目の下の脂肪取りの症例画像一覧
26 件の症例があります。
再検索する
※ 施術方法や施術の流れに関しましては、患者様ごとにあわせて執り行いますので、各院・各医師により異なります。予めご了承ください。
※ ホームページ上で掲載されている価格は税込表示となっております。
※ 当院で行う治療行為は保険診療適応外の自由診療になります。
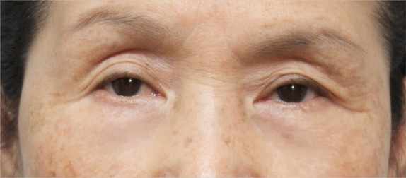
目の下の脂肪取りの症例 目の下のクマ治療のため脂肪を取った30代女性
30代 / 女性
料金
| 目の下(片目) ¥275,000(税込) |
|
| 目の下(両目) ¥550,000(税込) |
全院 |
リスク・副作用・合併症
目の下(下瞼)の脂肪取り
目の下のクマ治療の症例 20代女性の目の下の脂肪取り /クマ治療
20代 / 女性
腫れが引き、ふくらみも陰もなくなりました。この方は皮膚がたるんでいなかったので、脂肪を取るだけで済みましたが、たるみがあると皮膚を切り取る必要が出てくるので、術後の痛みや腫れが長くなり、仕上がりの美しさにも影響します。また、早いうちに脂肪を取っておくとたるみ予防にもなるため、ご検討ください。
料金
| 目の下(片目) ¥275,000(税込) |
|
| 目の下(両目) ¥550,000(税込) |
全院 |
リスク・副作用・合併症
目の下(下瞼)の脂肪取り
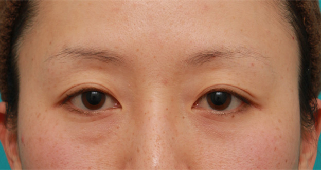
40代女性の目の下をスッキリさせた症例写真
40代 / 女性
40代女性の患者様が、目の下のたるみが気になるということで御来院されました。
眼の下の脂肪が前方に出てきて膨らんでおり、俗に言う目袋の状態になっています。
また目袋の下も窪んでおり、いわゆるゴルゴ線も目立っています。
膨らみと窪みが相まって目元が年齢を感じさせる状態になっています。
このような患者様の場合、目の下の膨らみに関しては
1.下まつ毛のすぐそばを切って脂肪と皮膚を切除する方法
2.下まぶたの裏側を切って脂肪だけを除去する方法
の2つの治療法があります。
こちらの患者様は、なるべく外側に傷を残したくないとのご要望がありましたので、2.の方法を提案いたしました。
またゴルゴ線に関してはヒアルロン酸の注入を提案いたしましたが、先ずは目の下の脂肪除去を行い、術後1ヶ月ぐらいにヒアルロン酸を注入することにしました。
ゴルゴ線にヒアルロン酸を片側1本ずつ、計2本注入いたしました。
目の下の窪みも改善し、ハリが出ています。
目の下の膨らみ・窪みのどちらも改善し、自然な感じで若々しい印象になりました。
料金
| 目の下(片目) ¥275,000(税込) |
|
| 目の下(両目) ¥550,000(税込) |
全院 |
リスク・副作用・合併症
目の下(下瞼)の脂肪取り
目頭切開、目尻切開、二重まぶた全切開法、目の下脂肪取りを同時に行った症例
20代 / 女性
20代女性の患者様で、目元をもっと良くしたいというご要望で来院されました。
ある程度幅のある平行型の二重にして、もっと目を大きくして、目の下のクマも改善させたいというご希望でした。
診察させていただいたところ、まぶたの開きは良いのですが、目の横幅はそれほど大きいわけではありませんでした。
また、二重の幅、形に左右差があり、目の下には眼窩内脂肪の膨らみがあり、クマを強調させていました。
眼瞼下垂手術をする必要はないので、二重まぶた全切開法で二重の幅を広げて平行型二重を作り、目頭切開と目尻切開で目の横幅を広げることになりました。
目の下のクマに対しては、下まぶたの内側から余分な眼窩内脂肪を除去することになりました。
二重まぶた全切開法は、適度に二重の幅が見えるようにデザインし、皮膚切除は行わず、眼窩内脂肪やROOFの切除も行いませんでした。
目頭切開は、寄り目になったりキツい目にならない程度に、Z法で1.5mmずつ内側に広げました。
目尻切開は、できる限り最大限広げ、1.5mmずつ外側に広げました。
術後はご希望通りの平行型二重になり、目の横幅も広がって、目の下のクマも改善しました。
目元の手術を複数行う場合、全て同時に行うこともできるし、日にちを空けて別々に行うこともできます。
同時に行っても別々に行っても、最終的な仕上がりに差が出ることはほとんどありませんが、同時に行うほうが、通院回数が最小限で済むし、ダウンタイムも1回で済むのでご検討いただいています。
料金
| 片目 ¥148,500(税込) |
|
| 両目 ¥275,000(税込) |
|
| 高須幹弥医師の場合 片目 ¥192,500(税込) |
|
| 高須幹弥医師の場合 両目 ¥385,000(税込) |
全院 |
脂肪切除をする場合や埋没法の糸を抜去する場合の費用も含まれております。
| 片目 ¥148,500(税込) |
|
| 両目 ¥275,000(税込) |
|
| 高須幹弥医師の場合 片目 ¥192,500(税込) |
|
| 高須幹弥医師の場合 両目 ¥385,000(税込) |
全院 |
| 片目 ¥148,500(税込) |
|
| 両目 ¥275,000(税込) |
|
| 高須幹弥医師の場合 片目 ¥192,500(税込) |
|
| 高須幹弥医師の場合 両目 ¥385,000(税込) |
全院 |
| 目の下(片目) ¥275,000(税込) |
|
| 目の下(両目) ¥550,000(税込) |
全院 |
リスク・副作用・合併症
二重まぶた・全切開法
目頭切開
目尻切開
目の下(下瞼)の脂肪取り
20代女性の患者様で、全体的に目を大きくして、印象を変えたいというご要望でした。
診察させていただいたところ、二重に関しては、目を開けた状態でそこそこ二重の幅が見える状態でした。
蒙古襞はほとんど発達しておらず、涙丘(目頭側の赤い粘膜の盛り上っている部分)がはっきりと見えており、目と目の間隔は広くありませんでした。
全体的に目が細く、ややつり目気味でした。
また、下まぶたに眼窩内脂肪が張り出しており、目の下のクマを強調させていました。
手術は、二重まぶた全切開法、目尻切開、タレ目形成(グラマラスライン)、目の下脂肪取りの4つをすることになりました。
目と目の間隔は広くなく、蒙古襞も発達していなかったので、目頭切開はする必要はありませんでした。
二重まぶた全切開法で、二重の幅を少し広げ、華やかな目元になるようにしました。
元々蒙古襞が張っていなかったため、必然的に平行型の二重になりました。
アイラインを引いたりつけまつ毛をしても、はっきりと二重だとわかるようになりました。
目尻切開はW字切開の内田法に準じたデザインで行い、最大限広げた結果、約2mm程度広がり、外側に広がった分は上下にも広がるようにしました。
タレ目形成(グラマラスライン)は、下三白眼にならないように黒目の真下の下まぶたは下げず、黒目の外側のみ約2mm下げるようにしました(安全な範囲、自然な範囲内で約2mmが最大限でした)。
タレ目形成の際、余分な下まぶたの皮膚は切除し、ついでに下まぶたの眼窩内脂肪を適量除去しました。
術後は、目が一回り大きくなって、つり目が改善しました。すっぴんでも化粧をしても悪くなく、全体的に華やかな目元になりました。
料金
| 片目 ¥148,500(税込) |
|
| 両目 ¥275,000(税込) |
|
| 高須幹弥医師の場合 片目 ¥192,500(税込) |
|
| 高須幹弥医師の場合 両目 ¥385,000(税込) |
全院 |
脂肪切除をする場合や埋没法の糸を抜去する場合の費用も含まれております。
| 片目 ¥148,500(税込) |
|
| 両目 ¥275,000(税込) |
|
| 高須幹弥医師の場合 片目 ¥192,500(税込) |
|
| 高須幹弥医師の場合 両目 ¥385,000(税込) |
全院 |
| 目の下(片目) ¥275,000(税込) |
|
| 目の下(両目) ¥550,000(税込) |
全院 |
| 片目 ¥148,500(税込) |
|
| 両目 ¥275,000(税込) |
|
| 高須幹弥医師の場合 片目 ¥192,500(税込) |
|
| 高須幹弥医師の場合 両目 ¥385,000(税込) |
銀座 横浜 名古屋 大阪 |
リスク・副作用・合併症
二重まぶた・全切開法
目尻切開
目の下(下瞼)の脂肪取り
垂れ目(タレ目,パンダ目)形成(グラマラスライン/下眼瞼下制術)
20代女性の患者様で、目の下のクマが気になるのと、ツリ目で目が細いのが悩みとのことでした。
診察させていただいたところ、下まぶたの脂肪の膨らみがあり、クマが目立っていました。
それに合わせて、色素沈着や血管が浮き出ているのと脂肪の膨らみの下が窪んでいてクマが余計に強調されていました。
手術は局所麻酔下にタレ目形成(グラマラスライン)を行い、そのアプローチから余分な脂肪を除去することになりました。
下まぶたの眼窩内脂肪は内側と中央のコンパートメントから余分な量だけ切除しました。
タレ目形成手術は、下まぶたの黒目の外側を安全で自然な範囲内で下げてツリ目を和らげるようにしました。
手術後はクマは目立たなくなり、ツリ目も解消して一回り目が大きくなりました。
料金
| 片目 ¥148,500(税込) |
|
| 両目 ¥275,000(税込) |
|
| 高須幹弥医師の場合 片目 ¥192,500(税込) |
|
| 高須幹弥医師の場合 両目 ¥385,000(税込) |
銀座 横浜 名古屋 大阪 |
| 目の下(片目) ¥275,000(税込) |
|
| 目の下(両目) ¥550,000(税込) |
全院 |
リスク・副作用・合併症
垂れ目(タレ目,パンダ目)形成(グラマラスライン/下眼瞼下制術)
目の下(下瞼)の脂肪取り
ミディアムリフト+目の下脂肪取りを行った50代女性の症例写真
50代 / 女性
50代女性の患者様で、目の下の膨らみによるクマと顔全体のたるみを気にされていました。
診察させていただいたところ、目の下は余分な眼窩内脂肪があることにより膨らんでクマが目立っていました。
顔全体のたるみに関しては特に頬~フェイスライン~顎下のたるみが目立っていました。
目の下脂肪取りとミディアムフェイスリフトを行うことになりました。
目の下の脂肪は下まぶたの裏側から適量切除し、ミディアムフェイスリフトはリテイニングリガメントを切離した後、SMAS弁を引き上げ固定し、余分な皮膚を切除して縫合しました。
手術後は、目の下の脂肪の膨らみは改善し、頬~フェイスライン~顎下のたるみもすっきりしたため、全体的に美しくなりました。
料金
| ミディアムフェイスリフト ¥990,000(税込) |
|
| 高須幹弥医師の場合 ミディアムフェイスリフト ¥1,100,000(税込) |
銀座 横浜 名古屋 大阪 |
| 目の下(片目) ¥275,000(税込) |
|
| 目の下(両目) ¥550,000(税込) |
全院 |
リスク・副作用・合併症
ミディアムフェイスリフト
目の下(下瞼)の脂肪取り
目の下の脂肪の膨らみを取り、クマを改善させた30代女性の症例写真
30代 / 女性
30代女性の患者様で、目の下のクマを改善させたいというご要望でした。
診察させていただいたところ、下まぶたの眼窩内脂肪が発達して前方に張り出しており、それによって膨らみグマができていました。
そのため、経結膜下眼瞼眼窩内脂肪切除手術をすることになりました。
手術は局所麻酔下に行い、左右の下まぶたから丁度よい量の脂肪を除去しました。
手術後は下まぶたの膨らみが程よく改善し、クマが目立たなくなりました。
料金
| 目の下(片目) ¥275,000(税込) |
|
| 目の下(両目) ¥550,000(税込) |
全院 |
リスク・副作用・合併症
目の下(下瞼)の脂肪取り
片目のみ目の下の脂肪取りをして左右対称に近づけた症例写真の術前術後画像
30代 / 女性
30代女性の患者様で、目の下の脂肪の膨らみを気にされて来院されました。
診察させていただいたところ、特に右目の脂肪の膨らみが目立っており、左目も少し膨らんでいました。
両目の目の下の脂肪取りをご提案しましたが、患者様本人は右目だけ綺麗にして、今より左右対称にしてくれれば良いというご要望でしたので、右目のみ目の下の脂肪取りをすることになりました。
目の下の皮膚のたるみはそれほどなかったので、皮膚の切開や切除はせず、下まぶたの裏側の結膜(粘膜)から脂肪を除去する経結膜脂肪切除手術をすることになりました。
目の下に局所麻酔注射をした後、目の下の結膜にCO2レーザーで小さな穴を開け、眼窩内脂肪を内側と中央のコンパートメントから適量(小豆約2個分)除去しました。
術後は右目の目の下の脂肪の膨らみが平らになって、ほぼ左右対称になりました。
また、この患者様の目の下は、脂肪のあった部位の下は少し窪んでいるので、この部位にヒアルロン酸を注入すると更に平らに近づき、綺麗になります。
料金
| 目の下(片目) ¥275,000(税込) |
|
| 目の下(両目) ¥550,000(税込) |
全院 |
リスク・副作用・合併症
目の下(下瞼)の脂肪取り
目の下の脂肪を取り、埋もれていた涙袋が浮き出てきた症例写真の術前術後画像
40代 / 女性
40代女性の患者様で、目の下の膨らみを気にされていました。
診察させていただいたところ、下まぶたの眼窩内脂肪が発達しており、目の下がぷっくりと膨らんでいました。
また、よく見るとそこそこの涙袋が存在するのですが、涙袋のすぐ下の眼窩内脂肪が膨らんでいるため、涙袋と目袋が重なり、涙袋が埋もれている状態になっていました。
経結膜下眼瞼脂肪切除術で、下まぶたの裏から眼瞼内脂肪を除去することになりました。
左右の目の下から、内側と中央と外側のコンパートメントからほどよい脂肪を除去しました。
術後は、膨らんでいた目袋がほぼ平らになり、老けている印象が改善されました。
また、目袋が平らになったことにより、元々あった涙袋が浮き出てきて、ハツラツと笑顔溢れる印象になりました。
料金
| 目の下(片目) ¥275,000(税込) |
|
| 目の下(両目) ¥550,000(税込) |
全院 |
リスク・副作用・合併症
目の下(下瞼)の脂肪取り
目の下の脂肪を除去して、クマを目立たなくした症例写真
30代 / 女性
30代女性の患者様で、目の下のクマを気にされて来院されました。
診察させていただいたところ、目の下の脂肪が膨らんでおり、脂肪の膨らみの下は窪んで陰になって、クマが目立っていました。
目の下の脂肪を除去して、窪んでいるところにヒアルロン酸を注射するのが良いのですが、同時に行うよりは、まず脂肪を除去して、腫れがおさまってからヒアルロン酸を注射するのが良いので、まず脂肪除去をすることになりました。
手術は局所麻酔下に下まぶたの裏側にCO2レーザーで小さな穴を開けた、適度な量の脂肪を除去しました。
術後は脂肪の膨らみの部分がほぼ平らになり、クマが目立たなくなりました。
このあとヒアルロン酸を注射すると、張りが出てさらにクマが目立たなくなります。
料金
| 目の下(片目) ¥275,000(税込) |
|
| 目の下(両目) ¥550,000(税込) |
全院 |
リスク・副作用・合併症
目の下(下瞼)の脂肪取り
目の下の脂肪取りをして、目の下のクマを改善させた症例写真
40代 / 女性
40代女性の患者様で、目の下のクマが気になるとのことでした。
目の下が窪んでおり、その上、目の下に脂肪の膨らみがあるため、膨らみの下に影ができて、クマを強調させていました。
このタイプのクマには目の下の脂肪取り+目の下の窪みへのヒアルロン酸注射が有効ですが、まずは目の下の脂肪取りのみを行いました。
術後は脂肪の膨らみがなくなり、クマが目立たなくなりました。
この後、ヒアルロン酸注射をすると更に目立たなくなります。
料金
| 目の下(片目) ¥275,000(税込) |
|
| 目の下(両目) ¥550,000(税込) |
全院 |
リスク・副作用・合併症
目の下(下瞼)の脂肪取り
目の下のクマに対して脂肪除去をした症例写真
30代 / 女性
30代女性の患者様です。
目の下に小さな脂肪の膨らみがあり、膨らみの下にくっきりと溝ができて影になっていたため、クマが強調されていました。
この方のクマの原因は、この脂肪の膨らみと、膨らみの下が窪んでいることと、血行が悪いためか下まぶた全体がやや黒ずんでいることです。
その中でも一番の原因は脂肪の膨らみであったため、まず脂肪をとることになりました。
局所麻酔をして、下まぶたの裏側にCO2レーザーで小さな穴を空け、余分な脂肪を除去しました。
術後は脂肪の膨らみが平らになったため、膨らみの下の影が目立たなくなり、全体的にクマが改善しました。
この後にヒアルロン酸注射などをすると、クマは更に改善します。
料金
| 目の下(片目) ¥275,000(税込) |
|
| 目の下(両目) ¥550,000(税込) |
全院 |
リスク・副作用・合併症
目の下(下瞼)の脂肪取り
目の下の脂肪取り症例写真
30代 / 女性
30代の女性の方で、目の下のクマが気になるとのことで来院されました。
この方は、目の下に脂肪の膨らみがあり、膨らみの下に影ができ、それがクマを強調していました。
皮膚のたるみはほとんどなく、膨らみだけなので、皮膚は切除せず、下まぶたの裏側から脂肪を取るだけにしました。
手術は局所麻酔をして、下まぶたの裏側にレーザーで小さな穴を開け、脂肪を抜くだけなので、15分程度で終わります。
術後は脂肪の膨らみはなくなり、クマが目立たなくなったのがわかっていただけると思います。
目の下のクマには色々な原因があり、脂肪の膨らみが原因の場合は、脂肪を取ることによって、改善することが多いです。
目の下の脂肪は、一度取ってしまえば、再び膨らんでくることは稀なので(膨らんできたとしてもごくわずかです)、効果は半永久に続きます。
逆に取らないで放置していると、老化によってどんどん膨らんでしまい、そうなると、脂肪を取るのと同時に皮膚を切除しなければなりません。そのため早い段階で脂肪を取る方が予防にもなります。
料金
| 目の下(片目) ¥275,000(税込) |
|
| 目の下(両目) ¥550,000(税込) |
全院 |
リスク・副作用・合併症
目の下(下瞼)の脂肪取り
20代の女性です。遺伝的に下まぶたの脂肪がつきやすいやすい方でした。この『まぶたの脂肪取り』の良い点は、皮膚を切除しないこと。施術跡が目立ちにくいだけでなく、術後の腫れも3日くらいでほぼ引いてしまいます。下まぶたの脂肪がないだけで、目が引き立つようになって目力も強く。美人度が、ぐんとアップしましたね。
料金
| 目の下(片目) ¥275,000(税込) |
|
| 目の下(両目) ¥550,000(税込) |
全院 |
リスク・副作用・合併症
目の下(下瞼)の脂肪取り
目の下の脂肪取りの症例 たるみが陰になりクマのように見えていた40代女性
40代 / 女性
目の下の脂肪取りを希望された40代女性。たるみが陰になり、クマのように見えるため、疲れているように見えたり、老けて見えていましたが、手術によりすっきりとした明るい目もとに。張りのある肌になりました。
料金
| 目の下(片目) ¥275,000(税込) |
|
| 目の下(両目) ¥550,000(税込) |
全院 |
リスク・副作用・合併症
目の下(下瞼)の脂肪取り
目の下のクマがとれず、いつも疲れたように見えてしまうことを気にされていました。目の下にクマができるのにはいくつかの原因がありますが、この患者様の場合、目袋または涙袋と呼ばれる目の下の脂肪が原因となってクマができていました。そこで下まぶたの脂肪吸引を行い、眼窩脂肪を除去することでクマを目立たなくしています。患者様のクマも、目立ちにくなると同時に目の上下の開きも広くなりました。
まぶたの脂肪取りは、凹凸や傷跡が残らないように、ゆっくり丁寧に脂肪を除去することを気をつけながら行うのがポイントです。
料金
リスク・副作用・合併症
目の下のクマ治療
目の下(下瞼)の脂肪取り
料金
| 目の下(片目) ¥275,000(税込) |
|
| 目の下(両目) ¥550,000(税込) |
全院 |
リスク・副作用・合併症
目の下(下瞼)の脂肪取り
クマとりの手術が乱立しています。
Twitterでも脱脂+脂肪注入派とハムラ法派の戦いが日々繰り広げられています。
本当は患者様それぞれの状態に合わせて最適な術式を選ぶべきなのですが、
ハムラ法で宣伝しているドクターはハムラ法で脱脂派は脱脂+脂肪注入で誘導したがる傾向がありますので現在の混沌とした状況が繰り広げられています。
なぜこの論争が終わらないかというと、どちらのオペでもある程度は改善してしまうからでしょう。
症例によってはハムラ法で100点の仕上がりになるものを、脱脂+脂肪注入でも80点出る場合、どちらのケースでも患者様は満足します。
逆のケースもしかりです。
そのため、脱脂+脂肪注入派の先生には脱脂を提案され、ハムラ法派の先生のカウンセリングにいくとハムラ法でオペをすすめられ、要は術式を患者様が選ばなければいけないという無茶ぶりをさせられているのです。
今回ご紹介する眼窩脂肪の切除+移植はかなり古い方法で昔からある手術です。
このオペの最大のメリットは患者様に、脱脂かハムラ法か最適な術式を2択で選んでもらう必要がないということです。
手術中に、ティアトラフが強い患者様の場合には、ティアトラフのリガメントをはくりし、ブロックに近い形で脂肪を留置し、それ以外の場合では通常の脂肪注入のように生着のしやすい状態に加工して脂肪注入していきます。
そのため両方の状態に対応できます。
ハムラ法では届かない部位にも脂肪を留置できますし、通常の脂肪注入のように太ももからの脂肪を採取する必要もありません。
料金
リスク・副作用・合併症
目の下(下瞼)の脂肪取り
目の下のクマ治療
目の下の切らない脂肪取りの患者様をご紹介します。
目の下のクマは様々な原因がありますが、眼窩脂肪という眼球の周りの脂肪が突出して見える場合は「黒クマ」「影クマ」とも呼ばれています。
疲れた印象や老けた印象となりやすいため、気になっている方も多いのではないでしょうか。
元々脂肪の多いお目元の方は若いころから目立ちやすい方もいらっしゃいますが、多くの方は年齢とともに眼窩脂肪の前壁にあたる皮膚や眼輪筋がたるむことによって出て見えるようになる方が多いです。
さらにクマの症状が進むと皮膚のたるみも強くなることがあります。
たるみの程度によって目の下の脂肪取りには2種類の切除方法があります。
1つ目は皮膚を切開せず下まぶたの裏から脂肪のみを切除する方法→目の下の切らない脂肪取り
2つ目は皮膚を切開し、たるみ取りを含めて脂肪を切除する方法→目の下のたるみ取り(切開法)です。
たるみの少ない方は1つ目の方法で処置することが可能です。
この処置方法の一番のメリットは皮膚を切開しないことです。
当日から洗顔、メイクもできますし、あざがでなければ数日の浮腫み感のみでダウンタイムを終えることが可能です。
この写真の患者様も目の下のクマが気になりご来院されました。
上方視で眼窩脂肪の突出がみられ、影クマの状態であると判断しました。
皮膚のたるみは軽度であったため目の下の切らない脂肪取りを施術させていただきました。
術直後、多少の浮腫み感はありますが、クマの改善が見られます。
1ヶ月後、浮腫み感もなくなり、上方視でも脂肪の突出がなくなりました。
影クマは何も治療をしないでいると年々皮膚のたるみを悪化させ、切開でなければ改善しなくなってしまうため、気になった場合は早めの処置をおすすめします。
料金
| 目の下(片目) ¥275,000(税込) |
|
| 目の下(両目) ¥550,000(税込) |
全院 |
リスク・副作用・合併症
目の下(下瞼)の脂肪取り
施術方法は200種類以上
どんなお悩みでも
ご相談ください
当サイトは高須クリニック在籍医師の監修のもとで掲載しております。




