この患者様は、眉毛から目の距離が遠めで、皮膚が余っている状況でしたが、脂肪(ROOF)は多くないので、脂肪は温存して皮膚切除をする形で、眉下リフト(上眼瞼リフト)を行いました。
まだ術後1ヶ月なので、ほんのりキズは赤いですが、ノーメークでもほとんどわからない状態だと思います。
二重ラインと違い常に見える部分なので傷跡が心配だと思いますが、よほど皮膚を切除し過ぎない限り、これぐらい綺麗にはなります。

続きを見る

料金

片目
¥192,500(税込)
両目
¥385,000(税込)

全院

眉下切開の50代の患者様です。
以前より二重が狭くなってしまったとお悩みの患者様です。
目尻の皮膚のかぶりが大きく、二重のラインが覆われて狭く見えてしまっていました。
このような場合は眉下切開をご検討ください。

全体的に目が軽くなり、また、二重のラインもくっきりアーチが見えるようになりました。
二重にかぶさる皮膚の切除方法には、二重のラインからとる方法もありますが、厚ぼったさも同時に改善したい場合、目尻のたるみが多い場合は眉下切開の良い適応です。
腫れも二重のラインから切除するよりも少ないダウンタイムです(1週間程度)。
ぜひご検討ください。

続きを見る

料金

片目
¥192,500(税込)
両目
¥385,000(税込)

全院

この方は、もともと二重まぶただったのですが、加齢により額、コメカミから上まぶたにかけて皮膚が下垂し、二重のラインがかくれてしまい、三角の老けた目になっていました。
こういうタイプの方は、二重のラインで皮膚のたるみを切除してしまうと、上の方の厚ぼったい皮膚で二重がつくられることになるので、自然できれいな二重にはなりにくいです。
この方自身、あまり大きな変化は望まず、少し皮膚のたるみが上に挙がって、もともと若いころにあった狭い二重を出して、自然な目にしてほしいということだったので、眉毛の下で皮膚のたるみを切除する眉下リフトを選択しました。
術後は、自然な二重になりました。
眉毛の下の傷はほとんど分からなくなってしまいますので心配ありません。

続きを見る

料金

片目
¥192,500(税込)
両目
¥385,000(税込)

全院

40代の中国人女性の患者様で、目を大きくして、目元に張りを出したいというご要望でした。
以前に中国で二重まぶたの手術をしたことがあるとのことで、まぶたの二重のラインに目立たない傷がありましたが、手術の詳細は不明でした。患者様は二重の幅を広げたいともおっしゃっていたのですが、まずまずの二重の手術がされていたので、新たに二重のラインで切開するのではなく、眉下切開で皮膚を切除して眉下リフトをすることになりました。
眉をはアートメイクが入れられていたので、アートメイクの下縁に沿って切開しました。
特に老化の原因になっている外側のたるみが上がるように、外側の皮膚のたるみを多めに切除しました。
術後はまぶたの被さりが上がり、二重の幅が広がって、目が大きく見えるようになりました。
アートメイクの下縁で切開したため、傷跡はほとんどわからなくなりました。

続きを見る

料金

片目
¥192,500(税込)
両目
¥385,000(税込)

全院

この症例の診療科目
ページはこちら

性別
年代
施術カテゴリ
診療科目
上記の施術科目と同時に行った診療科目
ドクター
 

※ 施術方法や施術の流れに関しましては、患者様ごとにあわせて執り行いますので、各院・各医師により異なります。予めご了承ください。
※ ホームページ上で掲載されている価格は税込表示となっております。
※ 当院で行う治療行為は保険診療適応外の自由診療になります。

施術方法は200種類以上

どんなお悩みでも
ご相談ください

当サイトは高須クリニック在籍医師の監修のもとで掲載しております。

お問い合わせ

高須クリニックお客様コールセンター

フリーダイヤル

0120-5587-10 0120-5587-35

電話受付時間:9:00〜21:00
※毎月1日の電話予約受付は9:30~21:00です
診療時間:10:00〜19:00

SNS
オフィシャルアカウント

  • 【高須クリニック】LINE公式アカウント
  • Youtube
  • Instagram
  • X(旧Twitter)
  • ブログ

全国の高須クリニックの
医院一覧